Shopping Cart
Remove All
Your shopping cart is currently empty
Synonyms: TRIP-9, TRIP9, TR-interacting protein 9, TR interacting protein 9, Thyroid receptor-interacting protein 9, Thyroid receptor interacting protein 9, Nfkbib, NF-kappa-BIB, NF-kappa-B inhibitor beta, NF kappa BIB, IkB-beta, IkBbeta, IKBB_HUMAN, IkB-B, IKBB, IKB beta, IkappaB-β, IkappaBβ, I-kappa-B-beta, IkappaBbeta, IkappaB-b, IkappaBb, I kappa B beta
| Pack Size | Price | USA Stock | Global Stock | Quantity |
|---|---|---|---|---|
| 50 μL | $298 | 7-10 days | 7-10 days | |
| 100 μL | $496 | 7-10 days | 7-10 days |
| Description | Anti-IkappaB- beta Antibody (5Y651) is a Rabbit antibody targeting IkappaB- beta. Anti-IkappaB- beta Antibody (5Y651) can be used in ICC,IHC,IP,WB. |
| Synonyms | TRIP-9, TRIP9, TR-interacting protein 9, TR interacting protein 9, Thyroid receptor-interacting protein 9, Thyroid receptor interacting protein 9, Nfkbib, NF-kappa-BIB, NF-kappa-B inhibitor beta, NF kappa BIB, IkB-beta, IkBbeta, IKBB_HUMAN, IkB-B, IKBB, IKB beta, IkappaB-β, IkappaBβ, I-kappa-B-beta, IkappaBbeta, IkappaB-b, IkappaBb, I kappa B beta |
| Ig Type | IgG |
| Clone | 5Y651 |
| Reactivity | Human |
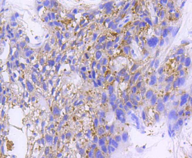
| Verified Activity | 1. Western blot analysis of IKB beta on different lysates using anti-IKB beta antibody at 1/1,000 dilution. Positive control: Lane 1: Jurkat, Lane 2: Hela, Lane 3: THP-1. 2. Immunohistochemical analysis of paraffin-embedded human breast carcinoma tissue using anti-IKB beta antibody. Counter stained with hematoxylin. 3. ICC staining IKB beta in A549 cells (green). The nuclear counter stain is DAPI (blue). Cells were fixed in paraformaldehyde, permeabilised with 0.25% Triton X100/PBS. 4. ICC staining IKB beta in MCF-7 cells (green). The nuclear counter stain is DAPI (blue). Cells were fixed in paraformaldehyde, permeabilised with 0.25% Triton X100/PBS. |
| Application | |
| Recommended Dose | WB: 1:1000; IHC: 1:50-200; ICC: 1:50-200 |
| Antibody Type | Monoclonal |
| Host Species | Rabbit |
| Construction | Recombinant Antibody |
| Purification | ProA affinity purified |
| Appearance | Liquid |
| Formulation | 1*TBS (pH7.4), 1%BSA, 40%Glycerol. Preservative: 0.05% Sodium Azide. |
| Research Background | On the basis of both functional and structural considerations, members of the IkB family of proteins can be divided into four groups. The first of these groups, IkB-α, includes the avian protein pp40 and the mammalian MAD-3, both of which inhibit binding of p50-p65 NFkB complex or Rel protein to their cognate binding sites but do not inhibit the binding of p50 homodimer to kB sites, suggesting that the IkB-α family binds to the p65 subunit of p50-p65 heterocomplex through ankyrin repeats. The second member of the IkB family is represented by a protein designated IkB-β. The third group of IkB proteins is represented by IkB-ε, which is identical in sequence with the C-terminal domain of the p110 precursor of NFkB p50 and is expressed predominantly in lymphoid cells. An additional IkB family member, IkB-??, has several phosphorylated forms and is primarily found complexed with Rel A and/or c-Rel. |
| Conjucates | Unconjugated |
| Immunogen | Recombinant Protein |
| Uniprot ID |
| Molecular Weight | Theoretical: 48 kDa. |
| Stability & Storage | Store at -20°C or -80°C for 12 months. Avoid repeated freeze-thaw cycles. |
| Transport | Shipping with blue ice. |
| Size | Quantity | Unit Price | Amount | Operation |
|---|

Copyright © 2015-2026 TargetMol Chemicals Inc. All Rights Reserved.