Shopping Cart
Remove All
Your shopping cart is currently empty
Anti-Junctional Adhesion Molecule 1 Antibody (7I445) is a Rabbit antibody targeting Junctional Adhesion Molecule 1. Anti-Junctional Adhesion Molecule 1 Antibody (7I445) can be used in IHC,WB.
| Pack Size | Price | USA Warehouse | Global Warehouse | Quantity |
|---|---|---|---|---|
| 50 μL | $297 | 7-10 days | 7-10 days | |
| 100 μL | $497 | 7-10 days | 7-10 days |
| Description | Anti-Junctional Adhesion Molecule 1 Antibody (7I445) is a Rabbit antibody targeting Junctional Adhesion Molecule 1. Anti-Junctional Adhesion Molecule 1 Antibody (7I445) can be used in IHC,WB. |
| Synonyms | Platelet F11 receptor, Platelet adhesion molecule 1, Junctional adhesion molecule A, Junctional adhesion molecule 1 |
| Ig Type | IgG |
| Clone | 7I445 |
| Reactivity | Human,Mouse,Rat |
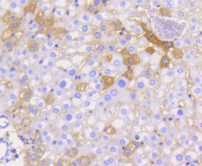
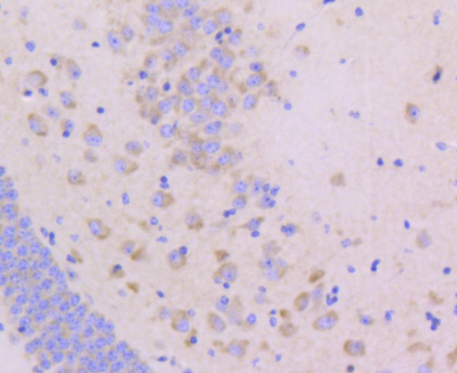
| Verified Activity | 1. Western blot analysis of JAM-1 on different lysates using anti-JAM-1 antibody at 1/1,000 dilution. Positive control: Lane 1: Hela, Lane 2: Human liver. 2. Immunohistochemical analysis of paraffin-embedded mouse liver tissue using anti-JAM-1 antibody. Counter stained with hematoxylin. 3. Immunohistochemical analysis of paraffin-embedded mouse brain tissue using anti-JAM-1 antibody. Counter stained with hematoxylin. ![]() ![]() ![]() |
| Application | |
| Recommended Dose | WB: 1:1000-5000; IHC: 1:50-200 |
| Antibody Type | Monoclonal |
| Host Species | Rabbit |
| Construction | Recombinant Antibody |
| Purification | ProA affinity purified |
| Appearance | Liquid |
| Formulation | 1*TBS (pH7.4), 1%BSA, 40%Glycerol. Preservative: 0.05% Sodium Azide. |
| Research Background | Junctional adhesion molecule (JAM) is a member of the immunoglobulin superfamily expressed in tight junctions of epithelial cells and endothelial cells. It is implicated in transendothelial migration of leukocytes. JAM is constitutively expressed on circulating monocytes, neutrophils, lymphocyte subsets and platelets. The JAM family consists of JAM-A, JAM-B and JAM-C, alternatively designated JAM-1, JAM-2 and JAM-3, respectively. JAM-A localizes with F-Actin at the cell-cell contacts and at the membrane ruffles. It is involved in cell to cell adhesion through homophilic interactions and plays a role in the organization of tight junctions and modulation of leukocyte extravasation. JAM-B interacts with discrete subsets of PBLs, suggesting that it may play a role in lymphocyte trafficking. JAM-B and JAM-C proteins are binding partners; JAM-C may be a functional JAM-B receptor. Specifically, JAM-B adheres to T cells through heterotypic interactions with JAM-C. The JAM-B/JAM-C interaction my play a role in T, NK and dendritic cellular inflammation. |
| Conjucates | Unconjugated |
| Immunogen | Recombinant Protein |
| Uniprot ID |
| Molecular Weight | Theoretical: 33 kDa. |
| Stability & Storage | Store at -20°C or -80°C for 12 months. Avoid repeated freeze-thaw cycles. |
| Transport | Shipping with blue ice. |
| Size | Quantity | Unit Price | Amount | Operation |
|---|

Copyright © 2015-2026 TargetMol Chemicals Inc. All Rights Reserved.