Shopping Cart
Remove All
Your shopping cart is currently empty
Anti-ILF3 Antibody (8T791) is a Rabbit antibody targeting ILF3. Anti-ILF3 Antibody (8T791) can be used in FCM,ICC,IF,IHC,IP,WB.
| Pack Size | Price | USA Warehouse | Global Warehouse | Quantity |
|---|---|---|---|---|
| 50 μL | $297 | 7-10 days | 7-10 days | |
| 100 μL | $497 | 7-10 days | 7-10 days |
| Description | Anti-ILF3 Antibody (8T791) is a Rabbit antibody targeting ILF3. Anti-ILF3 Antibody (8T791) can be used in FCM,ICC,IF,IHC,IP,WB. |
| Synonyms | Translational control protein 80, TCP80, Nuclear factor of activated T-cells 90 kDa, Nuclear factor associated with dsRNA, NF-AT-90, NFAR, MPP4, M-phase phosphoprotein 4, Interleukin enhancer-binding factor 3, ILF 3, DRBP76, DRBF MPHOSPH4 NF90, Double-stranded RNA-binding protein 76 |
| Ig Type | IgG |
| Clone | 8T791 |
| Reactivity | Human,Mouse,Rat |
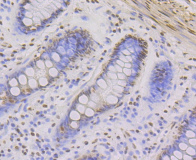
| Verified Activity | 1. Western blot analysis of ILF3 on rat heart tissue (1) and 293 cell (2) lysate using anti-ILF3 antibody at 1/1,000 dilution. 2. Immunohistochemical analysis of paraffin-embedded human tonsil tissue using anti-ILF3 antibody. Counter stained with hematoxylin. 3. Immunohistochemical analysis of paraffin-embedded human colon tissue using anti-ILF3 antibody. Counter stained with hematoxylin. 4. Immunohistochemical analysis of paraffin-embedded human prostate cancer tissue using anti-ILF3 antibody. Counter stained with hematoxylin. 5. Immunohistochemical analysis of paraffin-embedded mouse testis tissue using anti-ILF3 antibody. Counter stained with hematoxylin. 6. Immunohistochemical analysis of paraffin-embedded mouse kidney tissue using anti-ILF3 antibody. Counter stained with hematoxylin. 7. ICC staining ILF3 in A431 cells (green). The nuclear counter stain is DAPI (blue). Cells were fixed in paraformaldehyde, permeabilised with 0.25% Triton X100/PBS. 8. ICC staining ILF3 in SH-SY-5Y cells (green). The nuclear counter stain is DAPI (blue). Cells were fixed in paraformaldehyde, permeabilised with 0.25% Triton X100/PBS. 9. ICC staining ILF3 in SiHa cells (green). The nuclear counter stain is DAPI (blue). Cells were fixed in paraformaldehyde, permeabilised with 0.25% Triton X100/PBS. 10. Flow cytometric analysis of K562 cells with ILF3 antibody at 1/100 dilution (purple) compared with an unlabelled control (cells without incubation with primary antibody; yellow). Alexa Fluor 488-conjugated goat anti-rabbit IgG was used as the secondary antibody. ![]() ![]() ![]() ![]() ![]() ![]() ![]() ![]() ![]() ![]() |
| Application | |
| Recommended Dose | WB: 1:500-2000; IHC: 1:50-200; ICC: 1:50-200; IP: 1:10-50; FCM: 1:50-100 |
| Antibody Type | Monoclonal |
| Host Species | Rabbit |
| Construction | Recombinant Antibody |
| Purification | ProA affinity purified |
| Appearance | Liquid |
| Formulation | 1*TBS (pH7.4), 1%BSA, 40%Glycerol. Preservative: 0.05% Sodium Azide. |
| Research Background | ILF3 (interleukin enhancer binding factor 3) or TCP80 (translational control protein 80), is a ubiquitously expressed nuclear protein that exists in a heterodimer with NF45. NF90 contains two DRBM (double-stranded RNA(dsRNA-)-binding) domains and one DZF domain and, in association with NF45 primarily participates in the regulation of IL-2 expression by binding to the antigen receptor response element (ARRE) target sequence of the IL-2 enhancer. In neuronal cells, the NF45/NF90 heterodimer can repress human rhinovirus type 2 replication by binding to a 5' untranslated region of the viral RNA that encodes the internal ribosome entry site (IRES). NF45 and NF90 belong to the double-stranded RNA-binding protein family and both are substrates for the dsRNA-activated protein kinase, PKR. Due to alternative splicing events, six isoforms exist for NF90, namely NFAR-2 (or ILF3-E), NFAR-1 (or DRBP76), isoform 3, DRBP76α (or ILF3-A), DRBP76δ (also known as DRBP76γ or ILF3-C) and isoform 6. |
| Conjucates | Unconjugated |
| Immunogen | Recombinant Protein: N-terminal human ILF3 |
| Antigen Species | human |
| Uniprot ID |
| Molecular Weight | Theoretical: 75/95 kDa. |
| Stability & Storage | Store at -20°C or -80°C for 12 months. Avoid repeated freeze-thaw cycles. |
| Transport | Shipping with blue ice. |
| Size | Quantity | Unit Price | Amount | Operation |
|---|

Copyright © 2015-2026 TargetMol Chemicals Inc. All Rights Reserved.