Shopping Cart
Remove All
Your shopping cart is currently empty
Anti-IL-10 Polyclonal Antibody is a Rabbit antibody targeting IL-10. Anti-IL-10 Polyclonal Antibody can be used in IF,IHC-Fr,IHC-P,WB.
| Pack Size | Price | USA Warehouse | Global Warehouse | Quantity |
|---|---|---|---|---|
| 50 μL | $221 | 7-10 days | 7-10 days | |
| 100 μL | $372 | 7-10 days | 7-10 days | |
| 200 μL | $528 | 7-10 days | 7-10 days |
| Description | Anti-IL-10 Polyclonal Antibody is a Rabbit antibody targeting IL-10. Anti-IL-10 Polyclonal Antibody can be used in IF,IHC-Fr,IHC-P,WB. |
| Synonyms | interleukin 10, Il-10, CSIF |
| Ig Type | IgG |
| Reactivity | Human,Mouse (predicted:Rat,Chicken,Pig,Rabbit,Sheep,GuineaPig) |
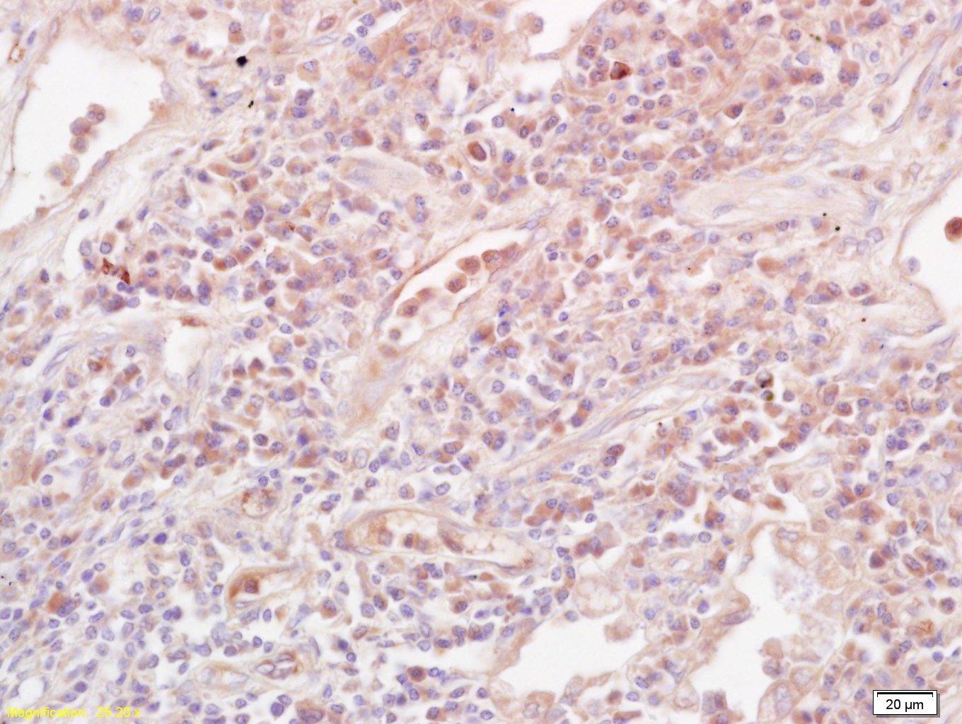
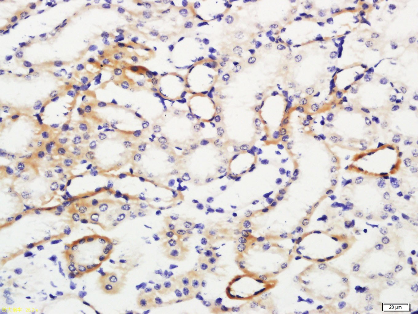
| Verified Activity | 1. Tissue/cell: mouse kidney tissue; 4% Paraformaldehyde-fixed and paraffin-embedded; Antigen retrieval: citrate buffer (0.01M, pH6.0), Boiling bathing for 15 min; Block endogenous peroxidase by 3% Hydrogen peroxide for 30 min; Blocking buffer (normal goat serum) at 37°C for 20 min; Incubation: Anti-IL-10 Polyclonal Antibody, Unconjugated (TMAB-00936) 1:200, overnight at 4°C, followed by conjugation to the secondary antibody and DAb staining. 2. Paraformaldehyde-fixed, paraffin embedded (Human lung cancer); Antigen retrieval by boiling in sodium citrate buffer (pH6.0) for 15 min; Block endogenous peroxidase by 3% hydrogen peroxide for 20 min; Blocking buffer (normal goat serum) at 37°C for 30 min; Antibody incubation with (IL-10) Polyclonal Antibody, Unconjugated (TMAB-00936) at 1:200 overnight at 4°C, followed by a conjugated secondary for 20 min and DAb staining. 3. Sample: Lane 1: Recombinant human IL-10 protein, His (HEK293) Primary: Anti-IL-10 (TMAB-00936) at 1/1000 dilution Secondary: IRDye800CW Goat Anti-Rabbit IgG at 1/20000 dilution Predicted band size: 18 kDa Observed band size: 21 kDa ![]() ![]() ![]() |
| Application | |
| Recommended Dose | WB: 1:500-2000; IHC-P: 1:100-500; IHC-Fr: 1:100-500; IF: 1:100-500 |
| Antibody Type | Polyclonal |
| Host Species | Rabbit |
| Subcellular Localization | Secreted. |
| Tissue Specificity | Produced by a variety of cell lines, including T-cells, macrophages, mast cells and other cell types. |
| Construction | Polyclonal Antibody |
| Purification | Protein A purified |
| Appearance | Liquid |
| Formulation | 0.01M TBS (pH7.4) with 1% BSA, 0.02% Proclin300 and 50% Glycerol. |
| Concentration | 1 mg/mL |
| Research Background | The protein encoded by this gene is a cytokine produced primarily by monocytes and to a lesser extent by lymphocytes. This cytokine has pleiotropic effects in immunoregulation and inflammation. It down-regulates the expression of Th1 cytokines, MHC class II Ags, and costimulatory molecules on macrophages. It also enhances B cell survival, proliferation, and antibody production. This cytokine can block NF-kappa B activity, and is involved in the regulation of the JAK-STAT signaling pathway. Knockout studies in mice suggested the function of this cytokine as an essential immunoregulator in the intestinal tract. Mutations in this gene are associated with an increased susceptibility to HIV-1 infection and rheumatoid arthritis. [provided by RefSeq, May 2020] |
| Immunogen | KLH conjugated synthetic peptide: human IL-10 |
| Antigen Species | Human |
| Gene Name | IL10 |
| Gene ID | |
| Protein Name | Interleukin-10 |
| Uniprot ID | |
| Biology Area | Interleukins,Regulatory T Cells,Interleukins |
| Function | IL-10 protein is a cytokine produced primarily by monocytes and to a lesser extent by lymphocytes. This cytokine has pleiotropic effects in immunoregulation and inflammation. It down-regulates the expression of Th1 cytokines, MHC class II Ags, and costimulatory molecules on macrophages. It also enhances B cell survival, proliferation, and antibody production. This cytokine can block NF-kappa B activity, and is involved in the regulation of the JAK-STAT signaling pathway. Knockout studies in mice suggested the function of this cytokine as an essential immunoregulator in the intestinal tract. |
| Molecular Weight | Theoretical: 18 kDa. Actual: 21 kDa. |
| Stability & Storage | Store at -20°C or -80°C for 12 months. Avoid repeated freeze-thaw cycles. |
| Transport | Shipping with blue ice. |
| Size | Quantity | Unit Price | Amount | Operation |
|---|

Copyright © 2015-2026 TargetMol Chemicals Inc. All Rights Reserved.