Shopping Cart
Remove All
Your shopping cart is currently empty
Anti-Ig lambda constant 2 Antibody (9U628) is a Mouse antibody targeting Ig lambda constant 2. Anti-Ig lambda constant 2 Antibody (9U628) can be used in IHC,WB.
| Pack Size | Price | USA Warehouse | Global Warehouse | Quantity |
|---|---|---|---|---|
| 50 μL | $296 | 7-10 days | 7-10 days | |
| 100 μL | $428 | 7-10 days | 7-10 days |
| Description | Anti-Ig lambda constant 2 Antibody (9U628) is a Mouse antibody targeting Ig lambda constant 2. Anti-Ig lambda constant 2 Antibody (9U628) can be used in IHC,WB. |
| Synonyms | MGC45681, MGC20392, immunoglobulin λ constant 2 (Kern-Oz- marker), immunoglobulin lambda constant 2 (Kern-Oz- marker), IGLC2, IGLC, Ig λ constant 2 Protein, Human, Recombinant (His), Ig λ C Domain, Ig Lambda C Domain |
| Clone | 9U628 |
| Reactivity | Human |
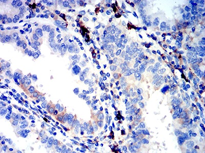
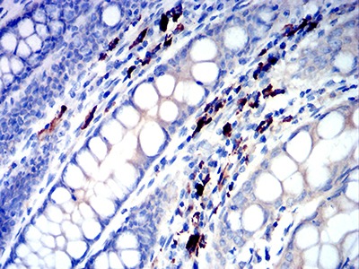
| Verified Activity | 1. Western blot analysis of IGLC2 on human IGLC2 recombinant protein using anti-IGLC2 antibody at 1/1,000 dilution. 2. Western blot analysis of IGLC2 on HEK293 (1) and IGLC2-hIgGFc transfected HEK293 (2) cell lysate using anti-IGLC2 antibody at 1/1,000 dilution. 3. Immunohistochemical analysis of paraffin-embedded human colon tissues using anti-IGLC2 antibody. Counter stained with hematoxylin. 4. Immunohistochemical analysis of paraffin-embedded human endometrial cancer tissue using anti-IGLC2 antibody. Counter stained with hematoxylin. ![]() ![]() ![]() ![]() |
| Application | |
| Recommended Dose | WB: 1:500; IHC: 1:50-200 |
| Antibody Type | Monoclonal |
| Host Species | Mouse |
| Construction | Hybridoma Monoclonal Antibody |
| Purification | ProA affinity purified |
| Appearance | Liquid |
| Formulation | 1*TBS (pH7.4), 1%BSA, 40%Glycerol. Preservative: 0.05% Sodium Azide. |
| Research Background | Constant region of immunoglobulin heavy chains. Immunoglobulins, also known as antibodies, are membrane-bound or secreted glycoproteins produced by B lymphocytes. In the recognition phase of humoral immunity, the membrane-bound immunoglobulins serve as receptors which, upon binding of a specific antigen, trigger the clonal expansion and differentiation of B lymphocytes into immunoglobulins-secreting plasma cells. Secreted immunoglobulins mediate the effector phase of humoral immunity, which results in the elimination of bound antigens . The antigen binding site is formed by the variable domain of one heavy chain, together with that of its associated light chain. Thus, each immunoglobulin has two antigen binding sites with remarkable affinity for a particular antigen. The variable domains are assembled by a process called V-(D)-J rearrangement and can then be subjected to somatic hypermutations which, after exposure to antigen and selection, allow affinity maturation for a particular antigen . |
| Conjucates | Unconjugated |
| Immunogen | Recombinant Protein |
| Uniprot ID |
| Molecular Weight | Theoretical: 11 kDa. |
| Stability & Storage | Store at -20°C or -80°C for 12 months. Avoid repeated freeze-thaw cycles. |
| Transport | Shipping with blue ice. |
| Size | Quantity | Unit Price | Amount | Operation |
|---|

Copyright © 2015-2026 TargetMol Chemicals Inc. All Rights Reserved.