Shopping Cart
Remove All
Your shopping cart is currently empty
Anti-IgA Antibody (7U718) is a Rabbit antibody targeting IgA. Anti-IgA Antibody (7U718) can be used in ICC/IF,IHC,IP,WB.
| Pack Size | Price | USA Warehouse | Global Warehouse | Quantity |
|---|---|---|---|---|
| 50 μL | $297 | 7-10 days | 7-10 days | |
| 100 μL | $497 | 7-10 days | 7-10 days |
| Description | Anti-IgA Antibody (7U718) is a Rabbit antibody targeting IgA. Anti-IgA Antibody (7U718) can be used in ICC/IF,IHC,IP,WB. |
| Synonyms | polymeric immunoglobulin receptor Secretory component, polymeric immunoglobulin receptor, Poly-Ig receptor, PIgR, Immunoglobulin heavy constant alpha 2 A2m marker, Immunoglobulin heavy constant alpha 2, Immunoglobulin heavy constant alpha 1, IGHA2, IGHA1, IGHA, Ig alpha 2 chain C region, Ig alpha 1 chain C region, Hepatocellular carcinoma-associated protein TB6 |
| Ig Type | IgG |
| Clone | 7U718 |
| Reactivity | Human |
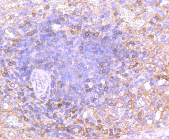
| Verified Activity | 1. Western blot analysis of IgA on human plasma lysates using anti-IgA antibody at 1/1,000 dilution. 2. Immunohistochemical analysis of paraffin-embedded human tonsil tissue using anti-IgA antibody. Counter stained with hematoxylin. 3. Immunohistochemical analysis of paraffin-embedded human spleen tissue using anti-IgA antibody. Counter stained with hematoxylin. 4. ICC staining IgA in HepG2 cells (red). The nuclear counter stain is DAPI (blue). Cells were fixed in paraformaldehyde, permeabilised with 0.25% Triton X100/PBS. ![]() ![]() ![]() ![]() |
| Application | |
| Recommended Dose | WB: 1:1000; IHC: 1:50-200; ICC/IF: 1:50-200; IP: 1:50-100 |
| Antibody Type | Monoclonal |
| Host Species | Rabbit |
| Construction | Recombinant Antibody |
| Purification | ProA affinity purified |
| Appearance | Liquid |
| Formulation | 1*TBS (pH7.4), 1%BSA, 40%Glycerol. Preservative: 0.05% Sodium Azide. |
| Research Background | Immunoglobulins are four-chain, Y-shaped, monomeric structures comprised of two identical heavy chains and two identical light chains held together through interchain disulfide bonds. The chains form two domains, the Fab (antigen binding) fragment and the Fc (constant) fragment. Immunoglobulin A (IgA) is the main protein of the mucosal immune system. It is generated by B cells in gut-associated lymphoid tissues. Daily production of IgA exceeds that of any of the other immunoglobulins. The IgA heavy chain is an α-chain, and the light chains are either κ- or λ- chains. IgA exists mainly in dimers but can also exist as polymers or as monomers. Dimers and polymers contain a joining (J) chain that can be bound by the polymeric immunoglobulin receptor (pIgR) for transportation of the molecule to mucosal surfaces. |
| Conjucates | Unconjugated |
| Immunogen | Recombinant Protein |
| Uniprot ID |
| Molecular Weight | Theoretical: 60 kDa. |
| Stability & Storage | Store at -20°C or -80°C for 12 months. Avoid repeated freeze-thaw cycles. |
| Transport | Shipping with blue ice. |
| Size | Quantity | Unit Price | Amount | Operation |
|---|

Copyright © 2015-2026 TargetMol Chemicals Inc. All Rights Reserved.