Shopping Cart
Remove All
Your shopping cart is currently empty
Anti-IL-11 Polyclonal Antibody is a Rabbit antibody targeting IL-11. Anti-IL-11 Polyclonal Antibody can be used in IF, IHC-Fr, IHC-P, WB.
| Pack Size | Price | USA Stock | Global Stock | Quantity |
|---|---|---|---|---|
| 50 μL | $222 | 7-10 days | 7-10 days | |
| 100 μL | $372 | 7-10 days | 7-10 days | |
| 200 μL | $527 | 7-10 days | 7-10 days |
| Description | Anti-IL-11 Polyclonal Antibody is a Rabbit antibody targeting IL-11. Anti-IL-11 Polyclonal Antibody can be used in IF, IHC-Fr, IHC-P, WB. |
| Synonyms | interleukin 11 |
| Ig Type | IgG |
| Reactivity | Mouse,Rat (predicted:Human,Dog,Pig,Cow,GuineaPig) |
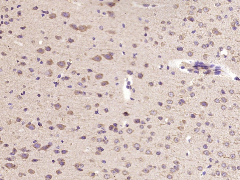
| Verified Activity | 1. Sample: Testis (Mouse) Lysate at 30 μg Primary: Anti-IL-11 (TMAB-00940) at 1/300 dilution Secondary: IRDye800CW Goat Anti-Mouse IgG at 1/10000 dilution Predicted band size: 19 kDa Observed band size: 19 kDa 2. Paraformaldehyde-fixed, paraffin embedded (Rat brain); Antigen retrieval by microwave in sodium citrate buffer (pH6.0); Block endogenous peroxidase by 3% hydrogen peroxide for 30 minutes; Blocking buffer (3% BSA) at RT for 30 min; Antibody incubation with (IL-11) Polyclonal Antibody, Unconjugated (TMAB-00940) at 1:400 overnight at 4°C, followed by conjugation to the secondary antibody (labeled with HRP) and DAB staining. 3. Paraformaldehyde-fixed, paraffin embedded (Mouse brain); Antigen retrieval by microwave in sodium citrate buffer (pH6.0); Block endogenous peroxidase by 3% hydrogen peroxide for 30 minutes; Blocking buffer (3% BSA) at RT for 30 min; Antibody incubation with (IL-11) Polyclonal Antibody, Unconjugated (TMAB-00940) at 1:400 overnight at 4°C, followed by conjugation to the secondary antibody (labeled with HRP) and DAB staining. 4. Sample: Lane 1: Mouse Kidney tissue lysates Lane 2: Rat Kidney tissue lysates Primary: Anti-IL-11 (TMAB-00940) at 1/500 dilution Secondary: IRDye800CW Goat Anti-Rabbit IgG at 1/20000 dilution Predicted band size: 19 kDa Observed band size: 19 kDa ![]() ![]() ![]() ![]() |
| Application | |
| Recommended Dose | WB: 1:500-2000; IHC-P: 1:100-500; IHC-Fr: 1:100-500; IF: 1:100-500 |
| Antibody Type | Polyclonal |
| Host Species | Rabbit |
| Subcellular Localization | Secreted. |
| Construction | Polyclonal Antibody |
| Purification | Protein A purified |
| Appearance | Liquid |
| Formulation | 0.01M TBS (pH7.4) with 1% BSA, 0.02% Proclin300 and 50% Glycerol. |
| Concentration | 1 mg/mL |
| Research Background | Interleukin 11 is a pleiotropic cytokine produced by mesenchymal-derived adherent cells. IL11 shares many functions of IL6 and LIF, including potentiation of megakaryocyte activity, enhancement of human myeloma cell proliferation, and enhancement of hepatic acute phase protein production. Interleukin 11 directly stimulates the proliferation of hematopoietic stem cells and megakaryocyte progenitor cells, and induces megakaryocyte maturation resulting in increased platelet production. Clinically it is used to prevent severe thrombocytopenia and the reduction of the need for platelet transfusion following myelosuppressive chemotherapy. |
| Immunogen | KLH conjugated synthetic peptide: human IL-11 |
| Antigen Species | Human |
| Gene Name | IL11 |
| Gene ID | |
| Protein Name | Interleukin-11 |
| Uniprot ID | |
| Biology Area | Interleukins,Interleukin,Non-CD,Interleukins,Other secreted molecules,Thrombocytic Lineage |
| Function | Directly stimulates the proliferation of hematopoietic stem cells and megakaryocyte progenitor cells and induces megakaryocyte maturation resulting in increased platelet production. |
| Molecular Weight | Theoretical: 19 kDa. Actual: 19 kDa. |
| Stability & Storage | Store at -20°C or -80°C for 12 months. Avoid repeated freeze-thaw cycles. |
| Transport | Shipping with blue ice. |
| Size | Quantity | Unit Price | Amount | Operation |
|---|

Copyright © 2015-2026 TargetMol Chemicals Inc. All Rights Reserved.