Shopping Cart
Remove All
Your shopping cart is currently empty
Anti-Isocitrate dehydrogenase/IDH1 Antibody (9Q57) is a Mouse antibody targeting Isocitrate dehydrogenase/IDH1. Anti-Isocitrate dehydrogenase/IDH1 Antibody (9Q57) can be used in IHC,WB.
| Pack Size | Price | USA Warehouse | Global Warehouse | Quantity |
|---|---|---|---|---|
| 50 μL | $296 | 7-10 days | 7-10 days | |
| 100 μL | $427 | 7-10 days | 7-10 days |
| Description | Anti-Isocitrate dehydrogenase/IDH1 Antibody (9Q57) is a Mouse antibody targeting Isocitrate dehydrogenase/IDH1. Anti-Isocitrate dehydrogenase/IDH1 Antibody (9Q57) can be used in IHC,WB. |
| Synonyms | PICD, isocitrate dehydrogenase 1 (NADP+), soluble, IDPC, IDP, IDH, IDCD, HEL-S-26, HEL-216 |
| Clone | 9Q57 |
| Reactivity | Human,zebrafish |
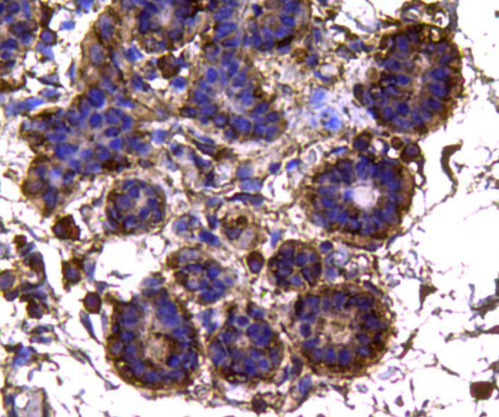
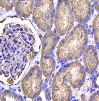
| Verified Activity | 1. Western blot analysis of IDH1 on different cell lysates using anti-IDH1 antibody at 1/1000 dilution. Positive control: Lane 1: Hela, Lane 2: HepG2, Lane 3: A431, Lane 4: MCF-7, Lane 5: A549, Lane 6: Jurkat, Lane 7: Human kidney, Lane 8: Human brain, Lane 9: Human liver. 2. Immunohistochemical analysis of paraffin-embedded human colon carcinoma tissue using anti-IDH1 antibody. Counter stained with hematoxylin. 3. Immunohistochemical analysis of paraffin-embedded human breast tissue using anti-IDH1 antibody. Counter stained with hematoxylin. 4. Immunohistochemical analysis of paraffin-embedded human kidney tissue using anti-IDH1 antibody. Counter stained with hematoxylin. ![]() ![]() ![]() ![]() |
| Application | |
| Recommended Dose | WB: 1:1000; IHC: 1:100-200 |
| Antibody Type | Monoclonal |
| Host Species | Mouse |
| Construction | Hybridoma Monoclonal Antibody |
| Purification | ProA affinity purified |
| Appearance | Liquid |
| Formulation | 1*TBS (pH7.4), 1%BSA, 40%Glycerol. Preservative: 0.05% Sodium Azide. |
| Research Background | Isocitrate dehydrogenase (IDH) is an enzyme that catalyzes the oxidative decarboxylation of isocitrate, producing alpha-ketoglutarate (α-ketoglutarate) and CO2. In humans, IDH exists in three isoforms: IDH3 catalyzes the third step of the citric acid cycle while converting NAD+ to NADH in the mitochondria. The isoforms IDH1 and IDH2 catalyze the same reaction outside the context of the citric acid cycle and use NADP+ as a cofactor instead of NAD+. They localize to the cytosol as well as the mitochondrion and peroxisome. Mutations in IDH1 are also implicated in cancer. Originally mutations in IDH1 were detected in an integrated genomic analysis of human glioblastoma multiforme. In addition to being mutated in diffuse gliomas, IDH1 has also been shown to harbor mutations in human acute myeloid leukemia (AML). |
| Conjucates | Unconjugated |
| Immunogen | Recombinant Protein |
| Uniprot ID |
| Molecular Weight | Theoretical: 47 kDa. |
| Stability & Storage | Store at -20°C or -80°C for 12 months. Avoid repeated freeze-thaw cycles. |
| Transport | Shipping with blue ice. |
| Size | Quantity | Unit Price | Amount | Operation |
|---|

Copyright © 2015-2026 TargetMol Chemicals Inc. All Rights Reserved.