Shopping Cart
Remove All
Your shopping cart is currently empty
Anti-IRAK2 Antibody (9Y118) is a Rabbit antibody targeting IRAK2. Anti-IRAK2 Antibody (9Y118) can be used in FCM,ICC,IF,IHC,IP,WB.
| Pack Size | Price | USA Warehouse | Global Warehouse | Quantity |
|---|---|---|---|---|
| 50 μL | $297 | 7-10 days | 7-10 days | |
| 100 μL | $496 | 7-10 days | 7-10 days |
| Description | Anti-IRAK2 Antibody (9Y118) is a Rabbit antibody targeting IRAK2. Anti-IRAK2 Antibody (9Y118) can be used in FCM,ICC,IF,IHC,IP,WB. |
| Synonyms | IRAK-2, IRAK2, Interleukin-1 receptor-associated kinase-like 2 |
| Ig Type | IgG |
| Clone | 9Y118 |
| Reactivity | Human |
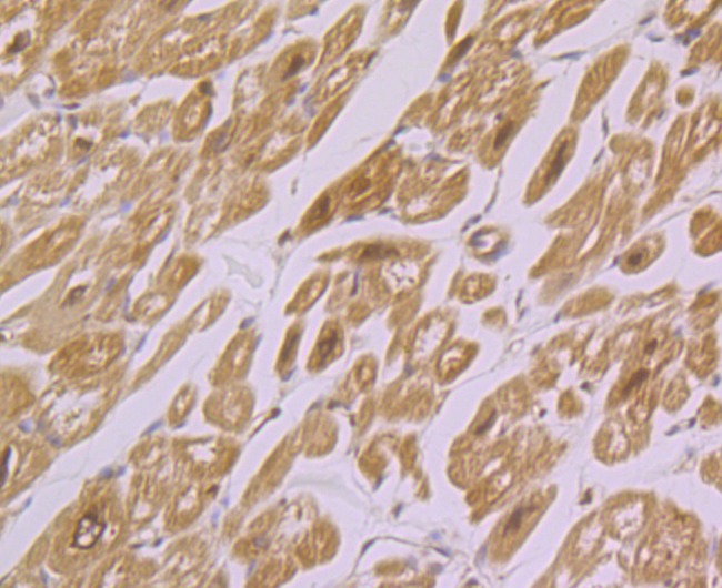
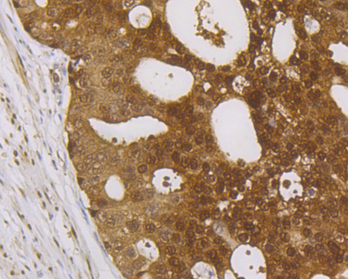
| Verified Activity | 1. Western blot analysis of IRAK2 on different cell lysates using anti-IRAK2 at 1/500 dilution. Positive control: Line 1: PC-3M, Line 2: A549, Line 3: HepG2. 2. Immunohistochemical analysis of paraffin-embedded human tonsil tissue using anti-IRAK2 antibody. Counter stained with hematoxylin. 3. Immunohistochemical analysis of paraffin-embedded human prostate cancer tissue using anti-IRAK2 antibody. Counter stained with hematoxylin. 4. Immunohistochemical analysis of paraffin-embedded human heart tissue using anti-IRAK2 antibody. Counter stained with hematoxylin. 5. ICC staining IRAK2 in PC-3M cells (green). The nuclear counter stain is DAPI (blue). Cells were fixed in paraformaldehyde, permeabilised with 0.25% Triton X100/PBS. 6. Flow cytometric analysis of Jurkat cells with IRAK2 antibody at 1/50 dilution (purple) compared with an unlabelled control (cells without incubation with primary antibody; yellow). Alexa Fluor 488-conjugated goat anti-rabbit IgG was used as the secondary antibody. ![]() ![]() ![]() ![]() ![]() ![]() |
| Application | |
| Recommended Dose | WB: 1:500-2000; IHC: 1:50-200; ICC:IF: 1:50-200; IP: 1:10-50; FCM: 1:50-100 |
| Antibody Type | Monoclonal |
| Host Species | Rabbit |
| Construction | Recombinant Antibody |
| Purification | ProA affinity purified |
| Appearance | Liquid |
| Formulation | 1*TBS (pH7.4), 1%BSA, 40%Glycerol. Preservative: 0.05% Sodium Azide. |
| Research Background | IRAK2 encodes the interleukin-1 receptor-associated kinase 2, one of two putative serine/threonine kinases that become associated with the interleukin-1 receptor (IL1R) upon stimulation. IRAK2 is reported to participate in the IL1-induced upregulation of NF-kappaB. IRAK2 has been shown to interact with TRAF6 and Myd88. |
| Conjucates | Unconjugated |
| Immunogen | Recombinant Protein: human IRAK2 aa 1-200 |
| Antigen Species | human |
| Uniprot ID |
| Molecular Weight | Theoretical: 69 kDa. |
| Stability & Storage | Store at -20°C or -80°C for 12 months. Avoid repeated freeze-thaw cycles. |
| Transport | Shipping with blue ice. |
| Size | Quantity | Unit Price | Amount | Operation |
|---|

Copyright © 2015-2026 TargetMol Chemicals Inc. All Rights Reserved.