Shopping Cart
Remove All
Your shopping cart is currently empty
Anti-ITGAX Antibody (4P951) is a Rabbit antibody targeting ITGAX. Anti-ITGAX Antibody (4P951) can be used in IHC,IP,ICC/IF,WB.
| Pack Size | Price | USA Warehouse | Global Warehouse | Quantity |
|---|---|---|---|---|
| 50 μL | $296 | 7-10 days | 7-10 days | |
| 100 μL | $497 | 7-10 days | 7-10 days |
| Description | Anti-ITGAX Antibody (4P951) is a Rabbit antibody targeting ITGAX. Anti-ITGAX Antibody (4P951) can be used in IHC,IP,ICC/IF,WB. |
| Synonyms | SLEB6, leukocyte adhesion receptor p150, 95, leukocyte adhesion glycoprotein p150, 95 alpha chain, ITGAX, ITAX, integrin aX, integrin alpha-X precursor, Integrin alpha-X, complement receptor 4, CD11C(p150) alpha polypeptide, CD11 antigen-like family member C |
| Ig Type | IgG |
| Clone | 4P951 |
| Reactivity | Human |
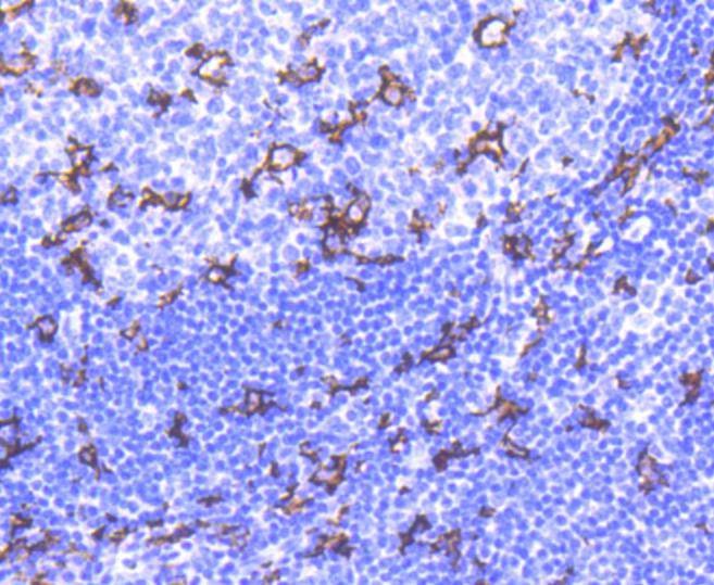
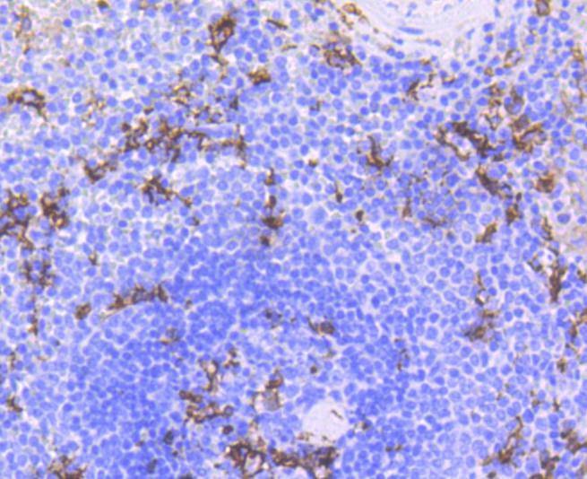
| Verified Activity | 1. Immunohistochemical analysis of paraffin-embedded human spleen tissue using anti-CD11c antibody. Counter stained with hematoxylin. 2. Immunohistochemical analysis of paraffin-embedded human tonsil tissue using anti-CD11c antibody. Counter stained with hematoxylin. ![]() ![]() |
| Application | |
| Recommended Dose | WB: 1:1000-2000; IHC: 1:50-200; ICC/IF: 1:50-200 |
| Antibody Type | Monoclonal |
| Host Species | Rabbit |
| Construction | Recombinant Antibody |
| Purification | ProA affinity purified |
| Appearance | Liquid |
| Formulation | 1*TBS (pH7.4), 1%BSA, 40%Glycerol. Preservative: 0.05% Sodium Azide. |
| Research Background | Integrin αX (CD11C, leukocyte surface antigen p150,95, CR4, Axb2) is a type 1 transmembrane protein that traditionally combines with β2 chain to form a leukocyte-specific integrin known as inactivated-C3b (iC3b) receptor 4 (CR4). Integrin αX/β2 shares similar properties of the αM/β2 integrin in mediating adherence of neutrophils and monocytes to stimulated endothelial cells, and in phagocytosis of complement coated particles. Abnormal expression of Integrin αX is characteristic of hairy cell leukemia (HCL) and is dependent upon activation of proto-oncogenes Ras and JunD. Proteins and DNA elements that influence transcription of Integrin αX include Sp1 and Sp1-like factors, AP-1 family, C/EBP, Oct-2 and PU.1. Integrin αX is present on monocyte derivative dendritic cells (DCs), macrophages and NK cells. Upon activation, DCs present in skin (Langerhans cells), lining of nose, lung, stomach, intestine and blood can migrate to lymphoid tissues and interact with T and B cells to initiate and shape the immune response. |
| Conjucates | Unconjugated |
| Immunogen | Recombinant Protein |
| Uniprot ID |
| Molecular Weight | Theoretical: 128 kDa. |
| Stability & Storage | Store at -20°C or -80°C for 12 months. Avoid repeated freeze-thaw cycles. |
| Transport | Shipping with blue ice. |
| Size | Quantity | Unit Price | Amount | Operation |
|---|

Copyright © 2015-2026 TargetMol Chemicals Inc. All Rights Reserved.