Shopping Cart
Remove All
Your shopping cart is currently empty
Anti-ICAM-1/CD54 Antibody (2M737) is a Rabbit antibody targeting ICAM-1/CD54. Anti-ICAM-1/CD54 Antibody (2M737) can be used in ICC/IF,IHC,WB.
| Pack Size | Price | USA Warehouse | Global Warehouse | Quantity |
|---|---|---|---|---|
| 50 μL | $298 | 7-10 days | 7-10 days | |
| 100 μL | $496 | 7-10 days | 7-10 days |
| Description | Anti-ICAM-1/CD54 Antibody (2M737) is a Rabbit antibody targeting ICAM-1/CD54. Anti-ICAM-1/CD54 Antibody (2M737) can be used in ICC/IF,IHC,WB. |
| Synonyms | P3.58, intercellular adhesion molecule 1, ICAM-1, CD54, BB2 |
| Ig Type | IgG |
| Clone | 2M737 |
| Reactivity | Human |
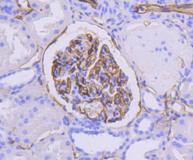
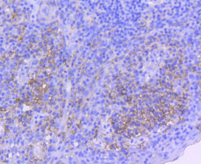
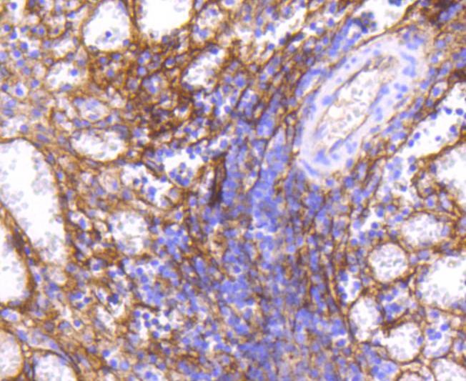
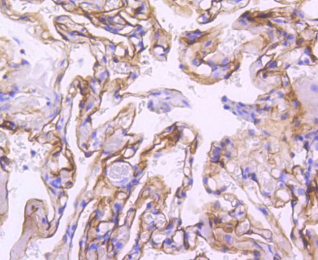
| Verified Activity | 1. Western blot analysis of ICAM1 on different lysates using anti-ICAM1 antibody at 1/1,000 dilution. Positive control: Lane 1: Hela, Lane 2: HUVEC, Lane 3: Raji. 2. Immunohistochemical analysis of paraffin-embedded human tonsil tissue using anti-ICAM1 antibody. Counter stained with hematoxylin. 3. Immunohistochemical analysis of paraffin-embedded human lung tissue using anti-ICAM1 antibody. Counter stained with hematoxylin. 4. Immunohistochemical analysis of paraffin-embedded human spleen tissue using anti-ICAM1 antibody. Counter stained with hematoxylin. 5. Immunohistochemical analysis of paraffin-embedded human kidney tissue using anti-ICAM1 antibody. Counter stained with hematoxylin. 6. ICC staining ICAM1 in A431 cells (green). The nuclear counter stain is DAPI (blue). Cells were fixed in paraformaldehyde, permeabilised with 0.25% Triton X100/PBS. 7. ICC staining ICAM1 in HUVEC cells (green). The nuclear counter stain is DAPI (blue). Cells were fixed in paraformaldehyde, permeabilised with 0.25% Triton X100/PBS. ![]() ![]() ![]() ![]() ![]() ![]() ![]() |
| Application | |
| Recommended Dose | WB: 1:1000-5000; IHC: 1:50-200; ICC/IF: 1:50-200 |
| Antibody Type | Monoclonal |
| Host Species | Rabbit |
| Construction | Recombinant Antibody |
| Purification | ProA affinity purified |
| Appearance | Liquid |
| Formulation | 1*TBS (pH7.4), 1%BSA, 40%Glycerol. Preservative: 0.05% Sodium Azide. |
| Research Background | Cell adhesion molecules (CAMs) are a family of closely related cell surface glycoproteins involved in cell-cell interactions during growth and are thought to play important, yet separate, roles in embryogenesis and development. The intracellular adhesion molecule-1 (ICAM-1), also referred to as CD54, is an integral membrane protein of the immunoglobulin superfamily and recognizes the beta2alpha1 and beta2alphaM Integrins. ICAM-2 functions as a ligand for lymphocyte function-associated antigen-1 (LFA-1) and is involved in leukocyte adhesion. ICAM-3 is highly expressed on the surface of human eosinophils and, when bound to ligand, may inhibit eosinophil inflammatory responses and survival. ICAM-4, also known as LW glycoprotein, interacts with Integrins alphaLbeta2, alphaMbeta2, alpha4beta1, the alphaV family and alphaIIbbeta3, and selective binding to different integrins may be relevant to the pathology in a number of red blood cell associated diseases. Lastly, ICAM-5, expressed on telencephalic neurons, binds CD11a/CD18 and thus may act as an adhesion molecule for leukocyte binding in the central nervous system. |
| Conjucates | Unconjugated |
| Immunogen | Recombinant Protein |
| Uniprot ID |
| Molecular Weight | Theoretical: 89 kDa. |
| Stability & Storage | Store at -20°C or -80°C for 12 months. Avoid repeated freeze-thaw cycles. |
| Transport | Shipping with blue ice. |
| Size | Quantity | Unit Price | Amount | Operation |
|---|

Copyright © 2015-2026 TargetMol Chemicals Inc. All Rights Reserved.