Shopping Cart
Remove All
Your shopping cart is currently empty
Anti-INPP5D Antibody (9H177) is a Rabbit antibody targeting INPP5D. Anti-INPP5D Antibody (9H177) can be used in FCM,IHC,IP,WB.
| Pack Size | Price | USA Warehouse | Global Warehouse | Quantity |
|---|---|---|---|---|
| 50 μL | $298 | 7-10 days | 7-10 days | |
| 100 μL | $496 | 7-10 days | 7-10 days |
| Description | Anti-INPP5D Antibody (9H177) is a Rabbit antibody targeting INPP5D. Anti-INPP5D Antibody (9H177) can be used in FCM,IHC,IP,WB. |
| Synonyms | SIP-145, SHIP-1, SHIP1, SHIP, SH2 domain-containing inositol phosphatase 1, SH2 domain-containing inositol 5'-phosphatase 1, Phosphatidylinositol 3,4,5-trisphosphate 5-phosphatase 1, p150Ship, Inositol polyphosphate-5-phosphatase of 145 kDa, hp51CN, EC 3.1.3.86 |
| Ig Type | IgG |
| Clone | 9H177 |
| Reactivity | Human |
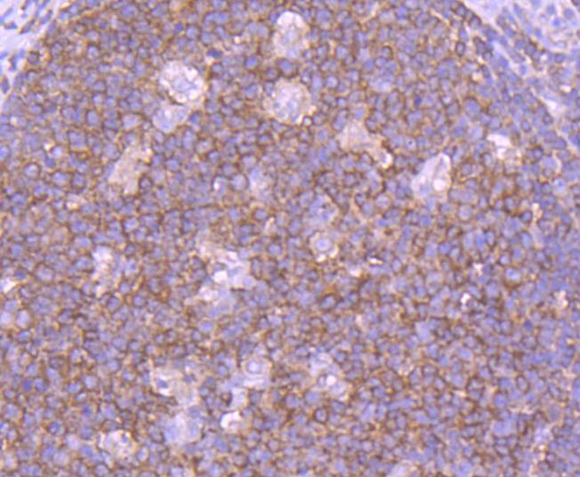
| Verified Activity | 1. Western blot analysis of SHIP on different lysates using anti-SHIP antibody at 1/1,000 dilution. Positive control: Lane 1: Daudi, Lane 2: THP-1. 2. Immunohistochemical analysis of paraffin-embedded human tonsil tissue using anti-SHIP antibody. Counter stained with hematoxylin. 3. Immunohistochemical analysis of paraffin-embedded human spleen tissue using anti-SHIP antibody. Counter stained with hematoxylin. 4. Flow cytometric analysis of Raji cells with SHIP antibody at 1/50 dilution (red) compared with an unlabelled control (cells without incubation with primary antibody; black). Alexa Fluor 488-conjugated goat anti rabbit IgG was used as the secondary antibody. ![]() ![]() ![]() ![]() |
| Application | |
| Recommended Dose | WB: 1:1000; IHC: 1:50-200; FCM: 1:50-100 |
| Antibody Type | Monoclonal |
| Host Species | Rabbit |
| Construction | Recombinant Antibody |
| Purification | ProA affinity purified |
| Appearance | Liquid |
| Formulation | 1*TBS (pH7.4), 1%BSA, 40%Glycerol. Preservative: 0.05% Sodium Azide. |
| Research Background | The major translational product of the v-Fms oncogene, originally isolated from the McDonough strain of feline sarcoma virus, has been identified as a glycoprotein with intrinsic tyrosine kinase activity. The v-Fms human cellular homolog, c-Fms, has been molecularly cloned and mapped to band q34 on chromosome 5, and identified as the receptor for hematopoietic ligand, CSF-1. Ligand-induced activation of the intrinsic CSF-1R protein tyrosine kinase triggers its interaction with cytoplasmic effector molecules. One such effector molecule, SHIP-1 p145 (SH2-containing-inositol phosphatase), associates with activated Fms. SHIP-1 contains two phosphotyrosine-binding domains (PTB), a unique amino terminal SH2 domain, a proline-rich region, and two highly conserved motifs found among inositol phosphate 5-phosphatases. SHIP-1 displays both phosphatidylinositol 3,4,5-triphosphate and inositol 1,3,4,5-tetrakisphosphate polyphosphate 5-phosphatase activity. Evidence suggests that SHIP-1 may modulate Ras signaling in addition to inositol signaling pathways. |
| Conjucates | Unconjugated |
| Immunogen | Recombinant Protein |
| Uniprot ID |
| Molecular Weight | Theoretical: 133/109 kDa. |
| Stability & Storage | Store at -20°C or -80°C for 12 months. Avoid repeated freeze-thaw cycles. |
| Transport | Shipping with blue ice. |
| Size | Quantity | Unit Price | Amount | Operation |
|---|

Copyright © 2015-2026 TargetMol Chemicals Inc. All Rights Reserved.