Shopping Cart
Remove All
Your shopping cart is currently empty
Synonyms: Signalosome subunit 5, SGN5, SGN 5, MOV34 family, 38-KD member, MOV34, MOV 34, MGC3149, Jun activation domain-binding protein 1, Jun activation domain binding protein 1, Jun activation domain binding protein, JAB 1, CSN5_HUMAN, CSN5, CSN 5, cops5, COPS 5, Cop9 subunit 5, COP9 signalosome subunit 5, COP9 signalosome complex subunit 5, COP9 constitutive photomorphogenic homolog subunit 5, COP9 (constitutive photomorphogenic) homolog subunit 5, 38 kDa Mov34 homolog
| Pack Size | Price | USA Stock | Global Stock | Quantity |
|---|---|---|---|---|
| 50 μL | $297 | 7-10 days | 7-10 days | |
| 100 μL | $498 | 7-10 days | 7-10 days |
| Description | Anti-JAB1 Antibody (6A480) is a Rabbit antibody targeting JAB1. Anti-JAB1 Antibody (6A480) can be used in ICC,IF,IHC,IP,WB. |
| Synonyms | Signalosome subunit 5, SGN5, SGN 5, MOV34 family, 38-KD member, MOV34, MOV 34, MGC3149, Jun activation domain-binding protein 1, Jun activation domain binding protein 1, Jun activation domain binding protein, JAB 1, CSN5_HUMAN, CSN5, CSN 5, cops5, COPS 5, Cop9 subunit 5, COP9 signalosome subunit 5, COP9 signalosome complex subunit 5, COP9 constitutive photomorphogenic homolog subunit 5, COP9 (constitutive photomorphogenic) homolog subunit 5, 38 kDa Mov34 homolog |
| Ig Type | IgG |
| Clone | 6A480 |
| Reactivity | Human,Mouse,Rat |
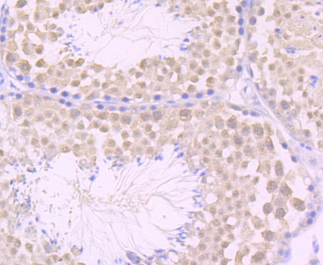
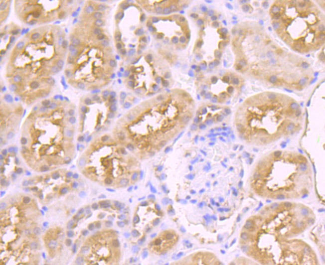
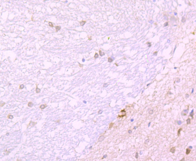
| Verified Activity | 1. Western blot analysis of JAB1 on different lysate using anti-JAB1 antibody at 1/500 dilution. Positive control: Lane 1: Mouse testis tissue, Lane 2: PC-3M, Lane 3: A549 2. Immunohistochemical analysis of paraffin-embedded human kidney tissue using anti-JAB1 antibody. Counter stained with hematoxylin. 3. Immunohistochemical analysis of paraffin-embedded mouse testis tissue using anti-JAB1 antibody. Counter stained with hematoxylin. 4. Immunohistochemical analysis of paraffin-embedded rat brain tissue using anti-JAB1 antibody. Counter stained with hematoxylin. 5. ICC staining JAB1 in A549 cells (green). The nuclear counter stain is DAPI (blue). Cells were fixed in paraformaldehyde, permeabilised with 0.25% Triton X100/PBS. 6. ICC staining JAB1 in PC-3M cells (green). The nuclear counter stain is DAPI (blue). Cells were fixed in paraformaldehyde, permeabilised with 0.25% Triton X100/PBS. 7. ICC staining JAB1 in A431 cells (green). The nuclear counter stain is DAPI (blue). Cells were fixed in paraformaldehyde, permeabilised with 0.25% Triton X100/PBS. |
| Application | |
| Recommended Dose | WB: 1:500; IHC: 1:50-200; ICC: 1:100-500 |
| Antibody Type | Monoclonal |
| Host Species | Rabbit |
| Construction | Recombinant Antibody |
| Purification | ProA affinity purified |
| Appearance | Liquid |
| Formulation | 1*TBS (pH7.4), 1%BSA, 40%Glycerol. Preservative: 0.05% Sodium Azide. |
| Research Background | Genes belonging to the Jun and Fos oncogene families encode nuclear proteins that are found to be associated with a number of transcriptional complexes. The c-Jun protein is a major component of the transcription factor AP-1, originally shown to mediate phorbol ester tumor promoter (TPA)-induced expression of responsive genes through the TPA-response element (TRE). The Jun proteins form homo- and heterodimers which bind the TRE, but the Fos proteins are active only as heterodimers with any of the Jun proteins. Fos/Jun heterodimers have a much higher affinity for the TRE than Jun homodimers. Ha-Ras augments c-Jun activity and stimulates phosphorylation of its activation domain. The coactivator of Jun, designated JAB1 (for Jun-activation domain-binding protein), interacts with c-Jun and Jun D, but not with Jun B or v-Jun. This interaction enhances the transactivating ability of Jun proteins by stabilizing their binding to the TRE. The gene encoding JAB1 maps to human chromosome 8q12.3. |
| Conjucates | Unconjugated |
| Immunogen | Recombinant Protein |
| Uniprot ID |
| Molecular Weight | Theoretical: 37, 100 kDa. |
| Stability & Storage | Store at -20°C or -80°C for 12 months. Avoid repeated freeze-thaw cycles. |
| Transport | Shipping with blue ice. |
| Size | Quantity | Unit Price | Amount | Operation |
|---|

Copyright © 2015-2026 TargetMol Chemicals Inc. All Rights Reserved.