Shopping Cart
Remove All
Your shopping cart is currently empty
Anti-Integrin alpha 4 Antibody (6M673) is a Rabbit antibody targeting Integrin alpha 4. Anti-Integrin alpha 4 Antibody (6M673) can be used in FCM,IHC,WB.
| Pack Size | Price | USA Warehouse | Global Warehouse | Quantity |
|---|---|---|---|---|
| 50 μL | $296 | 7-10 days | 7-10 days | |
| 100 μL | $497 | 7-10 days | 7-10 days |
| Description | Anti-Integrin alpha 4 Antibody (6M673) is a Rabbit antibody targeting Integrin alpha 4. Anti-Integrin alpha 4 Antibody (6M673) can be used in FCM,IHC,WB. |
| Synonyms | VLA-4 subunit alpha, VLA4, VLA 4 subunit alpha, Very late activation protein 4 receptor, OTTHUMP00000205320, MGC90518, ITGA4, ITA4_HUMAN, Integrin α4, Integrin α 4, Integrin alpha-IV, Integrin alpha-4, Integrin alpha4, Integrin alpha IV, Integrin alpha 4 subunit, Integrin alpha 4, Integrin a4, Integrin a 4, Integrin, IA4, CD49d, CD49 antigen-like family member D, CD49 antigen like family member D, Antigen CD49D, alpha 4 subunit of VLA 4 receptor), alpha 4 subunit of VLA 4 receptor, alpha 4 subunit, alpha 4 (antigen CD49D, 269C wild type |
| Ig Type | IgG |
| Clone | 6M673 |
| Reactivity | Human |
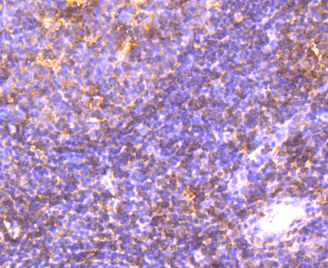
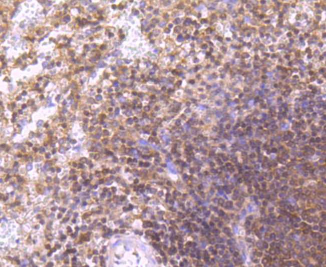
| Verified Activity | 1. Immunohistochemical analysis of paraffin-embedded human tonsil tissue using anti-Integrin alpha 4 antibody. Counter stained with hematoxylin. 2. Immunohistochemical analysis of paraffin-embedded human spleen tissue using anti-Integrin alpha 4 antibody. Counter stained with hematoxylin. 3. Flow cytometric analysis of Jurkat cells with Integrin alpha 4 antibody at 1/100 dilution (red) compared with an unlabelled control (cells without incubation with primary antibody; black). Alexa Fluor 488-conjugated Goat anti mouse IgG was used as the secondary antibody. ![]() ![]() ![]() |
| Application | |
| Recommended Dose | WB: 1:500-1000; IHC: 1:50-200; FCM: 1:10-50 |
| Antibody Type | Monoclonal |
| Host Species | Rabbit |
| Construction | Recombinant Antibody |
| Purification | ProA affinity purified |
| Appearance | Liquid |
| Formulation | 1*TBS (pH7.4), 1%BSA, 40%Glycerol. Preservative: 0.05% Sodium Azide. |
| Research Background | Integrins are heterodimers composed of noncovalently associated transmembrane α and β subunits. The 16 α and 8 β subunits heterodimerize to produce more than 20 different receptors. Most integrin receptors bind ligands that are components of the extracellular matrix, including fibronectin, collagen and vitronectin. Certain integrins can also bind to soluble ligands such as fibrinogen, or to counterreceptors on adjacent cells such as the intracellular adhesion molecules (ICAMs), leading to aggregation of cells. Ligands serve to cross-link or cluster integrins by binding to adjacent integrin receptors; both receptor clustering and ligand occupancy are necessary for the activation of integrin-mediated responses. In addition to mediating cell adhesion and cytoskeletal organization, integrins function as signaling receptors. Signals transduced by integrins play a role in many biological processes, including cell growth, differentiation, migration and apoptosis. |
| Conjucates | Unconjugated |
| Immunogen | Recombinant Protein |
| Molecular Weight | Theoretical: 150 kDa. |
| Stability & Storage | Store at -20°C or -80°C for 12 months. Avoid repeated freeze-thaw cycles. |
| Transport | Shipping with blue ice. |
| Size | Quantity | Unit Price | Amount | Operation |
|---|

Copyright © 2015-2026 TargetMol Chemicals Inc. All Rights Reserved.