Shopping Cart
Remove All
Your shopping cart is currently empty
Anti-ITGB1 Antibody (1I859) is a Rabbit antibody targeting ITGB1. Anti-ITGB1 Antibody (1I859) can be used in IHC,WB.
| Pack Size | Price | USA Warehouse | Global Warehouse | Quantity |
|---|---|---|---|---|
| 50 μL | $297 | 7-10 days | 7-10 days | |
| 100 μL | $497 | 7-10 days | 7-10 days |
| Description | Anti-ITGB1 Antibody (1I859) is a Rabbit antibody targeting ITGB1. Anti-ITGB1 Antibody (1I859) can be used in IHC,WB. |
| Synonyms | VLA-β, VLA-BETA, VLAB, MSK12, MDF2, integrin, β1 (fibronectin receptor, βpolypeptide, antigen CD29 includes MDF2, MSK12), integrin, beta 1 (fibronectin receptor, beta polypeptide, antigen CD29 includes MDF2, MSK12), Integrin β1, GPIIA, FNRB, CD29 |
| Ig Type | IgG |
| Clone | 1I859 |
| Reactivity | Human,Mouse,Rat,zebrafish |
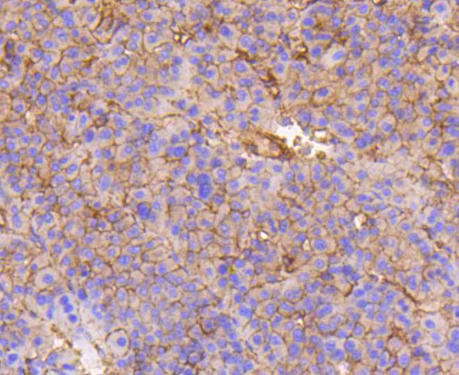
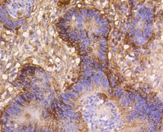
| Verified Activity | 1. Western blot analysis of Integrin beta 1 on different cell lysates using anti-Integrin beta 1 antibody at 1/1,000 dilution. Positive control: Lane 1: Hela, Lane 2: NIH/3T3. 2. Immunohistochemical analysis of paraffin-embedded human liver cancer tissue using anti-Integrin beta 1 antibody. Counter stained with hematoxylin. 3. Immunohistochemical analysis of paraffin-embedded human colon cancer tissue using anti-Integrin beta 1 antibody. Counter stained with hematoxylin. 4. Immunohistochemical analysis of paraffin-embedded mouse stomach tissue using anti-Integrin beta 1 antibody. Counter stained with hematoxylin. ![]() ![]() ![]() ![]() |
| Application | |
| Recommended Dose | WB: 1:1000-5000; IHC: 1:50-200 |
| Antibody Type | Monoclonal |
| Host Species | Rabbit |
| Construction | Recombinant Antibody |
| Purification | ProA affinity purified |
| Appearance | Liquid |
| Formulation | 1*TBS (pH7.4), 1%BSA, 40%Glycerol. Preservative: 0.05% Sodium Azide. |
| Research Background | Integrins are transmembrane receptors that mediate the attachment between a cell and its surroundings, such as other cells or the extracellular matrix (ECM). Integrins are obligate heterodimers containing two distinct chains, called the α (alpha) and β (beta) subunits. The molecular mass of the integrin subunits can vary from 90 kDa to 160 kDa. Beta subunits have four cysteine-rich repeated sequences. Both α and β subunits bind several divalent cations. Integrins have two main functions: Attachment of the cell to the ECM and signal transduction from the ECM to the cell. However, they are also involved in a wide range of other biological activities, including immune patrolling, cell migration, and binding to cells by certain viruses, such as adenovirus, echovirus, hantavirus, and foot and mouth disease viruses. Research studies have implicated β1 integrin in various activities including embryonic development, blood vessel, skin, bone, and muscle formation, as well as tumor metastasis and angiogenesis. |
| Conjucates | Unconjugated |
| Immunogen | Recombinant Protein |
| Uniprot ID |
| Molecular Weight | Theoretical: 140 kDa. |
| Stability & Storage | Store at -20°C or -80°C for 12 months. Avoid repeated freeze-thaw cycles. |
| Transport | Shipping with blue ice. |
| Size | Quantity | Unit Price | Amount | Operation |
|---|

Copyright © 2015-2026 TargetMol Chemicals Inc. All Rights Reserved.