Shopping Cart
Remove All
Your shopping cart is currently empty
Anti-KIAA2022 Polyclonal Antibody is a Rabbit antibody targeting KIAA2022. Anti-KIAA2022 Polyclonal Antibody can be used in IF,IHC-Fr,IHC-P.
| Pack Size | Price | USA Warehouse | Global Warehouse | Quantity |
|---|---|---|---|---|
| 50 μL | $220 | 7-10 days | 7-10 days | |
| 100 μL | $372 | 7-10 days | 7-10 days | |
| 200 μL | $528 | 7-10 days | 7-10 days |
| Description | Anti-KIAA2022 Polyclonal Antibody is a Rabbit antibody targeting KIAA2022. Anti-KIAA2022 Polyclonal Antibody can be used in IF,IHC-Fr,IHC-P. |
| Synonyms | Uncharacterized protein KIAA2022, RP23-35L3.1, RP11-130N24.1, Protein KIAA2022, K2022, expressed sequence C77370 |
| Ig Type | IgG |
| Reactivity | Mouse,Rat (predicted:Human,Pig,Horse) |
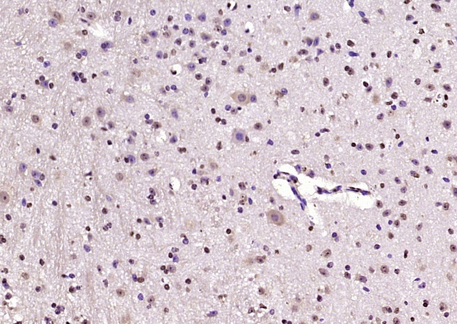
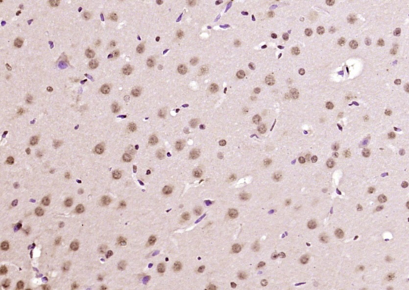
| Verified Activity | 1. Paraformaldehyde-fixed, paraffin embedded (mouse cerebellum); Antigen retrieval by boiling in sodium citrate buffer (pH6.0) for 15 min; Block endogenous peroxidase by 3% hydrogen peroxide for 20 min; Blocking buffer (normal goat serum) at 37°C for 30 min; Antibody incubation with (KIAA2022) Polyclonal Antibody, Unconjugated (TMAB-01020) at 1:200 overnight at 4°C, followed by operating according to SP Kit (Rabbit) instructionsand DAB staining. 2. Paraformaldehyde-fixed, paraffin embedded (mouse brain); Antigen retrieval by boiling in sodium citrate buffer (pH6.0) for 15 min; Block endogenous peroxidase by 3% hydrogen peroxide for 20 min; Blocking buffer (normal goat serum) at 37°C for 30 min; Antibody incubation with (KIAA2022) Polyclonal Antibody, Unconjugated (TMAB-01020) at 1:200 overnight at 4°C, followed by operating according to SP Kit (Rabbit) instructionsand DAB staining. 3. Paraformaldehyde-fixed, paraffin embedded (rat brain); Antigen retrieval by boiling in sodium citrate buffer (pH6.0) for 15 min; Block endogenous peroxidase by 3% hydrogen peroxide for 20 min; Blocking buffer (normal goat serum) at 37°C for 30 min; Antibody incubation with (KIAA2022) Polyclonal Antibody, Unconjugated (TMAB-01020) at 1:200 overnight at 4°C, followed by operating according to SP Kit (Rabbit) instructionsand DAB staining. ![]() ![]() ![]() |
| Application | |
| Recommended Dose | IHC-P: 1:100-500; IHC-Fr: 1:100-500; IF: 1:100-500 |
| Antibody Type | Polyclonal |
| Host Species | Rabbit |
| Tissue Specificity | Highly expressed in fetal and adult brain, predominantly in the cerebral cortex and the cerebellum. Also expressed in other tissues but to a lesser extent. |
| Construction | Polyclonal Antibody |
| Purification | Protein A purified |
| Appearance | Liquid |
| Formulation | 0.01M TBS (pH7.4) with 1% BSA, 0.02% Proclin300 and 50% Glycerol. |
| Concentration | 1 mg/mL |
| Research Background | An inversion on the X chromosome which disrupts this gene and a G-protein coupled purinergic receptor gene located in the pseudoautosomal region of the X chromosome has been linked to X linked cognitive disability.[provided by RefSeq, Mar 2009] |
| Immunogen | KLH conjugated synthetic peptide: human KIAA2022 |
| Antigen Species | Human |
| Gene Name | NEXMIF |
| Gene ID | |
| Protein Name | Neurite extension and migration factor |
| Uniprot ID |
| Molecular Weight | Theoretical: 167 kDa. |
| Stability & Storage | Store at -20°C or -80°C for 12 months. Avoid repeated freeze-thaw cycles. |
| Transport | Shipping with blue ice. |
| Size | Quantity | Unit Price | Amount | Operation |
|---|

Copyright © 2015-2026 TargetMol Chemicals Inc. All Rights Reserved.