Shopping Cart
Remove All
Your shopping cart is currently empty
Anti-IRF4 Antibody (7S662) is a Mouse antibody targeting IRF4. Anti-IRF4 Antibody (7S662) can be used in IHC,WB.
| Pack Size | Price | USA Warehouse | Global Warehouse | Quantity |
|---|---|---|---|---|
| 50 μL | $297 | 7-10 days | 7-10 days | |
| 100 μL | $427 | 7-10 days | 7-10 days |
| Description | Anti-IRF4 Antibody (7S662) is a Mouse antibody targeting IRF4. Anti-IRF4 Antibody (7S662) can be used in IHC,WB. |
| Synonyms | SHEP8, NF-EM5, MUM1, LSIRF, IRF4 |
| Clone | 7S662 |
| Reactivity | Human |
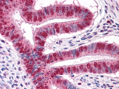
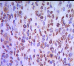
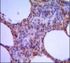
| Verified Activity | 1. Western blot analysis of MUM1 on human MUM1 recombinant protein using anti-MUM1 antibody at 1/1,000 dilution. 2. Immunohistochemical analysis of paraffin-embedded human uterus tissue using anti-MUM1 antibody. Counter stained with hematoxylin. 3. Immunohistochemical analysis of paraffin-embedded human melanoma tissue using anti-MUM1 antibody. Counter stained with hematoxylin. 4. Immunohistochemical analysis of paraffin-embedded non-Hodgkin`s lymphoma tissue using anti-MUM1 antibody. Counter stained with hematoxylin. ![]() ![]() ![]() ![]() |
| Application | |
| Recommended Dose | WB: 1:500-1000; IHC: 1:100-200 |
| Antibody Type | Monoclonal |
| Host Species | Mouse |
| Construction | Hybridoma Monoclonal Antibody |
| Purification | ProA affinity purified |
| Appearance | Liquid |
| Formulation | 1*TBS (pH7.4), 1%BSA, Preservative: 0.05% Sodium Azide. |
| Research Background | MUM1 (melanoma associated antigen (mutated) 1) is a 710 amino acid protein that becomes phosphorylated by Atm or ATR upon DNA damage and exists as two alternatively spliced isoforms. The gene encoding MUM1 maps to human chromosome 19, which consists of over 63 million bases, houses approximately 1,400 genes and is recognized for having the greatest gene density of the human chromosomes. It is the genetic home for a number of immunoglobulin (Ig) superfamily members, including the killer cell and leukocyte Ig-like receptors, a number of ICAMs, the CEACAM and PSG family and Fc receptors (FcRs). |
| Conjucates | Unconjugated |
| Immunogen | Recombinant Protein |
| Uniprot ID |
| Stability & Storage | Store at -20°C or -80°C for 12 months. Avoid repeated freeze-thaw cycles. |
| Transport | Shipping with blue ice. |
| Size | Quantity | Unit Price | Amount | Operation |
|---|

Copyright © 2015-2026 TargetMol Chemicals Inc. All Rights Reserved.