Shopping Cart
Remove All
Your shopping cart is currently empty
Synonyms: Serine/threonine protein kinase IKBKB, Nuclear factor NF-kappa-B inhibitor kinase beta (NFKBIKB), Inhibitor of nuclear factor kappa-B kinase subunit beta, IKK-beta, IKK-B, IKKB, IkBKB, I-kappa-B-kinase beta, I-kappa-B kinase 2 (IKK-2;IKK2)
| Pack Size | Price | USA Stock | Global Stock | Quantity |
|---|---|---|---|---|
| 50 μL | $220 | 7-10 days | 7-10 days | |
| 100 μL | $372 | 7-10 days | 7-10 days | |
| 200 μL | $528 | 7-10 days | 7-10 days |
| Description | Anti-IKBKB Polyclonal Antibody is a Rabbit antibody targeting IKBKB. Anti-IKBKB Polyclonal Antibody can be used in ICC/IF, IF, IHC-Fr, IHC-P, WB. |
| Synonyms | Serine/threonine protein kinase IKBKB, Nuclear factor NF-kappa-B inhibitor kinase beta (NFKBIKB), Inhibitor of nuclear factor kappa-B kinase subunit beta, IKK-beta, IKK-B, IKKB, IkBKB, I-kappa-B-kinase beta, I-kappa-B kinase 2 (IKK-2;IKK2) |
| Ig Type | IgG |
| Reactivity | Human,Mouse,Rat |
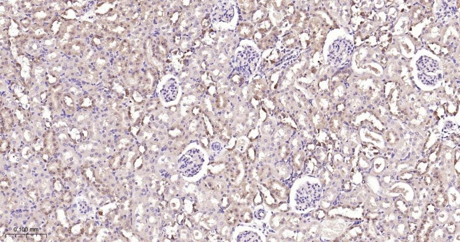
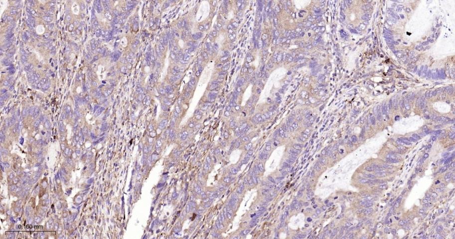
| Verified Activity | 1. 25 μg total protein per Lane of various lysates probed with IKK beta polyclonal antibody, unconjugated (TMAB-00930) at 1:1000 dilution and 4°C overnight incubation. Followed by conjugated secondary antibody incubation at RT for 60 min. 2. Paraformaldehyde-fixed, paraffin embedded Rat Kidney; Antigen retrieval by boiling in sodium citrate buffer (pH6.0) for 15 min; The section was incubated with IKK beta Polyclonal Antibody, Unconjugated (TMAB-00930) at 1:200 overnight at 4°C, followed by conjugation to the secondary antibody and DAB staining. 3. Paraformaldehyde-fixed, paraffin embedded Human Colon Cancer; Antigen retrieval by boiling in sodium citrate buffer (pH6.0) for 15 min; The section was incubated with IKK beta Polyclonal Antibody, Unconjugated (TMAB-00930) at 1:200 overnight at 4°C, followed by conjugation to the secondary antibody and DAB staining. |
| Application | |
| Recommended Dose | ICC/IF=1:100-500; IF=1:100-500; IHC-Fr=1:100-500; IHC-P=1:100-500; WB=1:500-2000 |
| Antibody Type | Polyclonal |
| Host Species | Rabbit |
| Subcellular Localization | Cytoplasm. Nucleus. Membrane raft. Note=Colocalized with DPP4 in membrane rafts. |
| Tissue Specificity | Highly expressed in heart, placenta, skeletal muscle, kidney, pancreas, spleen, thymus, prostate, testis and peripheral blood. |
| Construction | Polyclonal Antibody |
| Purification | Protein A purified |
| Appearance | Liquid |
| Formulation | 0.01M TBS (pH7.4) with 1% BSA, 0.02% Proclin300 and 50% Glycerol. |
| Concentration | 1 mg/mL |
| Research Background | IKK beta (I-Kappa-B kinase-beta) is a member of the IKK complex which is composed of IKK alpha, IKK beta, IKK gamma and IKAP. Phosphorylation of I-Kappa-B on a serine residue by the IKK complex frees NF-kB from I-Kappa-B and marks it for degradation via ubiquination. IKK beta has been shown to activate NF-kB and phosphorylate IKB alpha and beta. Phosphorylation of 2 sites at the activation loop of IKK beta is essential for activation of IKK by TNF and IL1. Once activated, IKK beta autophosphorylates which in turn decreases IKK activity and prevents prolonged activation of the inflammatory response. Additionally, IKK beta activity can also be regulated by MEKK1. |
| Immunogen | KLH conjugated synthetic peptide: human IKK beta |
| Antigen Species | Human |
| Gene Name | IKBKB |
| Gene ID | |
| Protein Name | Inhibitor of nuclear factor kappa-B kinase subunit beta |
| Uniprot ID | |
| Biology Area | IKK,Inflammatory mediators,IKK,TLR Signaling,Other Kinases,NFkB Pathway |
| Function | Serine kinase that plays an essential role in the NF-kappa-B signaling pathway which is activated by multiple stimuli such as inflammatory cytokines, bacterial or viral products, DNA damages or other cellular stresses. Acts as part of the canonical IKK complex in the conventional pathway of NF-kappa-B activation and phosphorylates inhibitors of NF-kappa-B on 2 critical serine residues. These modifications allow polyubiquitination of the inhibitors and subsequent degradation by the proteasome. In turn, free NF-kappa-B is translocated into the nucleus and activates the transcription of hundreds of genes involved in immune response, growth control, or protection against apoptosis. In addition to the NF-kappa-B inhibitors, phosphorylates several other components of the signaling pathway including NEMO/IKBKG, NF-kappa-B subunits RELA and NFKB1, as well as IKK-related kinases TBK1 and IKBKE. IKK-related kinase phosphorylations may prevent the overproduction of inflammatory mediators since they exert a negative regulation on canonical IKKs. Also phosphorylates other substrates including NCOA3, BCL10 and IRS1. Within the nucleus, acts as an adapter protein for NFKBIA degradation in UV-induced NF-kappa-B activation. |
| Molecular Weight | Theoretical: 87 kDa. Actual: 85 kDa. |
| Stability & Storage | Store at -20°C or -80°C for 12 months. Avoid repeated freeze-thaw cycles. |
| Transport | Shipping with blue ice. |
| Size | Quantity | Unit Price | Amount | Operation |
|---|

Copyright © 2015-2026 TargetMol Chemicals Inc. All Rights Reserved.