Shopping Cart
Remove All
Your shopping cart is currently empty
Anti-JAM-C Polyclonal Antibody is a Rabbit antibody targeting JAM-C. Anti-JAM-C Polyclonal Antibody can be used in IF,IHC-Fr,IHC-P,WB.
| Pack Size | Price | USA Stock | Global Stock | Quantity |
|---|---|---|---|---|
| 50 μL | $220 | 7-10 days | 7-10 days | |
| 100 μL | $373 | 7-10 days | 7-10 days | |
| 200 μL | $528 | 7-10 days | 7-10 days |
| Description | Anti-JAM-C Polyclonal Antibody is a Rabbit antibody targeting JAM-C. Anti-JAM-C Polyclonal Antibody can be used in IF,IHC-Fr,IHC-P,WB. |
| Synonyms | junctional adhesion molecule 3, JAM-C, JAMC, JAM-3, JAM-2 |
| Ig Type | IgG |
| Reactivity | Human,Mouse,Rat (predicted:Dog,Pig,Cow,Horse) |
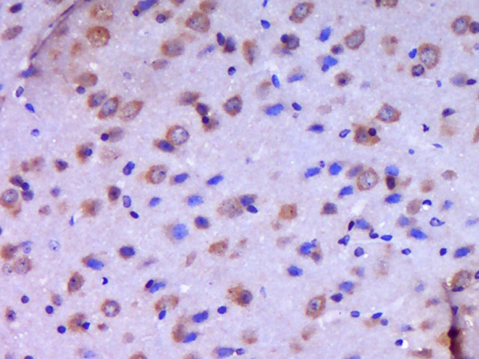
| Verified Activity | 1. Paraformaldehyde-fixed, paraffin embedded (Mouse brain); Antigen retrieval by boiling in sodium citrate buffer (pH6.0) for 15 min; Block endogenous peroxidase by 3% hydrogen peroxide for 20 min; Blocking buffer (normal goat serum) at 37°C for 30 min; Antibody incubation with (JAMC) Polyclonal Antibody, Unconjugated (TMAB-01006) at 1:400 overnight at 4°C, followed by operating according to SP Kit (Rabbit) instructionsand DAB staining. 2. Tissue/cell: rat brain tissue; 4% Paraformaldehyde-fixed and paraffin-embedded; Antigen retrieval: citrate buffer (0.01M, pH6.0), Boiling bathing for 15 min; Block endogenous peroxidase by 3% Hydrogen peroxide for 30 min; Blocking buffer (normal goat serum) at 37°C for 20 min; Incubation: Anti-JAMC Polyclonal Antibody, Unconjugated (TMAB-01006) 1:200, overnight at 4°C, followed by conjugation to the secondary antibody and DAb staining. 3. Sample: Cerebrum (Mouse) Lysate at 40 μg Cerebrum (Rat) Lysate at 40 μg Primary: Anti-JAMC (TMAB-01006) at 1/1000 dilution Secondary: IRDye800CW Goat Anti-Rabbit IgG at 1/20000 dilution Predicted band size: 31 kDa Observed band size: 49 kDa 4. Sample: HepG2 (Human) Cell Lysate at 30 μg Primary: Anti-JAMC (TMAB-01006) at 1/1000 dilution Secondary: IRDye800CW Goat Anti-Rabbit IgG at 1/20000 dilution Predicted band size: 31 kDa Observed band size: 49 kDa ![]() ![]() ![]() ![]() |
| Application | |
| Recommended Dose | WB: 1:500-2000; IHC-P: 1:100-500; IHC-Fr: 1:100-500; IF: 1:100-500 |
| Antibody Type | Polyclonal |
| Host Species | Rabbit |
| Subcellular Localization | Cell membrane; Single-pass type I membrane protein (Potential). Cell junction, desmosome. Secreted, extracellular space. Note=In epithelial cells, it is expressed at desmosomes but not at tight junctions. Localizes at the cell surface of endothelial cells; treatment of endothelial cells with vascular endothelial growth factor stimulates recruitment of JAM3 to cell-cell contacts. |
| Tissue Specificity | Highest expression in placenta, brain and kidney. Significant expression is detected on platelets. Expressed in intestinal mucosa cells. Expressed in the vascular endothelium. Found in serum (at protein level). Also detected in the synovial fluid of patie |
| Construction | Polyclonal Antibody |
| Purification | Protein A purified |
| Appearance | Liquid |
| Formulation | 0.01M TBS (pH7.4) with 1% BSA, 0.02% Proclin300 and 50% Glycerol. |
| Concentration | 1 mg/mL |
| Research Background | Tight junctions represent one mode of cell-to-cell adhesion in epithelial or endothelial cell sheets, forming continuous seals around cells and serving as a physical barrier to prevent solutes and water from passing freely through the paracellular space. The protein encoded by this immunoglobulin superfamily gene member is localized in the tight junctions between high endothelial cells. Unlike other proteins in this family, the this protein is unable to adhere to leukocyte cell lines and only forms weak homotypic interactions. The encoded protein is a member of the junctional adhesion molecule protein family and acts as a receptor for another member of this family. A mutation in an intron of this gene is associated with hemorrhagic destruction of the brain, subependymal calcification, and congenital cataracts. Alternative splicing results in multiple transcript variants.[provided by RefSeq, Apr 2011]. |
| Immunogen | KLH conjugated synthetic peptide: human JAMC |
| Antigen Species | Human |
| Gene Name | JAM3 |
| Gene ID | |
| Protein Name | Junctional adhesion molecule C |
| Uniprot ID | |
| Biology Area | Cell adhesion molecules,Platelets,Endothelium,Endothelial,Epi / Endo-thelial |
| Function | Participates in cell-cell adhesion. It is a counter-receptor for ITGAM, mediating leukocyte-platelet interactions and is involved in the regulation of transepithelial migration of polymorphonuclear neutrophils (PMN). The soluble form is a mediator of angiogenesis. |
| Molecular Weight | Theoretical: 31 kDa. Actual: 49 kDa. |
| Stability & Storage | Store at -20°C or -80°C for 12 months. Avoid repeated freeze-thaw cycles. |
| Transport | Shipping with blue ice. |
| Size | Quantity | Unit Price | Amount | Operation |
|---|

Copyright © 2015-2026 TargetMol Chemicals Inc. All Rights Reserved.