Shopping Cart
Remove All
Your shopping cart is currently empty
Anti-IL-1R1 Polyclonal Antibody is a Rabbit antibody targeting IL-1R1. Anti-IL-1R1 Polyclonal Antibody can be used in FCM, ICC/IF, IF, IHC-Fr, IHC-P, WB.
| Pack Size | Price | USA Stock | Global Stock | Quantity |
|---|---|---|---|---|
| 50 μL | $221 | 7-10 days | 7-10 days | |
| 100 μL | $373 | 7-10 days | 7-10 days | |
| 200 μL | $528 | 7-10 days | 7-10 days |
| Description | Anti-IL-1R1 Polyclonal Antibody is a Rabbit antibody targeting IL-1R1. Anti-IL-1R1 Polyclonal Antibody can be used in FCM, ICC/IF, IF, IHC-Fr, IHC-P, WB. |
| Synonyms | interleukin 1 receptor, type I |
| Ig Type | IgG |
| Reactivity | Human (predicted:Mouse,Dog,Pig) |
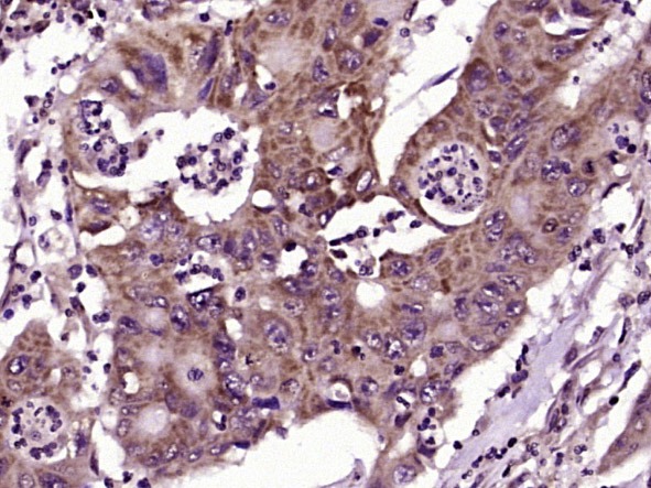
| Verified Activity | 1. Paraformaldehyde-fixed, paraffin embedded (human colon carcinoma); Antigen retrieval by boiling in sodium citrate buffer (pH6.0) for 15 min; Block endogenous peroxidase by 3% hydrogen peroxide for 20 min; Blocking buffer (normal goat serum) at 37°C for 30 min; Antibody incubation with (IL-1R1) Polyclonal Antibody, Unconjugated (TMAB-00953) at 1:400 overnight at 4°C, followed by operating according to SP Kit (Rabbit) instructionsand DAB staining. 2. HepG2 cell; 4% Paraformaldehyde-fixed; Triton X-100 at room temperature for 20 min; Blocking buffer (normal goat serum) at 37°C for 20 min; Antibody incubation with (IL-1R1) polyclonal Antibody, Unconjugated (TMAB-00953) 1:100, 90 minutes at 37°C; followed by a conjugated Goat Anti-Rabbit IgG antibody at 37°C for 90 minutes, DAPI (blue) was used to stain the cell nucleus. 3. Sample: Hela (human) Cell Lysate at 40 μg Primary: Anti-IL-1R1 (TMAB-00953) at 1/300 dilution Secondary: IRDye800CW Goat Anti-Rabbit IgG at 1/20000 dilution Predicted band size: 63 kDa Observed band size: 63 kDa 4. Blank control (blue line): MCF7 (fixed with 70% methanol overnight at 4°C). Primary Antibody (green line): Rabbit Anti-IL-1R1 receptor antibody (TMAB-00953), Dilution: 0.2 μg/10^6 cells; Isotype Control Antibody (orange line): Rabbit IgG. Secondary Antibody (white blue line): Goat anti-rabbit IgG-PE, Dilution: 1 μg/test. ![]() ![]() ![]() ![]() |
| Application | |
| Recommended Dose | FCM=1 μg/Test; ICC/IF=1:100-500; IF=1:100-500; IHC-Fr=1:100-500; IHC-P=1:100-500; WB=1:500-2000 |
| Antibody Type | Polyclonal |
| Host Species | Rabbit |
| Subcellular Localization | Membrane; Single-pass type I membrane protein. Cell membrane (Probable). Secreted. |
| Construction | Polyclonal Antibody |
| Purification | Protein A purified |
| Appearance | Liquid |
| Formulation | 0.01M TBS (pH7.4) with 1% BSA, 0.02% Proclin300 and 50% Glycerol. |
| Concentration | 1 mg/mL |
| Research Background | The protein encoded by this gene is a cytokine receptor that belongs to the interleukin 1 receptor family. This protein is a receptor for interleukin alpha (IL1A), interleukin beta (IL1B), and interleukin 1 receptor, type I(IL1R1/IL1RA). It is an important mediator involved in many cytokine induced immune and inflammatory responses. This gene along with interleukin 1 receptor, type II(IL1R2), interleukin 1 receptor-like 2 (IL1RL2), and interleukin 1 receptor-like 1 (IL1RL1) form a cytokine receptor gene cluster in a region mapped to chromosome 2q12. [provided by RefSeq]. |
| Immunogen | KLH conjugated synthetic peptide: human IL-1R1 |
| Antigen Species | Human |
| Gene Name | IL1R1 |
| Gene ID | |
| Protein Name | Interleukin-1 receptor type 1 |
| Uniprot ID | |
| Biology Area | Endothelial Cell Markers,Inflammatory mediators,Interleukins,T Lymphocytic Lineage,Dendritic Cell Lineage |
| Function | Receptor for IL1A, IL1B and IL1RN. After binding to interleukin-1 associates with the corecptor IL1RAP to form the high affinity interleukin-1 receptor complex which mediates interleukin-1-dependent activation of NF-kappa-B, MAPK and other pathways. Signaling involves the recruitment of adapter molecules such as TOLLIP, MYD88, and IRAK1 or IRAK2 via the respective TIR domains of the receptor/coreceptor subunits. Binds ligands with comparable affinity and binding of antagonist IL1RN prevents association with IL1RAP to form a signaling complex. |
| Molecular Weight | Theoretical: 63 kDa. Actual: 63 kDa. |
| Stability & Storage | Store at -20°C or -80°C for 12 months. Avoid repeated freeze-thaw cycles. |
| Transport | Shipping with blue ice. |
| Size | Quantity | Unit Price | Amount | Operation |
|---|

Copyright © 2015-2026 TargetMol Chemicals Inc. All Rights Reserved.