Shopping Cart
Remove All
Your shopping cart is currently empty
Synonyms: NAP-1, NAP1, NAF, MONAP, MDNCF, LYNAP, LUCT, LECT, Interleukin-8, IL-8, IL8, GCP-1, GCP1, chemokine (C-X-C motif) ligand 8

| Pack Size | Price | USA Stock | Global Stock | Quantity |
|---|---|---|---|---|
| 50 μL | $217 | 7-10 days | 7-10 days | |
| 100 μL | $318 | 7-10 days | 7-10 days |
| Description | Anti-IL-8/CXCL8 Antibody (5C911) is a Mouse antibody targeting IL-8/CXCL8. Anti-IL-8/CXCL8 Antibody (5C911) can be used in IHC. |
| Synonyms | NAP-1, NAP1, NAF, MONAP, MDNCF, LYNAP, LUCT, LECT, Interleukin-8, IL-8, IL8, GCP-1, GCP1, chemokine (C-X-C motif) ligand 8 |
| Ig Type | IgG1 |
| Clone | 5C911 |
| Reactivity | Human,Mouse,Rat |
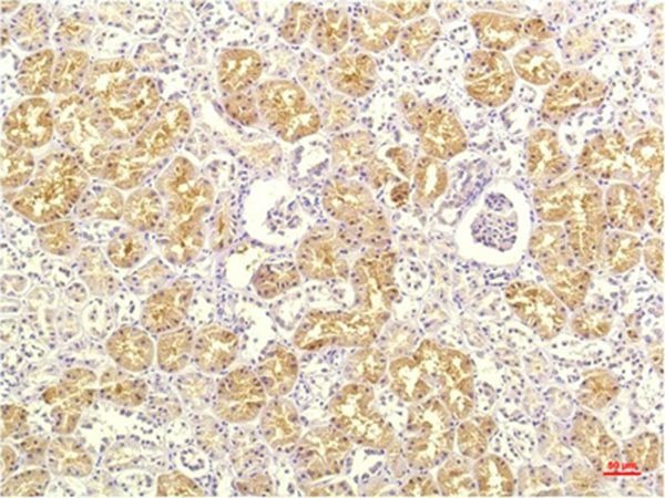
| Verified Activity | 1. Immunohistochemical analysis of paraffin-embedded Human Lung Carrcinoma Tissue using IL-8 Mouse mAb diluted at 1:200. 2. Immunohistochemical analysis of paraffin-embedded Human Kidney Tissue using IL-8 Mouse mAb diluted at 1:200. |
| Application | |
| Recommended Dose | IHC: 1:100-200 |
| Antibody Type | Monoclonal |
| Host Species | Mouse |
| Construction | Hybridoma Monoclonal Antibody |
| Appearance | Liquid |
| Formulation | Liquid in PBS containing 50% glycerol, 0.5% BSA and 0.02% sodium azide. |
| Conjucates | Unconjugated |
| Immunogen | A synthesized peptide |
| Uniprot ID |
| Molecular Weight | Theoretical: 11 kDa. |
| Stability & Storage | Store at -20°C or -80°C for 12 months. Avoid repeated freeze-thaw cycles. |
| Transport | Shipping with blue ice. |
| Size | Quantity | Unit Price | Amount | Operation |
|---|

Copyright © 2015-2026 TargetMol Chemicals Inc. All Rights Reserved.