Shopping Cart
Remove All
Your shopping cart is currently empty
Anti-Iba1 Antibody (3E909) is a Mouse antibody targeting Iba1. Anti-Iba1 Antibody (3E909) can be used in FCM,ICC,IHC,IP,WB.
| Pack Size | Price | USA Warehouse | Global Warehouse | Quantity |
|---|---|---|---|---|
| 50 μL | $298 | 7-10 days | 7-10 days | |
| 100 μL | $428 | 7-10 days | 7-10 days |
| Description | Anti-Iba1 Antibody (3E909) is a Mouse antibody targeting Iba1. Anti-Iba1 Antibody (3E909) can be used in FCM,ICC,IHC,IP,WB. |
| Synonyms | IRT-1, IRT1, IBA1, allograft inflammatory factor 1, AIF-1 |
| Clone | 3E909 |
| Reactivity | Human,Mouse,Rat |
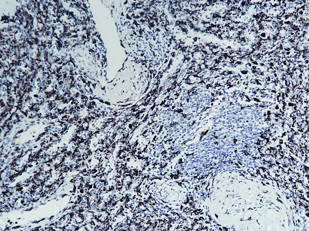
| Verified Activity | 1. Various whole cell lysates were separated by 10% SDS-PAGE, and the membrane was blotted with anti-Iba 1 antibody. 2. Human stomach tissue was stained with Anti-Iba 1 Antibody. 3. Human spleen tissue was stained with Anti-Iba 1 Antibody. ![]() ![]() ![]() |
| Application | |
| Antibody Type | Monoclonal |
| Host Species | Mouse |
| Construction | Hybridoma Monoclonal Antibody |
| Purification | ProA affinity purified |
| Appearance | Liquid |
| Formulation | 1*TBS (pH7.4), 1%BSA, 40%Glycerol. Preservative: 0.05% Sodium Azide. |
| Research Background | Ionized calcium-binding adapter molecule 1 (Iba1), also known as allograft inflammatory factor-1 (AIF-1), is a 147 amino acid cytoplasmic, calcium-binding protein that is thought to play a role in macrophage activation and function. Iba1, containing two EF domains, is induced by cytokines and interferons. In an unstimulated state, Iba1 colocalizes with actin, and upon stimulation, translocates to lamellipodia. It is also a marker of human microglia and is expressed by macrophages in injured skeletal muscle. The gene encoding Iba1 maps to chromosome 6p21.33 and resides in the tumor necrosis factor (TNF) cluster of genes located in the region represented by the human major histocompatibility complex (MHC). |
| Conjucates | Unconjugated |
| Immunogen | Peptide |
| Uniprot ID |
| Molecular Weight | Theoretical: 17 kDa. |
| Stability & Storage | Store at -20°C or -80°C for 12 months. Avoid repeated freeze-thaw cycles. |
| Transport | Shipping with blue ice. |
| Size | Quantity | Unit Price | Amount | Operation |
|---|

Copyright © 2015-2026 TargetMol Chemicals Inc. All Rights Reserved.