Shopping Cart
Remove All
Your shopping cart is currently empty
Anti-Jagged 1 Antibody (2B16) is a Rabbit antibody targeting Jagged 1. Anti-Jagged 1 Antibody (2B16) can be used in IHC,WB.
| Pack Size | Price | USA Warehouse | Global Warehouse | Quantity |
|---|---|---|---|---|
| 50 μL | $297 | 7-10 days | 7-10 days | |
| 100 μL | $497 | 7-10 days | 7-10 days |
| Description | Anti-Jagged 1 Antibody (2B16) is a Rabbit antibody targeting Jagged 1. Anti-Jagged 1 Antibody (2B16) can be used in IHC,WB. |
| Synonyms | JAGL1, Jagged 1, HJ1, CD339, AWS, AHD, AGS |
| Ig Type | IgG |
| Clone | 2B16 |
| Reactivity | Human,Mouse,Rat |
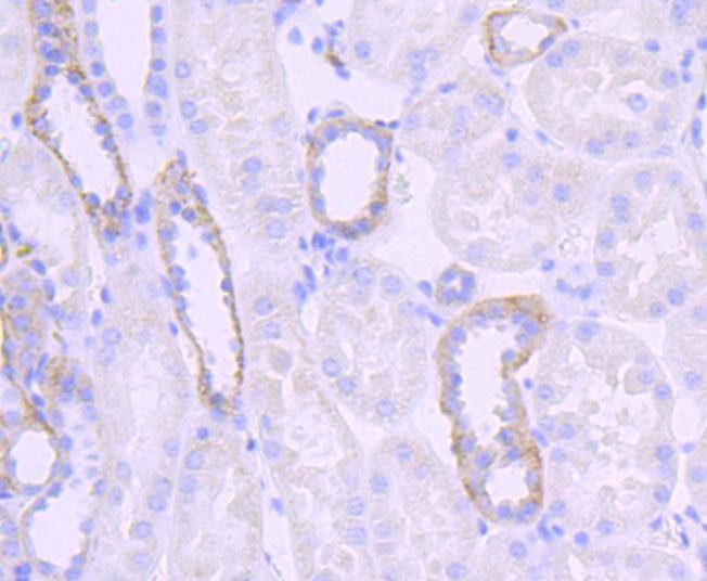
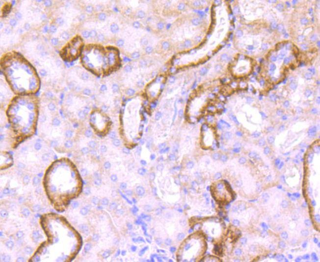
| Verified Activity | 1. Immunohistochemical analysis of paraffin-embedded human kidney tissue using anti-Jagged1 antibody. Counter stained with hematoxylin. 2. Immunohistochemical analysis of paraffin-embedded mouse kidney tissue using anti-Jagged1 antibody. Counter stained with hematoxylin. ![]() ![]() |
| Application | |
| Recommended Dose | WB: 1:1000; IHC: 1:50-200 |
| Antibody Type | Monoclonal |
| Host Species | Rabbit |
| Construction | Recombinant Antibody |
| Purification | ProA affinity purified |
| Appearance | Liquid |
| Formulation | 1*TBS (pH7.4), 1%BSA, 40%Glycerol. Preservative: 0.05% Sodium Azide. |
| Research Background | The LIN-12/Notch family of transmembrane receptors is believed to play a central role in development by regulating cell fate decisions. Ligands for Notch include Jagged1, Jagged2 and Delta. Jagged is a membrane protein and can activate Notch and prevent myoblast differentiation by inhibiting the expression of muscle regulatory and structural genes. It is involved in mammalian cardiovascular development and in cell-fate decisions during hematopoiesis. Jagged is expressed in adult and fetal tissues, and expression is upregulated in cervical squamous cell carcinoma. Familial Tetralogy of Fallot, the most common form of complex congenital heart disease, is caused by a mutation in the Jagged1 gene. |
| Conjucates | Unconjugated |
| Immunogen | Recombinant Protein |
| Uniprot ID |
| Molecular Weight | Theoretical: 134 kDa. |
| Stability & Storage | Store at -20°C or -80°C for 12 months. Avoid repeated freeze-thaw cycles. |
| Transport | Shipping with blue ice. |
| Size | Quantity | Unit Price | Amount | Operation |
|---|

Copyright © 2015-2026 TargetMol Chemicals Inc. All Rights Reserved.