Shopping Cart
Remove All
Your shopping cart is currently empty
Anti-INHBB Polyclonal Antibody is a Rabbit antibody targeting INHBB. Anti-INHBB Polyclonal Antibody can be used in IF,IHC-Fr,IHC-P,WB.
| Pack Size | Price | USA Stock | Global Stock | Quantity |
|---|---|---|---|---|
| 50 μL | $220 | 7-10 days | 7-10 days | |
| 100 μL | $372 | 7-10 days | 7-10 days | |
| 200 μL | $527 | 7-10 days | 7-10 days |
| Description | Anti-INHBB Polyclonal Antibody is a Rabbit antibody targeting INHBB. Anti-INHBB Polyclonal Antibody can be used in IF,IHC-Fr,IHC-P,WB. |
| Synonyms | MGC157939, Inhibin β B Protein, inhibin β B, inhibin beta B, INHBB |
| Ig Type | IgG |
| Reactivity | Human,Mouse,Rat (predicted:Dog,Pig,Cow,Sheep,GuineaPig) |
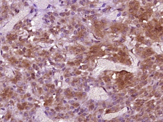
| Verified Activity | 1. Sample: A431 (Human) Cell Lysate at 40 μg Primary: Anti-Inhibin beta B (TMAB-00969) at 1/300 dilution Secondary: IRDye800CW Goat Anti-Rabbit IgG at 1/20000 dilution Predicted band size: 45 kDa Observed band size: 50 kDa 2. Sample: Brain (Mouse) Lysate at 40 μg Primary: Anti-Inhibin beta B (TMAB-00969) at 1/300 dilution Secondary: IRDye800CW Goat Anti-Rabbit IgG at 1/20000 dilution Predicted band size: 45 kDa Observed band size: 50 kDa 3. Paraformaldehyde-fixed, paraffin embedded (rat ovary tissue); Antigen retrieval by boiling in sodium citrate buffer (pH6.0) for 15 min; Block endogenous peroxidase by 3% hydrogen peroxide for 20 min; Blocking buffer (normal goat serum) at 37°C for 30 min; Antibody incubation with (Inhibin beta B) Polyclonal Antibody, Unconjugated (TMAB-00969) at 1:400 overnight at 4°C, followed by operating according to SP Kit (Rabbit) instructionsand DAB staining. 4. Sample: Lane 1: Mouse Testis tissue lysates Lane 2: Mouse Breast tissue lysates Lane 3: Mouse Placenta tissue lysates Lane 4: Mouse Liver tissue lysates Lane 5: Rat Testis tissue lysates Lane 6: Rat Breast tissue lysates Lane 7: Human A431 cell lysates Lane 8: Human HepG2 cell lysates Primary: Anti-Inhibin beta B (TMAB-00969) at 1/1000 dilution Secondary: IRDye800CW Goat Anti-Rabbit IgG at 1/20000 dilution Predicted band size: 13/45 kDa Observed band size: 46 kDa ![]() ![]() ![]() ![]() |
| Application | |
| Recommended Dose | WB: 1:500-2000; IHC-P: 1:100-500; IHC-Fr: 1:100-500; IF: 1:100-500 |
| Antibody Type | Polyclonal |
| Host Species | Rabbit |
| Subcellular Localization | Secreted. |
| Construction | Polyclonal Antibody |
| Purification | Protein A purified |
| Appearance | Liquid |
| Formulation | 0.01M TBS (pH7.4) with 1% BSA, 0.02% Proclin300 and 50% Glycerol. |
| Concentration | 1 mg/mL |
| Research Background | The inhibin beta B subunit joins the alpha subunit to form a pituitary FSH secretion inhibitor. Inhibin has been shown to regulate gonadal stromal cell proliferation negatively and to have tumour-suppressor activity. In addition, serum levels of inhibin have been shown to reflect the size of granulosa-cell tumors and can therefore be used as a marker for primary as well as recurrent disease. Because expression in gonadal and various extragonadal tissues may vary severalfold in a tissue-specific fashion, it is proposed that inhibin may be both a growth/differentiation factor and a hormone. Furthermore, the beta B subunit forms a homodimer, activin B, and also joins with the beta A subunit to form a heterodimer, activin AB, both of which stimulate FSH secretion. [provided by RefSeq]. |
| Immunogen | KLH conjugated synthetic peptide: human Inhibin beta B |
| Antigen Species | Human |
| Gene Name | INHBB |
| Gene ID | |
| Protein Name | Inhibin beta B chain |
| Uniprot ID | |
| Biology Area | Gonadotrophic axis,Hypothalamic pituitary adrenal axis,Hormones |
| Molecular Weight | Theoretical: 13/45 kDa. Actual: 46 kDa. |
| Stability & Storage | Store at -20°C or -80°C for 12 months. Avoid repeated freeze-thaw cycles. |
| Transport | Shipping with blue ice. |
| Size | Quantity | Unit Price | Amount | Operation |
|---|

Copyright © 2015-2026 TargetMol Chemicals Inc. All Rights Reserved.