Shopping Cart
Remove All
Your shopping cart is currently empty
Synonyms: Protein Fig-1, Protein Fig1, OXLA, LAO, L-amino-acid oxidase, LAAO, Interleukin four induced 1, Interleukin 4 induced protein 1, Interleukin 4 induced 1, IL4-induced protein 1, IL4I1, IL-4 induced protein 1, IL4 induced protein 1, hFIG1, hFIG 1, Fig1 protein, FIG1, Fig 1 protein, FIG 1
| Pack Size | Price | USA Stock | Global Stock | Quantity |
|---|---|---|---|---|
| 50 μL | $221 | 7-10 days | 7-10 days | |
| 100 μL | $372 | 7-10 days | 7-10 days | |
| 200 μL | $529 | 7-10 days | 7-10 days |
| Description | Anti-IL-4I1 Polyclonal Antibody is a Rabbit antibody targeting IL-4I1. Anti-IL-4I1 Polyclonal Antibody can be used in IF, IHC-Fr, IHC-P. |
| Synonyms | Protein Fig-1, Protein Fig1, OXLA, LAO, L-amino-acid oxidase, LAAO, Interleukin four induced 1, Interleukin 4 induced protein 1, Interleukin 4 induced 1, IL4-induced protein 1, IL4I1, IL-4 induced protein 1, IL4 induced protein 1, hFIG1, hFIG 1, Fig1 protein, FIG1, Fig 1 protein, FIG 1 |
| Ig Type | IgG |
| Reactivity | Rat (predicted:Human,Mouse,Dog,Pig,Sheep) |
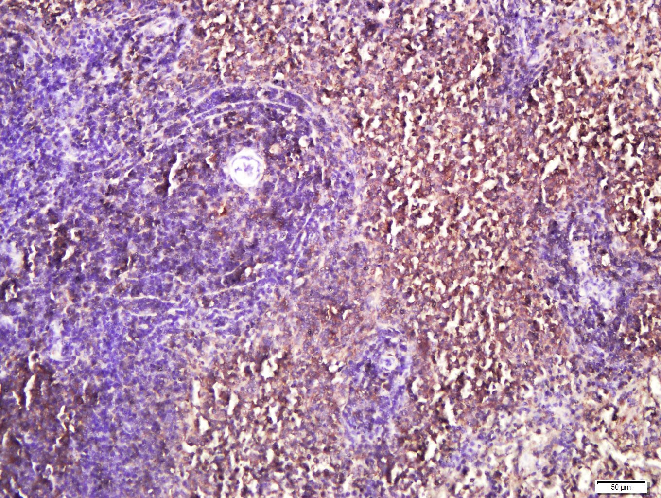
| Verified Activity | Paraformaldehyde-fixed, paraffin embedded (rat spleen); Antigen retrieval by boiling in sodium citrate buffer (pH6.0) for 15 min; Block endogenous peroxidase by 3% hydrogen peroxide for 20 min; Blocking buffer (normal goat serum) at 37°C for 30 min; Antibody incubation with (IL-4I1) Polyclonal Antibody, Unconjugated (TMAB-00962) at 1:400 overnight at 4°C, followed by a conjugated secondary for 20 min and DAB staining. |
| Application | |
| Recommended Dose | IHC-P: 1:100-500; IHC-Fr: 1:100-500; IF: 1:100-500 |
| Antibody Type | Polyclonal |
| Host Species | Rabbit |
| Subcellular Localization | Isoform 1: Lysosome (By similarity). Isoform 2: Lysosome (By similarity). |
| Tissue Specificity | Isoform 1 is primarily found in immune tissues. |
| Construction | Polyclonal Antibody |
| Purification | Protein A purified |
| Appearance | Liquid |
| Formulation | 0.01M TBS (pH7.4) with 1% BSA, 0.02% Proclin300 and 50% Glycerol. |
| Concentration | 1 mg/mL |
| Research Background | This gene encodes a protein with limited similarity to L-amino acid oxidase which contains the conserved amino acids thought to be involved in catalysis and binding of flavin adenine dinucleotide (FAD) cofactor. The expression of this gene can be induced by interleukin 4 in B cells, however, expression of transcripts containing the first two exons of the upstream gene is found in other cell types. Multiple transcript variants encoding different isoforms have been found for this gene. [provided by RefSeq, Apr 2012]. |
| Immunogen | KLH conjugated synthetic peptide: human IL-4I1 |
| Antigen Species | Human |
| Gene Name | IL4I1 |
| Gene ID | |
| Protein Name | L-amino-acid oxidase |
| Uniprot ID | |
| Biology Area | Associated Proteins |
| Function | Lysosomal L-amino-acid oxidase with highest specific activity with phenylalanine. May play a role in lysosomal antigen processing and presentation (By similarity). |
| Molecular Weight | Theoretical: 61 kDa. |
| Stability & Storage | Store at -20°C or -80°C for 12 months. Avoid repeated freeze-thaw cycles. |
| Transport | Shipping with blue ice. |
| Size | Quantity | Unit Price | Amount | Operation |
|---|

Copyright © 2015-2026 TargetMol Chemicals Inc. All Rights Reserved.