Shopping Cart
Remove All
Your shopping cart is currently empty
Synonyms: Voltage-gated potassium channel subunit Kv1.1, Voltage-gated potassium channel HBK1, Voltage-gated K(+) channel HuKI, Potassium voltage-gated channel subfamily A member 1, KCNA1
| Pack Size | Price | USA Stock | Global Stock | Quantity |
|---|---|---|---|---|
| 50 μL | $298 | 7-10 days | 7-10 days | |
| 100 μL | $497 | 7-10 days | 7-10 days |
| Description | Anti-KCNA1 Antibody (7W682) is a Rabbit antibody targeting KCNA1. Anti-KCNA1 Antibody (7W682) can be used in IHC,IP,WB. |
| Synonyms | Voltage-gated potassium channel subunit Kv1.1, Voltage-gated potassium channel HBK1, Voltage-gated K(+) channel HuKI, Potassium voltage-gated channel subfamily A member 1, KCNA1 |
| Ig Type | IgG |
| Clone | 7W682 |
| Reactivity | Human,Mouse,Rat |
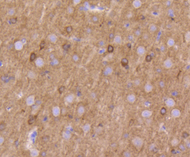
| Verified Activity | 1. Western blot analysis of Kv1.1 potassium channel on human brain lysates using anti-Kv1.1 potassium channel antibody at 1/1,000 dilution. 2. Immunohistochemical analysis of paraffin-embedded rat brain tissue using anti-Kv1.1 potassium channel antibody. Counter stained with hematoxylin. |
| Application | |
| Recommended Dose | WB: 1:5000-10000; IHC: 1:50-200 |
| Antibody Type | Monoclonal |
| Host Species | Rabbit |
| Construction | Recombinant Antibody |
| Purification | ProA affinity purified |
| Appearance | Liquid |
| Formulation | 1*TBS (pH7.4), 1%BSA, 40%Glycerol. Preservative: 0.05% Sodium Azide. |
| Research Background | Voltage-gated K+ channels in the plasma membrane control the repolarization and the frequency of action potentials in neurons, muscles, and other excitable cells. The KV gene family encodes more than 30 genes that comprise the subunits of the K+ channels, and they vary in their gating and permeation properties, subcellular distribution, and expression patterns. Functional KV channels assemble as tetramers consisting of pore-forming -subunits (KVα), which include the KV1, KV2, KV3, and KV4 proteins, and accessory or KVβ subunits that modify the gating properties of the coexpressed KVα subunits. Differences exist in the patterns of trafficking, biosynthetic processing and surface expression of the major KV1 subunits (KV1.1, KV1.2, KV1.4, KV1.5 and KV1.6) expressed in rat and human brain, suggesting that the individual protein subunits are highly regulated to control for the assembly and formation of functional neuronal channels. |
| Conjucates | Unconjugated |
| Immunogen | Recombinant Protein |
| Uniprot ID |
| Molecular Weight | Theoretical: 56 kDa. |
| Stability & Storage | Store at -20°C or -80°C for 12 months. Avoid repeated freeze-thaw cycles. |
| Transport | Shipping with blue ice. |
| Size | Quantity | Unit Price | Amount | Operation |
|---|

Copyright © 2015-2026 TargetMol Chemicals Inc. All Rights Reserved.