Shopping Cart
Remove All
Your shopping cart is currently empty
Anti-ITGA7 Polyclonal Antibody is a Rabbit antibody targeting ITGA7. Anti-ITGA7 Polyclonal Antibody can be used in IF,IHC-Fr,IHC-P,WB.
| Pack Size | Price | USA Warehouse | Global Warehouse | Quantity |
|---|---|---|---|---|
| 50 μL | $220 | 7-10 days | 7-10 days | |
| 100 μL | $372 | 7-10 days | 7-10 days | |
| 200 μL | $527 | 7-10 days | 7-10 days |
| Description | Anti-ITGA7 Polyclonal Antibody is a Rabbit antibody targeting ITGA7. Anti-ITGA7 Polyclonal Antibody can be used in IF,IHC-Fr,IHC-P,WB. |
| Synonyms | MGC105724, ITGA7, ITA7, Integrin-α7, Integrin α7, Integrin alpha-7 heavy chain, Integrin alpha-7 70 kDa form, Integrin alpha-7, INTEGRIN ALPHA 7, Integrin alpha 7, FLJ25220, alpha7, a 7 |
| Ig Type | IgG |
| Reactivity | Human,Mouse,Rat |
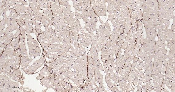
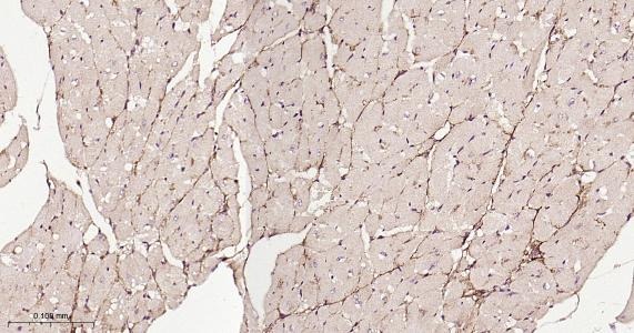
| Verified Activity | 1. 25 μg total protein per Lane of various lysates probed with ITGA7 polyclonal antibody, unconjugated (TMAB-00992) at 1:1000 dilution and 4°C overnight incubation. Followed by conjugated secondary antibody incubation at RT for 60 min. 2. Paraformaldehyde-fixed, paraffin embedded Mouse Skeletal muscle; Antigen retrieval by boiling in sodium citrate buffer (pH6.0) for 15 min; Antibody incubation with ITGA7 Polyclonal Antibody, Unconjugated (TMAB-00992) at 1:200 overnight at 4°C, followed by conjugation to the secondary antibody and DAB staining. 3. Paraformaldehyde-fixed, paraffin embedded Mouse Heart; Antigen retrieval by boiling in sodium citrate buffer (pH6.0) for 15 min; Antibody incubation with ITGA7 Polyclonal Antibody, Unconjugated (TMAB-00992) at 1:200 overnight at 4°C, followed by conjugation to the secondary antibody and DAB staining. 4. Paraformaldehyde-fixed, paraffin embedded Rat Heart; Antigen retrieval by boiling in sodium citrate buffer (pH6.0) for 15 min; Antibody incubation with ITGA7 Polyclonal Antibody, Unconjugated (TMAB-00992) at 1:200 overnight at 4°C, followed by conjugation to the secondary antibody and DAB staining. ![]() ![]() ![]() ![]() |
| Application | |
| Recommended Dose | WB: 1:500-2000; IHC-P: 1:100-500; IHC-Fr: 1:100-500; IF: 1:100-500 |
| Antibody Type | Polyclonal |
| Host Species | Rabbit |
| Subcellular Localization | Membrane; Single-pass type I membrane protein. |
| Tissue Specificity | Isoforms containing segment A are predominantly expressed in skeletal muscle. Isoforms containing segment B are abundantly expressed in skeletal muscle, moderately in cardiac muscle, small intestine, colon, ovary and prostate and weakly in lung and testes |
| Construction | Polyclonal Antibody |
| Purification | Protein A purified |
| Appearance | Liquid |
| Formulation | 0.01M TBS (pH7.4) with 1% BSA, 0.02% Proclin300 and 50% Glycerol. |
| Concentration | 1 mg/mL |
| Research Background | The protein encoded by this gene belongs to the integrin alpha chain family. Integrins are heterodimeric integral membrane proteins composed of an alpha chain and a beta chain. They mediate a wide spectrum of cell-cell and cell-matrix interactions, and thus play a role in cell migration, morphologic development, differentiation, and metastasis. This protein functions as a receptor for the basement membrane protein laminin-1. It is mainly expressed in skeletal and cardiac muscles and may be involved in differentiation and migration processes during myogenesis. Defects in this gene are associated with congenital myopathy. Alternatively spliced transcript variants encoding different isoforms have been noted for this gene. [provided by RefSeq, Feb 2009] |
| Immunogen | KLH conjugated synthetic peptide: human Integrin alpha-7 70 kDa form |
| Antigen Species | Human |
| Gene Name | ITGA7 |
| Gene ID | |
| Protein Name | Integrin alpha-7 |
| Uniprot ID | |
| Biology Area | Integrins,Integrins,Alpha |
| Function | Integrin alpha-7/beta-1 is the primary laminin receptor on skeletal myoblasts and adult myofibers. During myogenic differentiation, it may induce changes in the shape and mobility of myoblasts, and facilitate their localization at laminin-rich sites of secondary fiber formation. It is involved in the maintenance of the myofibers cytoarchitecture as well as for their anchorage, viability and functional integrity. Isoform Alpha-7X2B and isoform Alpha-7X1B promote myoblast migration on laminin 1 and laminin 2/4, but isoform Alpha-7X1B is less active on laminin 1 (In vitro). Acts as Schwann cell receptor for laminin-2. Acts as a receptor of COMP and mediates its effect on vascular smooth muscle cells (VSMCs) maturation (By similarity). Required to promote contractile phenotype acquisition in differentiated airway smooth muscle (ASM) cells. |
| Molecular Weight | Theoretical: 70/101/125 kDa. |
| Stability & Storage | Store at -20°C or -80°C for 12 months. Avoid repeated freeze-thaw cycles. |
| Transport | Shipping with blue ice. |
| Size | Quantity | Unit Price | Amount | Operation |
|---|

Copyright © 2015-2026 TargetMol Chemicals Inc. All Rights Reserved.