Shopping Cart
Remove All
Your shopping cart is currently empty
Anti-iNOS Polyclonal Antibody is a Rabbit antibody targeting iNOS. Anti-iNOS Polyclonal Antibody can be used in ELISA,ICC/IF,IF,IHC-Fr,IHC-P,WB.
| Pack Size | Price | USA Warehouse | Global Warehouse | Quantity |
|---|---|---|---|---|
| 50 μL | $221 | 7-10 days | 7-10 days | |
| 100 μL | $372 | 7-10 days | 7-10 days |
| Description | Anti-iNOS Polyclonal Antibody is a Rabbit antibody targeting iNOS. Anti-iNOS Polyclonal Antibody can be used in ELISA,ICC/IF,IF,IHC-Fr,IHC-P,WB. |
| Synonyms | NOS2A, NOS2, NOS type II, Nos II, NOS 2A, NOS 2, NOS, Nitric Oxide Synthase, Inducible, Nitric oxide synthase inducible, Nitric oxide synthase 2A(inducible hepatocytes), Nitric oxide synthase 2 inducible macrophage, Macrophage NOS, MAC NOS, Inosl, INOS, Inducible NOS, Inducible NO synthase, Inducible nitric oxide synthase, i NOS, HEPNOS, Hepatocyte NOS, HEP NOS |
| Ig Type | IgG |
| Reactivity | Human,Mouse,Rat |
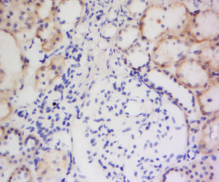
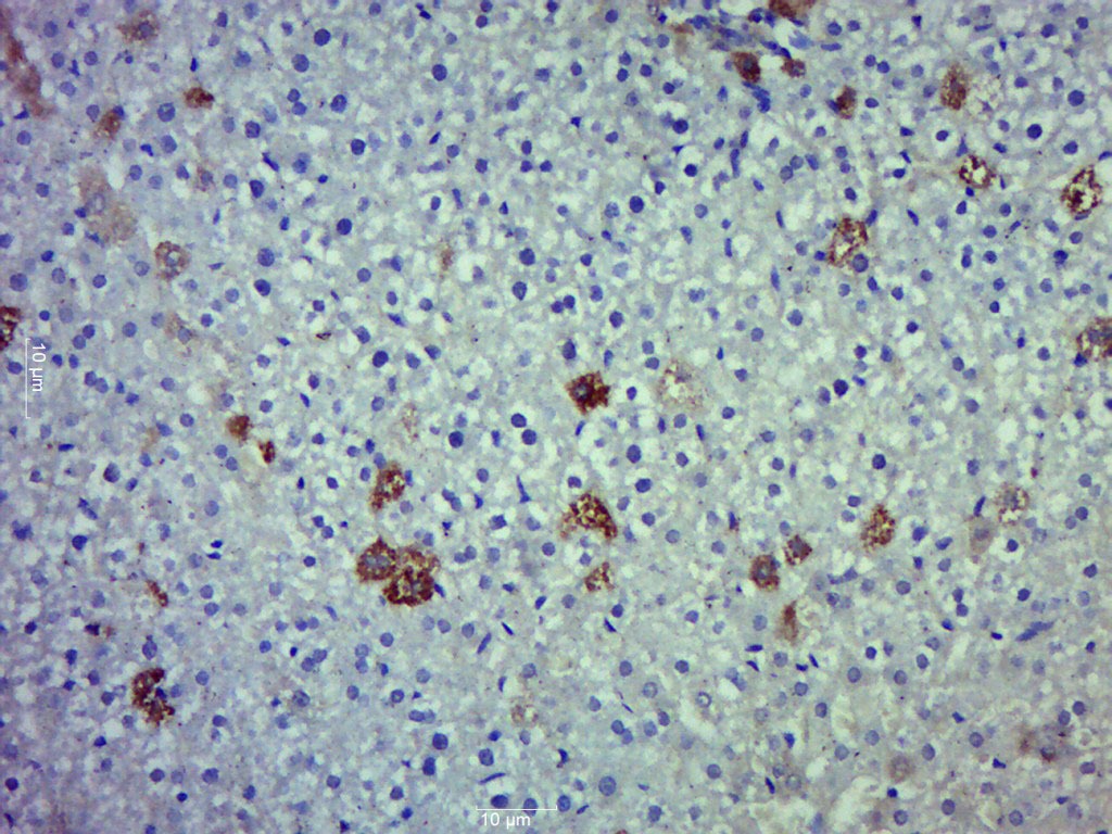
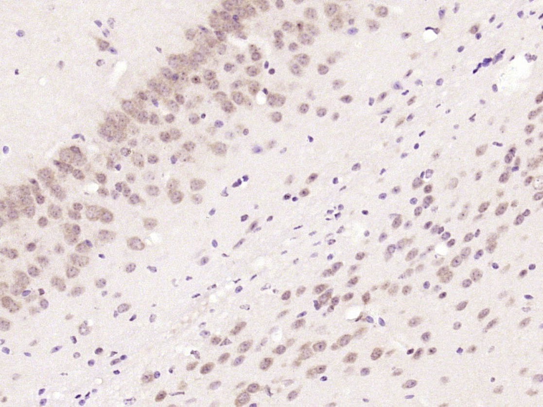
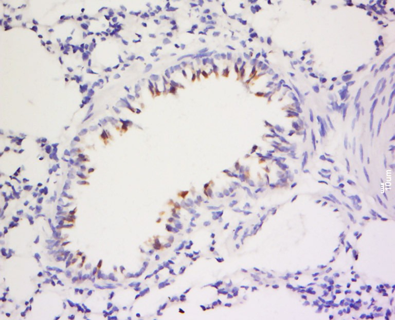
| Verified Activity | 1. Tissue/cell: Rat lung tissue; 4% Paraformaldehyde-fixed and paraffin-embedded; Antigen retrieval: citrate buffer (0.01M, pH6.0), Boiling bathing for 15 min; Block endogenous peroxidase by 3% Hydrogen peroxide for 30 min; Blocking buffer (normal goat serum) at 37°C for 20 min; Incubation: Anti-iNOS Polyclonal Antibody, Unconjugated (TMAB-00970) 1:200, overnight at 4°C, followed by conjugation to the secondary antibody and DAb staining. 2. Tissue/cell: human kidney tissue; 4% Paraformaldehyde-fixed and paraffin-embedded; Antigen retrieval: citrate buffer (0.01M, pH6.0), Boiling bathing for 15 min; Block endogenous peroxidase by 3% Hydrogen peroxide for 30 min; Blocking buffer (normal goat serum) at 37°C for 20 min; Incubation: Anti-iNOS Polyclonal Antibody, Unconjugated (TMAB-00970) 1:200, overnight at 4°C, followed by conjugation to the secondary antibody and DAb staining. 3. Sample: U251 Cell Lysate at 40 μg Primary: Anti-iNOs (TMAB-00970) at 1/300 dilution Secondary: IRDye800CW Goat Anti-RabbitIgG at 1/20000 dilution Predicted band size: 130 kDa Observed band size: 130 kDa 4. Paraformaldehyde-fixed, paraffin embedded (Rat liver); Antigen retrieval by boiling in sodium citrate buffer (pH6.0) for 15 min; Block endogenous peroxidase by 3% hydrogen peroxide for 20 min; Blocking buffer (normal goat serum) at 37°C for 30 min; Antibody incubation with (iNOS) Polyclonal Antibody, Unconjugated (TMAB-00970) at 1:500 overnight at 4°C, followed by a conjugated secondary for 20 min and DAB staining. 5. Paraformaldehyde-fixed, paraffin embedded (mouse brain); Antigen retrieval by boiling in sodium citrate buffer (pH6.0) for 15 min; Block endogenous peroxidase by 3% hydrogen peroxide for 20 min; Blocking buffer (normal goat serum) at 37°C for 30 min; Antibody incubation with (inos) Polyclonal Antibody, Unconjugated (TMAB-00970) at 1:200 overnight at 4°C, followed by operating according to SP Kit (Rabbit) instructionsand DAB staining. 6. Sample: Lane 1: Mouse Raw264.7 tissue lysates Lane 2: Human Jurkat cell lysates Primary: Anti-iNOS (TMAB-00970) at 1/1000 dilution Secondary: IRDye800CW Goat Anti-Rabbit IgG at 1/20000 dilution Predicted band size: 130 kDa Observed band size: 140 kDa ![]() ![]() ![]() ![]() ![]() ![]() |
| Application | |
| Recommended Dose | WB: 1:500-2000; IHC-P: 1:100-500; IHC-Fr: 1:100-500; ICC/IF: 1:100-500; IF: 1:100-500; ELISA: 1:5000-10000 |
| Antibody Type | Polyclonal |
| Host Species | Rabbit |
| Subcellular Localization | Cytosol |
| Tissue Specificity | Expressed in the liver, retina, bone cells and airway epithelial cells of the lung. Not expressed in the platelets. |
| Construction | Polyclonal Antibody |
| Purification | Protein A purified |
| Appearance | Liquid |
| Formulation | 0.01M TBS (pH7.4) with 1% BSA, 0.02% Proclin300 and 50% Glycerol. |
| Concentration | 1 mg/mL |
| Research Background | Nitric oxide (NO) is an inorganic, gaseous free radical that carries a variety of messages between cells. Vasorelaxation, neurotransmission and cytotoxicity can all be potentiated through cellular response to NO. NO production is mediated by members of the nitric oxide synthase (NOS) family. NOS catalyzes the oxidization of L-arginine to produce L-citrulline and NO. Two constitutive isoforms, brain or neuronal NOS (b or nNOS, type I) & endothelial cell NOS (eNOS, type III), and one inducible isoform (iNOS, type II), have been cloned. All NOS isoforms contain calmodulin, nicotinamide adenine dinucleotide phosphate (NADPH), flavin adenine dinucleotide (FAD), and flavin mononucleotide (FMN) binding domains. Nitric oxide synthase is expressed in liver, macrophages, hepatocytes, synoviocytes, stimulated glial cells and smooth muscle cells. Cytokines such as interferon-gamma (IFN), tumor necrosis factor (TNF), interleukin-1 and -2, and lipopolysaccarides (LPS) cause an increase in iNOS mRNA, protein, and activity levels. Protein kinase C-stimulating agents exhibit the same effect on iNOS activity. After cytokine induction, iNOS exhibits a delayed activity response which is then followed by a significant increase in NO production over a long period of time. Human iNOS is regulated by calcium/calmodulin (in contrast with mouse NOS2). |
| Immunogen | KLH conjugated synthetic peptide: human NOS-2 |
| Antigen Species | Human |
| Gene Name | NOS2 |
| Gene ID | |
| Protein Name | Nitric oxide synthase, inducible |
| Uniprot ID | |
| Biology Area | Cellular metabolic process,Response to hypoxia,Hypoxia,NOS |
| Function | Produces nitric oxide (NO) which is a messenger molecule with diverse functions throughout the body. In macrophages, NO mediates tumoricidal and bactericidal actions. Also has nitrosylase activity and mediates cysteine S-nitrosylation of cytoplasmic target proteins such COX2. |
| Molecular Weight | Theoretical: 130 kDa. |
| Color | Transparent |
| Appearance | Liquid |
| Stability & Storage | Store at -20°C or -80°C for 12 months. Avoid repeated freeze-thaw cycles. |
| Transport | Shipping with blue ice. |
| Size | Quantity | Unit Price | Amount | Operation |
|---|

Copyright © 2015-2025 TargetMol Chemicals Inc. All Rights Reserved.