Shopping Cart
Remove All
Your shopping cart is currently empty
Anti-IFN gamma Antibody (1T875) is a Rabbit antibody targeting IFN gamma. Anti-IFN gamma Antibody (1T875) can be used in FCM,ICC/IF,WB.
| Pack Size | Price | USA Warehouse | Global Warehouse | Quantity |
|---|---|---|---|---|
| 50 μL | $298 | 7-10 days | 7-10 days | |
| 100 μL | $497 | 7-10 days | 7-10 days |
| Description | Anti-IFN gamma Antibody (1T875) is a Rabbit antibody targeting IFN gamma. Anti-IFN gamma Antibody (1T875) can be used in FCM,ICC/IF,WB. |
| Synonyms | interferon, gamma |
| Ig Type | IgG |
| Clone | 1T875 |
| Reactivity | Human,Mouse,Rat |
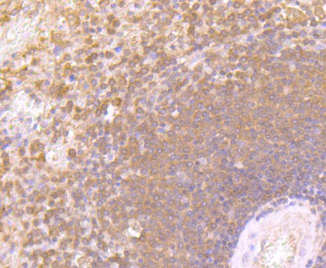
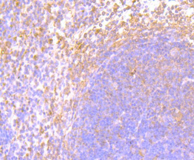
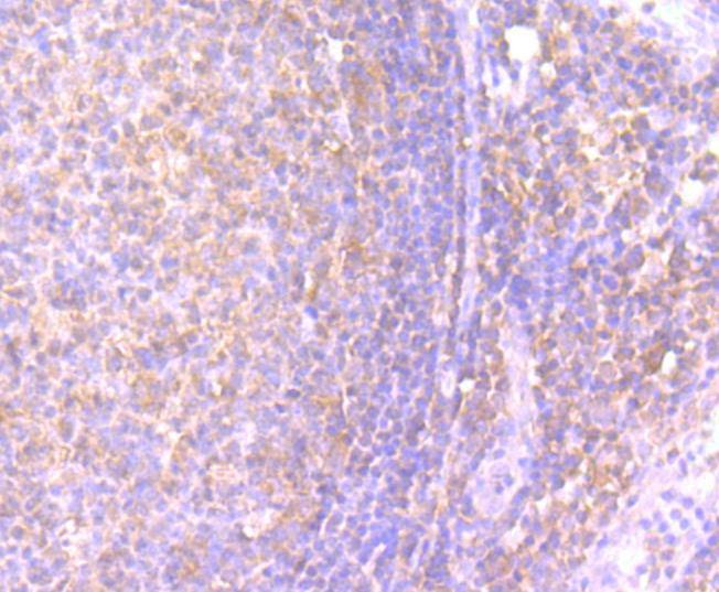
| Verified Activity | 1. Immunohistochemical analysis of paraffin-embedded human tonsil tissue using anti-Interferon gamma antibody. Counter stained with hematoxylin. 2. Immunohistochemical analysis of paraffin-embedded human spleen tissue using anti-Interferon gamma antibody. Counter stained with hematoxylin. 3. Immunohistochemical analysis of paraffin-embedded mouse spleen tissue using anti-Interferon gamma antibody. Counter stained with hematoxylin. 4. Flow cytometric analysis of Hela cells with Interferon gamma antibody at 1/50 dilution (red) compared with an unlabelled control (cells without incubation with primary antibody; black). Alexa Fluor 488-conjugated goat anti rabbit IgG was used as the secondary antibody. ![]() ![]() ![]() ![]() |
| Application | |
| Recommended Dose | WB: 1:500-1000; IHC: 1:50-100; FCM: 1:50-100 |
| Antibody Type | Monoclonal |
| Host Species | Rabbit |
| Construction | Recombinant Antibody |
| Purification | ProA affinity purified |
| Appearance | Liquid |
| Formulation | 1*TBS (pH7.4), 1%BSA, 40%Glycerol. Preservative: 0.05% Sodium Azide. |
| Research Background | Interferon (IFN)-γ is an antiviral and antiparasitic agent produced by CD4+/CD8+ lymphocytes and natural killer cells that undergo activation by antigens, mitogens or alloantigens. IFN-γ production modulates T cell growth and differentiation and inhibits the growth of B cells. Synthesis of IFN-γ is inducible by IL-2, FGF and EGF. The active form of IFN-γ is a homodimer with each subunit containing six helices. The dimeric structure of human IFN-γ is stabilized by non-covalent interactions through the interface of the helices. IFN-γ translated precursor is 166 amino acids, including the 23 amino acid secretory sequence. Multiple forms exist due to variable glycosylation and under non-denaturing conditions due to dimers and tetramers. |
| Conjucates | Unconjugated |
| Immunogen | Recombinant Protein |
| Uniprot ID |
| Molecular Weight | Theoretical: 19 kDa. |
| Color | Transparent |
| Appearance | Liquid |
| Stability & Storage | Store at -20°C or -80°C for 12 months. Avoid repeated freeze-thaw cycles. |
| Transport | Shipping with blue ice. |
| Size | Quantity | Unit Price | Amount | Operation |
|---|

Copyright © 2015-2026 TargetMol Chemicals Inc. All Rights Reserved.