Shopping Cart
Remove All
Your shopping cart is currently empty
Anti-IL-13 Polyclonal Antibody is a Rabbit antibody targeting IL-13. Anti-IL-13 Polyclonal Antibody can be used in IF,IHC-Fr,IHC-P.
| Pack Size | Price | USA Warehouse | Global Warehouse | Quantity |
|---|---|---|---|---|
| 50 μL | $222 | 7-10 days | 7-10 days | |
| 100 μL | $374 | 7-10 days | 7-10 days | |
| 200 μL | $528 | 7-10 days | 7-10 days |
| Description | Anti-IL-13 Polyclonal Antibody is a Rabbit antibody targeting IL-13. Anti-IL-13 Polyclonal Antibody can be used in IF,IHC-Fr,IHC-P. |
| Synonyms | interleukin 13, Il-13 |
| Ig Type | IgG |
| Reactivity | Human (predicted:Mouse,Rat,Dog,Pig,Cow,Sheep) |
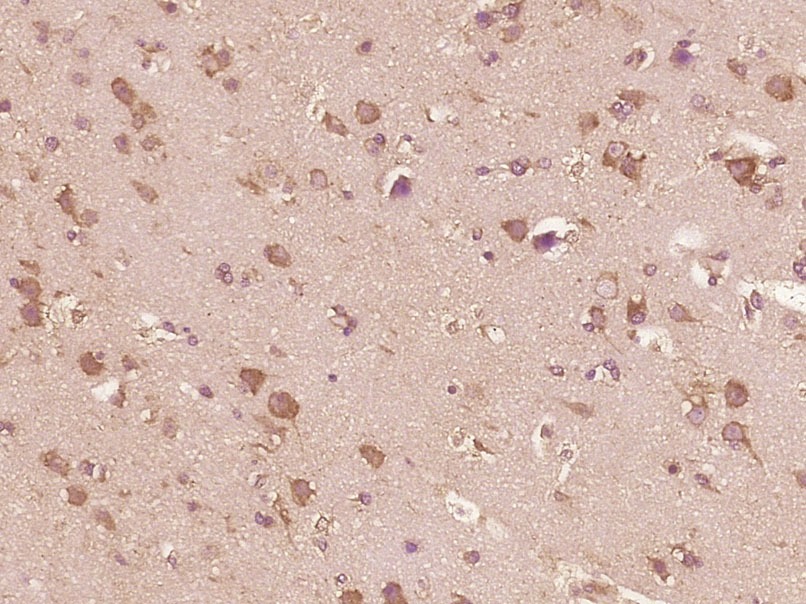
| Verified Activity | Paraformaldehyde-fixed, paraffin embedded (Human brain glioma); Antigen retrieval by boiling in sodium citrate buffer (pH6.0) for 15 min; Block endogenous peroxidase by 3% hydrogen peroxide for 20 min; Blocking buffer (normal goat serum) at 37°C for 30 min; Antibody incubation with (IL-13) Polyclonal Antibody, Unconjugated (TMAB-00943) at 1:400 overnight at 4°C, followed by operating according to SP Kit (Rabbit) instructionsand DAB staining. ![]() |
| Application | |
| Recommended Dose | IHC-P: 1:100-500; IHC-Fr: 1:100-500; IF: 1:100-500 |
| Antibody Type | Polyclonal |
| Host Species | Rabbit |
| Subcellular Localization | Secreted. |
| Construction | Polyclonal Antibody |
| Purification | Protein A purified |
| Appearance | Liquid |
| Formulation | 0.01M TBS (pH7.4) with 1% BSA, 0.02% Proclin300 and 50% Glycerol. |
| Concentration | 1 mg/mL |
| Research Background | This gene encodes an immunoregulatory cytokine produced primarily by activated Th2 cells. This cytokine is involved in several stages of B-cell maturation and differentiation. It up-regulates CD23 and MHC class II expression, and promotes IgE isotype switching of B cells. This cytokine down-regulates macrophage activity, thereby inhibits the production of pro-inflammatory cytokines and chemokines. This cytokine is found to be critical to the pathogenesis of allergen-induced asthma but operates through mechanisms independent of IgE and eosinophils. This gene, IL3, IL5, IL4, and CSF2 form a cytokine gene cluster on chromosome 5q, with this gene particularly close to IL4. [provided by RefSeq, Jul 2008] |
| Immunogen | KLH conjugated synthetic peptide: mouse IL-13 |
| Antigen Species | Mouse |
| Gene Name | IL13 |
| Gene ID | |
| Protein Name | Interleukin-13 |
| Uniprot ID | |
| Biology Area | Interleukins,Endothelial Cell Markers,Interleukins,Cytokines and cytokine receptors ELISA kits |
| Function | Cytokine. Inhibits inflammatory cytokine production. Synergizes with IL2 in regulating interferon-gamma synthesis. May be critical in regulating inflammatory and immune responses. |
| Molecular Weight | Theoretical: 12 kDa. |
| Stability & Storage | Store at -20°C or -80°C for 12 months. Avoid repeated freeze-thaw cycles. |
| Transport | Shipping with blue ice. |
| Size | Quantity | Unit Price | Amount | Operation |
|---|

Copyright © 2015-2026 TargetMol Chemicals Inc. All Rights Reserved.