Shopping Cart
Remove All
Your shopping cart is currently empty
Synonyms: SAR1, RasGAP-like with IQ motifs, Ras GTPase-activating-like protein IQGAP1, Ras GTPase activating like protein 1, p195, KIAA0051, Iqgap 1, IQGA1_HUMAN, IQ motif containing GTPase activating protein 1, HUMORFA01
| Pack Size | Price | USA Stock | Global Stock | Quantity |
|---|---|---|---|---|
| 50 μL | $296 | 7-10 days | 7-10 days | |
| 100 μL | $496 | 7-10 days | 7-10 days |
| Description | Anti-IQGAP1 Antibody (5T212) is a Rabbit antibody targeting IQGAP1. Anti-IQGAP1 Antibody (5T212) can be used in FCM,ICC,IF,IHC,WB. |
| Synonyms | SAR1, RasGAP-like with IQ motifs, Ras GTPase-activating-like protein IQGAP1, Ras GTPase activating like protein 1, p195, KIAA0051, Iqgap 1, IQGA1_HUMAN, IQ motif containing GTPase activating protein 1, HUMORFA01 |
| Ig Type | IgG |
| Clone | 5T212 |
| Reactivity | Human,Mouse |
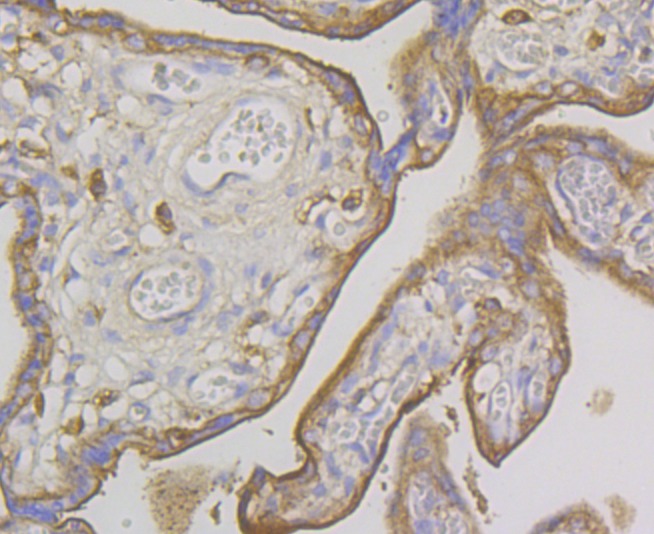
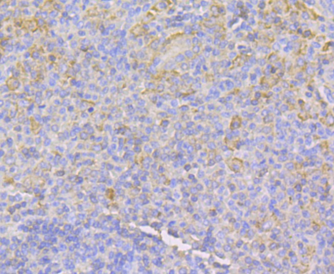
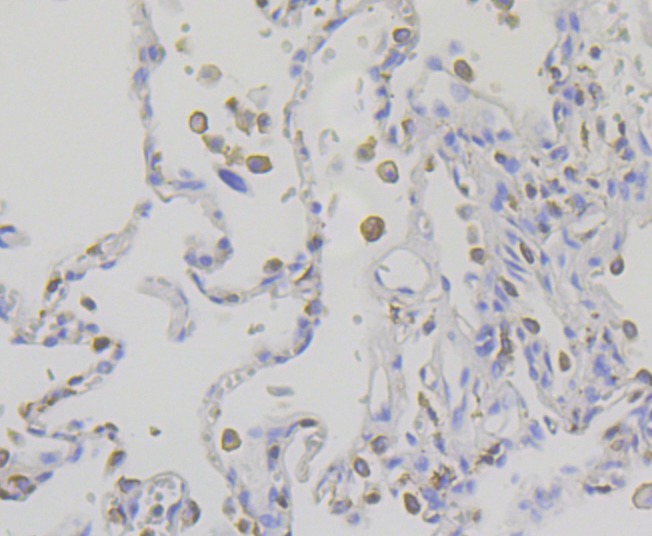
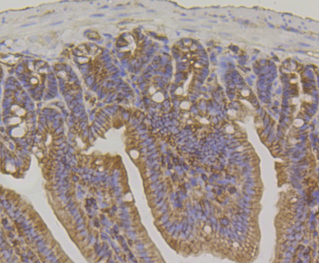
| Verified Activity | 1. Western blot analysis of IQGAP1 on different lysates using anti-IQGAP1 antibody at 1/1,000 dilution. Positive control: Lane 1: HUVEC, Lane 2: A431, Lane 3: Mouse placenta. 2. Immunohistochemical analysis of paraffin-embedded human lung cancer tissue using anti-IQGAP1 antibody. Counter stained with hematoxylin. 3. Immunohistochemical analysis of paraffin-embedded human spleen tissue using anti-IQGAP1 antibody. Counter stained with hematoxylin. 4. Immunohistochemical analysis of paraffin-embedded human placenta tissue using anti-IQGAP1 antibody. Counter stained with hematoxylin. 5. Immunohistochemical analysis of paraffin-embedded mouse colon tissue using anti-IQGAP1 antibody. Counter stained with hematoxylin. 6. ICC staining IQGAP1 in A431 cells (green). The nuclear counter stain is DAPI (blue). Cells were fixed in paraformaldehyde, permeabilised with 0.25% Triton X100/PBS. 7. ICC staining IQGAP1 in Hela cells (green). The nuclear counter stain is DAPI (blue). Cells were fixed in paraformaldehyde, permeabilised with 0.25% Triton X100/PBS. 8. ICC staining IQGAP1 in SiHa cells (green). The nuclear counter stain is DAPI (blue). Cells were fixed in paraformaldehyde, permeabilised with 0.25% Triton X100/PBS. 9. Flow cytometric analysis of SiHa cells with IQGAP1 antibody at 1/100 dilution (purple) compared with an unlabelled control (cells without incubation with primary antibody; yellow). Alexa Fluor 488-conjugated goat anti-rabbit IgG was used as the secondary antibody. |
| Application | |
| Recommended Dose | WB: 1:500-2000; IHC: 1:50-200; ICC:IF: 1:50-200; FCM: 1:50-100 |
| Antibody Type | Monoclonal |
| Host Species | Rabbit |
| Construction | Recombinant Antibody |
| Purification | ProA affinity purified |
| Appearance | Liquid |
| Formulation | 1*TBS (pH7.4), 1%BSA, 40%Glycerol. Preservative: 0.05% Sodium Azide. |
| Research Background | IQGAP1, for IQ motif containing GTPase activating protein, is a Ras GAP-related, Actin-binding protein that interacts with the small GTPases Cdc42 and Rac1. The C-terminus of IQGAP1 is essential for interacting with Cdc42 and, in addition, IQGAP1 contains a WW domain and a predicted N-terminal coiled-coil region, which may be involved in IQGAP dimerization. Expression of IQGAP1 is highest in placenta, lung and kidney, where it co-localizes with Cdc42 to the cytoskeleton and assists with Cdc42 in mediating the regulation of cell proliferation, polarity and cell morphology. IQGAP1 regulates cadherin-mediated cell adhesion via binding to E-cadherin, b-catenin and a-catenin. This association induces the accumulation of these proteins at the site of cell-cell contact. IQGAP1 is negatively regulated by calmodulin, which binds to IQGAP1 in a calcium-dependent manner and disrupts IQGAP1 from associating with Cdc42. |
| Conjucates | Unconjugated |
| Immunogen | Recombinant Protein: N-terminal human IQGAP1 |
| Antigen Species | human |
| Uniprot ID |
| Molecular Weight | Theoretical: 189 kDa. |
| Stability & Storage | Store at -20°C or -80°C for 12 months. Avoid repeated freeze-thaw cycles. |
| Transport | Shipping with blue ice. |
| Size | Quantity | Unit Price | Amount | Operation |
|---|

Copyright © 2015-2026 TargetMol Chemicals Inc. All Rights Reserved.