Shopping Cart
Remove All
Your shopping cart is currently empty
Anti-JUN Antibody (7A403) is a Rabbit antibody targeting JUN. Anti-JUN Antibody (7A403) can be used in ICC,IHC,IP,WB.
| Pack Size | Price | USA Warehouse | Global Warehouse | Quantity |
|---|---|---|---|---|
| 50 μL | $298 | 7-10 days | 7-10 days | |
| 100 μL | $496 | 7-10 days | 7-10 days |
| Description | Anti-JUN Antibody (7A403) is a Rabbit antibody targeting JUN. Anti-JUN Antibody (7A403) can be used in ICC,IHC,IP,WB. |
| Synonyms | V-jun avian sarcoma virus 17 oncogene homolog, Transcription factor Jun, Transcription factor AP-1 subunit Jun, Proto-oncogene c-Jun, p39, JUN, Activator protein 1 (AP1) |
| Ig Type | IgG |
| Clone | 7A403 |
| Reactivity | Human,Mouse,Rat |
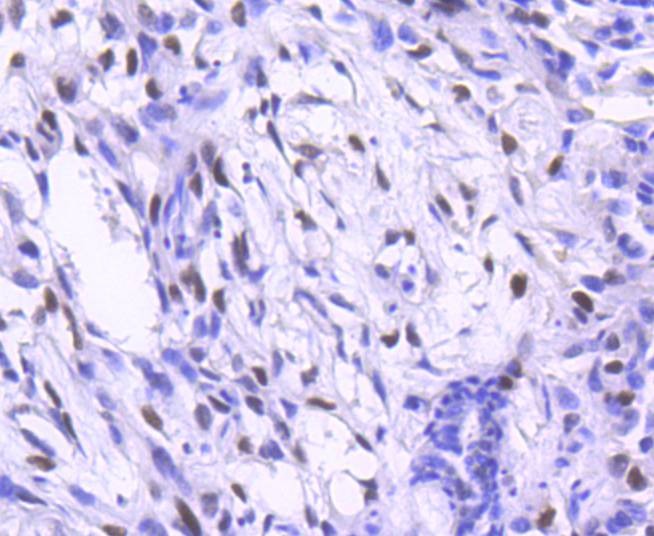
| Verified Activity | 1. Immunohistochemical analysis of paraffin-embedded human breast carcinoma tissue using anti-c-Jun antibody. Counter stained with hematoxylin. 2. ICC staining c-Jun in L6 cells (green). The nuclear counter stain is DAPI (blue). Cells were fixed in paraformaldehyde, permeabilised with 0.25% Triton X100/PBS. 3. ICC staining c-Jun in Hela cells (green). The nuclear counter stain is DAPI (blue). Cells were fixed in paraformaldehyde, permeabilised with 0.25% Triton X100/PBS. 4. ICC staining c-Jun in NIH/3T3 cells (green). The nuclear counter stain is DAPI (blue). Cells were fixed in paraformaldehyde, permeabilised with 0.25% Triton X100/PBS. ![]() ![]() ![]() ![]() |
| Application | |
| Recommended Dose | WB: 1:1000; IHC: 1:50-200; ICC: 1:100-500 |
| Antibody Type | Monoclonal |
| Host Species | Rabbit |
| Construction | Recombinant Antibody |
| Purification | ProA affinity purified |
| Appearance | Liquid |
| Formulation | 1*TBS (pH7.4), 1%BSA, 40%Glycerol. Preservative: 0.05% Sodium Azide. |
| Research Background | Genes belonging to the Jun and Fos oncogene families encode nuclear proteins that are associated with a number of transcriptional complexes. The c-Jun protein is a major component of the transcription factor AP-1, originally shown to mediate phorbol ester tumor promoter (TPA)-induced expression of responsive genes through the TPA-response element (TRE). The Jun proteins form homo- and heterodimers which bind the TRE, while Fos proteins are active only as heterodimers with any of the Jun proteins. Fos/Jun heterodimers have a much higher affinity for the TRE than Jun homodimers. Ha-Ras augments c-Jun activity and stimulates phosphorylation of its activation domain. An inhibitor of Fos/Jun function, termed IP-1, associates with Fos and Jun and is inactivated upon phosphorylation induced by the cAMP-dependent protein kinase A (PKA). |
| Conjucates | Unconjugated |
| Immunogen | Recombinant Protein |
| Uniprot ID |
| Molecular Weight | Theoretical: 43 kDa. |
| Stability & Storage | Store at -20°C or -80°C for 12 months. Avoid repeated freeze-thaw cycles. |
| Transport | Shipping with blue ice. |
| Size | Quantity | Unit Price | Amount | Operation |
|---|

Copyright © 2015-2026 TargetMol Chemicals Inc. All Rights Reserved.