Shopping Cart
Remove All
Your shopping cart is currently empty
Anti-IREB2 Polyclonal Antibody is a Rabbit antibody targeting IREB2. Anti-IREB2 Polyclonal Antibody can be used in IF,IHC-Fr,IHC-P.
| Pack Size | Price | USA Warehouse | Global Warehouse | Quantity |
|---|---|---|---|---|
| 50 μL | $221 | 7-10 days | 7-10 days | |
| 100 μL | $372 | 7-10 days | 7-10 days | |
| 200 μL | $528 | 7-10 days | 7-10 days |
| Description | Anti-IREB2 Polyclonal Antibody is a Rabbit antibody targeting IREB2. Anti-IREB2 Polyclonal Antibody can be used in IF,IHC-Fr,IHC-P. |
| Synonyms | OTTHUMP00000185022, IRP2AD, IRP-2, irp2, IRP2, Iron-responsive element-binding protein 2, iron regulatory protein 2, IRE-BP 2, IREB2, IREB 2, IRE BP2, FLJ23381, ACO3 |
| Ig Type | IgG |
| Reactivity | Human,Mouse (predicted:Rat,Chicken,Dog,Rabbit) |
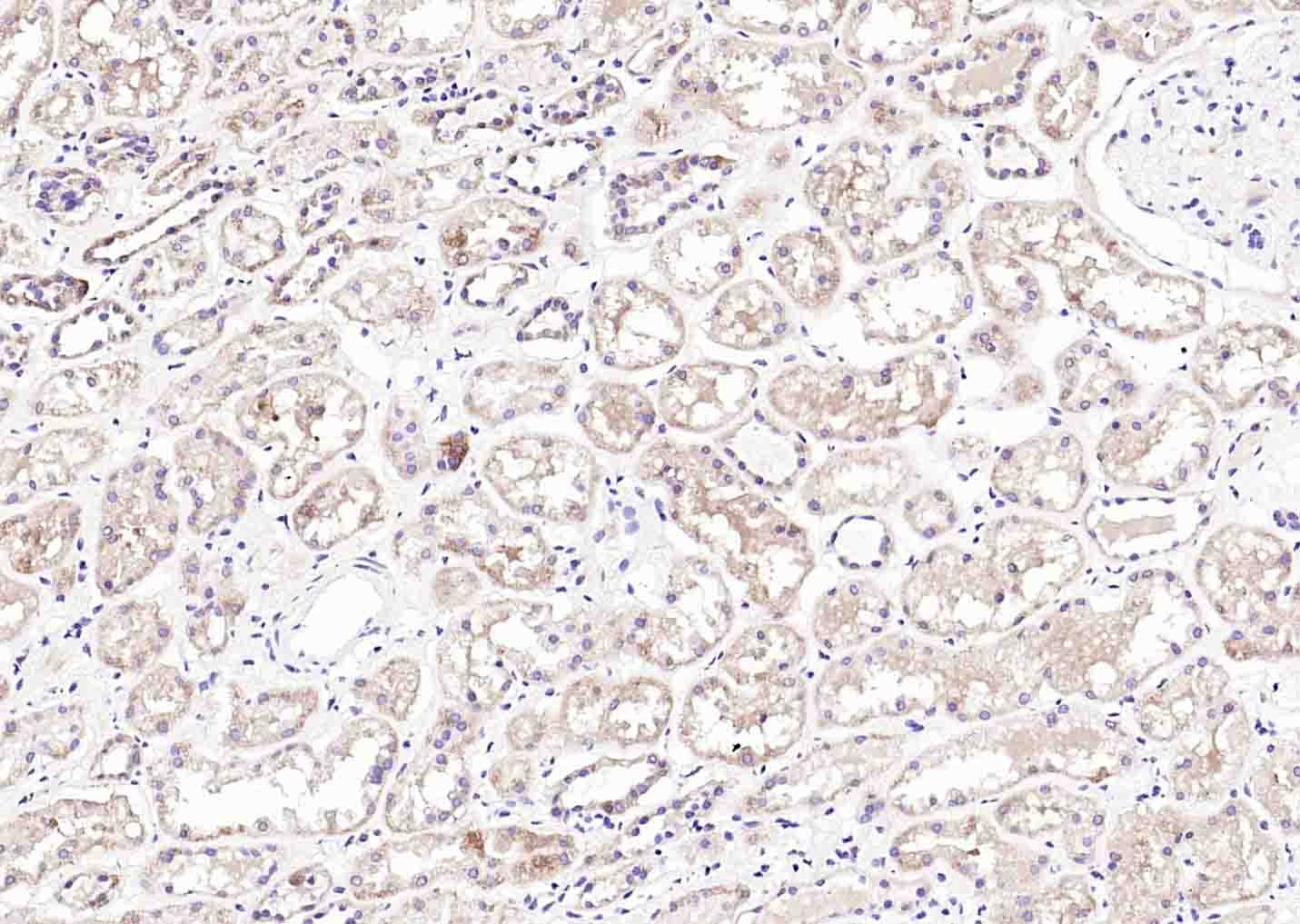
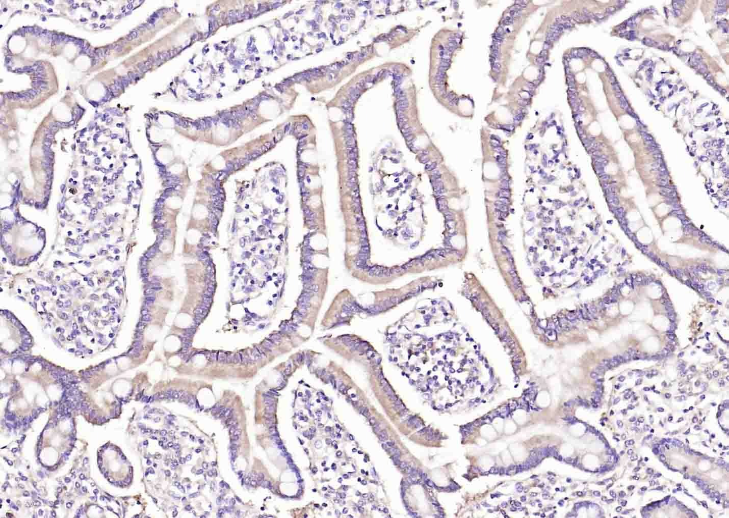
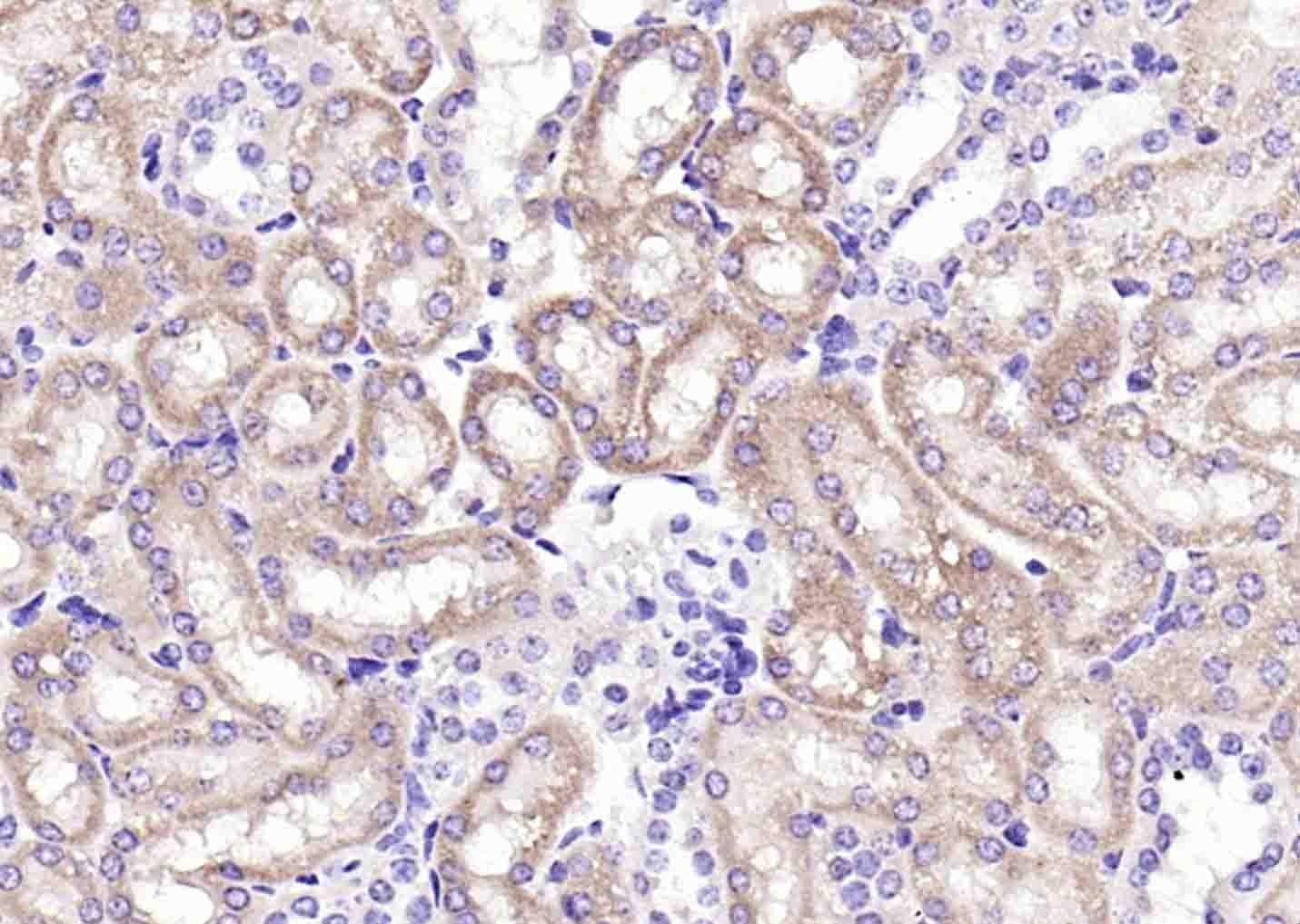
| Verified Activity | 1. Paraformaldehyde-fixed, paraffin embedded (human kidney); Antigen retrieval by boiling in sodium citrate buffer (pH6.0) for 15 min; Block endogenous peroxidase by 3% hydrogen peroxide for 20 min; Blocking buffer (normal goat serum) at 37°C for 30 min; Antibody incubation with (IREB2) Polyclonal Antibody, Unconjugated (TMAB-00984) at 1:200 overnight at 4°C, followed by operating according to SP Kit (Rabbit) instructionsand DAB staining. 2. Paraformaldehyde-fixed, paraffin embedded (Human duodenum); Antigen retrieval by boiling in sodium citrate buffer (pH6.0) for 15 min; Block endogenous peroxidase by 3% hydrogen peroxide for 20 min; Blocking buffer (normal goat serum) at 37°C for 30 min; Antibody incubation with (IREB2) Polyclonal Antibody, Unconjugated (TMAB-00984) at 1:200 overnight at 4°C, followed by operating according to SP Kit (Rabbit) instructionsand DAB staining. 3. Paraformaldehyde-fixed, paraffin embedded (mouse kidney); Antigen retrieval by boiling in sodium citrate buffer (pH6.0) for 15 min; Block endogenous peroxidase by 3% hydrogen peroxide for 20 min; Blocking buffer (normal goat serum) at 37°C for 30 min; Antibody incubation with (IREB2) Polyclonal Antibody, Unconjugated (TMAB-00984) at 1:200 overnight at 4°C, followed by operating according to SP Kit (Rabbit) instructionsand DAB staining. ![]() ![]() ![]() |
| Application | |
| Recommended Dose | IHC-P: 1:100-500; IHC-Fr: 1:100-500; IF: 1:100-500 |
| Antibody Type | Polyclonal |
| Host Species | Rabbit |
| Subcellular Localization | Cytoplasm. |
| Construction | Polyclonal Antibody |
| Purification | Protein A purified |
| Appearance | Liquid |
| Formulation | 0.01M TBS (pH7.4) with 1% BSA, 0.02% Proclin300 and 50% Glycerol. |
| Concentration | 1 mg/mL |
| Research Background | Iron metabolism is essential for sustaining mammalian homeostasis. Iron uptake and distribution is a highly regulated process in mammalian cells that is monitored by two iron sensing proteins: IRP-1 and -2 (iron regulatory protein-1 and -2), also known as iron responsive element-binding protein-1 and -2 (IRE-BP-1 and -2) or aconitase 1 and 2. IRP-1 and IRP-2 are important soluble regulatory factors that mediate iron uptake and storage in mammalian cells. They are capable of either repressing translation or enhancing mRNA stability by associating with stem-loop motifs known as iron-responsive elements (IREs). IRPs respond to stress mediators, iron concentration and signaling factors, including nitrogen monoxide, cytokines and hydrogen peroxide. |
| Immunogen | KLH conjugated synthetic peptide: human IREB2 |
| Antigen Species | Human |
| Gene Name | IREB2 |
| Gene ID | |
| Protein Name | Iron-responsive element-binding protein 2 |
| Uniprot ID | |
| Biology Area | Blood,Hypoxia-Regulated,RNA Processing,Vitamins / minerals,Energy Metabolism,Nucleotide metabolism,Hypoxia,Energy Metabolism,Vitamins / Minerals |
| Function | RNA-binding protein that binds to iron-responsive elements (IRES), which are stem-loop structures found in the 5'-UTR of ferritin, and delta aminolevulinic acid synthase mRNAs, and in the 3'-UTR of transferrin receptor mRNA. Binding to the IRE element in ferritin results in the repression of its mRNA translation. Binding of the protein to the transferrin receptor mRNA inhibits the degradation of this otherwise rapidly degraded mRNA. |
| Molecular Weight | Theoretical: 105 kDa. |
| Stability & Storage | Store at -20°C or -80°C for 12 months. Avoid repeated freeze-thaw cycles. |
| Transport | Shipping with blue ice. |
| Size | Quantity | Unit Price | Amount | Operation |
|---|

Copyright © 2015-2026 TargetMol Chemicals Inc. All Rights Reserved.