Shopping Cart
Remove All
Your shopping cart is currently empty
Anti-ITGAV Polyclonal Antibody is a Rabbit antibody targeting ITGAV. Anti-ITGAV Polyclonal Antibody can be used in ICC/IF,IF,IHC-Fr,IHC-P,IP,WB.
| Pack Size | Price | USA Warehouse | Global Warehouse | Quantity |
|---|---|---|---|---|
| 50 μL | $220 | 7-10 days | 7-10 days | |
| 100 μL | $373 | 7-10 days | 7-10 days | |
| 200 μL | $527 | 7-10 days | 7-10 days |
| Description | Anti-ITGAV Polyclonal Antibody is a Rabbit antibody targeting ITGAV. Anti-ITGAV Polyclonal Antibody can be used in ICC/IF,IF,IHC-Fr,IHC-P,IP,WB. |
| Synonyms | VTNR, VNRA, Vitronectin receptor subunit alpha, Vitronectin receptor, MSK8, Integrin alpha-V, CD antigen CD51 |
| Ig Type | IgG |
| Reactivity | Human,Mouse,Rat |
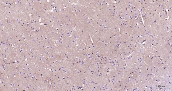
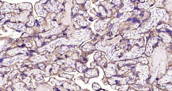
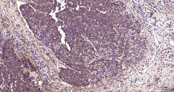
| Verified Activity | 1. Paraformaldehyde-fixed, paraffin embedded Human Invasive urothelial carcinoma; Antigen retrieval by boiling in sodium citrate buffer (pH6.0) for 15 min; Antibody incubation with Integrin Alpha V Polyclonal Antibody, Unconjugated (TMAB-00994) at 1:200 overnight at 4°C, followed by conjugation to the secondary antibody and DAB staining. 2. Paraformaldehyde-fixed, paraffin embedded Human Placenta; Antigen retrieval by boiling in sodium citrate buffer (pH6.0) for 15 min; Antibody incubation with Integrin Alpha V Polyclonal Antibody, Unconjugated (TMAB-00994) at 1:200 overnight at 4°C, followed by conjugation to the secondary antibody and DAB staining. 3. Paraformaldehyde-fixed, paraffin embedded Human Cerebrum; Antigen retrieval by boiling in sodium citrate buffer (pH6.0) for 15 min; Antibody incubation with Integrin Alpha V Polyclonal Antibody, Unconjugated (TMAB-00994) at 1:200 overnight at 4°C, followed by conjugation to the secondary antibody and DAB staining. 4. 25 μg total protein per Lane of various lysates probed with Integrin Alpha V polyclonal antibody, unconjugated (TMAB-00994) at 1:1000 dilution and 4°C overnight incubation. Followed by conjugated secondary antibody incubation at RT for 60 min. ![]() ![]() ![]() ![]() |
| Application | |
| Recommended Dose | WB: 1:500-1:2000; IHC-P: 1:100-1:500; IHC-Fr: 1:100-1:500; ICC/IF: 1:50-1:200; IF: 1:100-1:500; IP: 1:20-1:50 |
| Antibody Type | Polyclonal |
| Host Species | Rabbit |
| Subcellular Localization | Cell Membrane |
| Construction | Polyclonal Antibody |
| Purification | Protein A purified |
| Appearance | Liquid |
| Formulation | 0.01M TBS (pH7.4) with 1% BSA, 0.02% Proclin300 and 50% Glycerol. |
| Concentration | 1 mg/mL |
| Research Background | Integrins are heterodimeric proteins made up of alpha and beta subunits. At least 18 alpha and 8 beta subunits have been described in mammals. Integrin family members are membrane receptors involved in cell adhesion and recognition in a variety of processes including embryogenesis, hemostasis, tissue repair, immune response and metatastatic diffusion of tumour cells. ITAGV encodes integrin alpha chain V. Integrins are heterodimeric integral membrane proteins composed of an alpha chain and a beta chain. The I-domain containing integrin alpha V undergoes post-translational cleavage to yield disulfide-linked heavy and light chains, that combine with multiple integrin beta chains to form different integrins. Among the known associating beta chains (beta chains 1,3,5,6, and 8; ITGB1, ITGB3, ITGB5, ITGB6, and ITGB8), each can interact with extracellular matrix ligands; the alpha V beta 3 integrin, perhaps the most studied of these, is referred to as the Vitronectin receptor (VNR). In addition to adhesion, many integrins are known to facilitate signal transduction. |
| Immunogen | KLH conjugated synthetic peptide: human Integrin Alpha V |
| Antigen Species | Human |
| Gene Name | ITGAV |
| Gene ID | |
| Protein Name | Integrin alpha-V |
| Uniprot ID | |
| Biology Area | Integrins,Integrins,Platelets,Host Virus Interaction,T Lymphocytic Lineage |
| Function | The alpha-V integrins are receptors for vitronectin, cytotactin, fibronectin, fibrinogen, laminin, matrix metalloproteinase-2, osteopontin, osteomodulin, prothrombin, thrombospondin and vWF. They recognize the sequence R-G-D in a wide array of ligands. In case of HIV-1 infection, the interaction with extracellular viral Tat protein seems to enhance angiogenesis in Kaposi's sarcoma lesions. |
| Molecular Weight | Theoretical: 116 kDa. Actual: 125 kDa. |
| Stability & Storage | Store at -20°C or -80°C for 12 months. Avoid repeated freeze-thaw cycles. |
| Transport | Shipping with blue ice. |
| Size | Quantity | Unit Price | Amount | Operation |
|---|

Copyright © 2015-2025 TargetMol Chemicals Inc. All Rights Reserved.