Shopping Cart
Remove All
Your shopping cart is currently empty
Anti-Human IgM Antibody (7U224) is a Rabbit antibody targeting Human IgM. Anti-Human IgM Antibody (7U224) can be used in IHC,IP,WB.
| Pack Size | Price | USA Warehouse | Global Warehouse | Quantity |
|---|---|---|---|---|
| 50 μL | $298 | 7-10 days | 7-10 days | |
| 100 μL | $497 | 7-10 days | 7-10 days |
| Description | Anti-Human IgM Antibody (7U224) is a Rabbit antibody targeting Human IgM. Anti-Human IgM Antibody (7U224) can be used in IHC,IP,WB. |
| Synonyms | VH, MU, MGC52291, MGC104996, Immunoglobulin mu, Immunoglobin heavy constant mu, Immunoglobin heavy chain constant region mu edit item name - Immunoglobin heavy chain mu constant region, Immunoglobin heavy chain constant region mu, IgM heavy chain constant region, IGHM, Ig mu chain C region, FLJ00385, DKFZp686I15212, DKFZp686I15196, Constant region of heavy chain of IgM, AGM1 |
| Ig Type | IgG |
| Clone | 7U224 |
| Reactivity | Human |
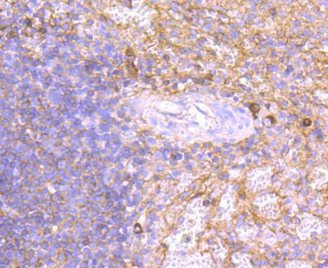
| Verified Activity | 1. Western blot analysis of Human IgM on human plasma lysates using anti-Human IgM antibody at 1/1,000 dilution. 2. Immunohistochemical analysis of paraffin-embedded human tonsil tissue using anti-Human IgM antibody. Counter stained with hematoxylin. 3. Immunohistochemical analysis of paraffin-embedded human spleen tissue using anti-Human IgM antibody. Counter stained with hematoxylin. ![]() ![]() ![]() |
| Application | |
| Recommended Dose | WB: 1:1000-5000; IHC: 1:50-200 |
| Antibody Type | Monoclonal |
| Host Species | Rabbit |
| Construction | Recombinant Antibody |
| Purification | ProA affinity purified |
| Appearance | Liquid |
| Formulation | 1*TBS (pH7.4), 1%BSA, 40%Glycerol. Preservative: 0.05% Sodium Azide. |
| Research Background | Immunoglobulin M (IgM) is the largest circulating antibody molecule in humans. It consists of a heavy chain (?-chain) and a light chain (κ- or λ-chain), as well as 5 base units and 10 binding sites, though it cannot bind all 10 simultaneously because of steric hindrance. IgM chain C refers to the constant region of the IgM heavy chain that is involved in immune regulation. IgM forms polymers by covalently linking multiple immunoglobulins together with disulfide bonds. It normally exists as a pentamer, but occasionally as a hexamer. Because of its polymeric nature, IgM has high avidity, and it is especially effective at complement activation. Due to its large size, IgM does not diffuse well, and it is found in the interstitium in very low amounts. IgM is mainly found in serum; however, because of the J chain, it is also important as a secretory immunoglobulin. IgM is the first immunoglobulin expressed by mature B cells, and it normally appears early in the course of an infection and does not reappear after further exposure. |
| Conjucates | Unconjugated |
| Immunogen | Recombinant Protein |
| Uniprot ID |
| Molecular Weight | Theoretical: 75 kDa. |
| Stability & Storage | Store at -20°C or -80°C for 12 months. Avoid repeated freeze-thaw cycles. |
| Transport | Shipping with blue ice. |
| Size | Quantity | Unit Price | Amount | Operation |
|---|

Copyright © 2015-2026 TargetMol Chemicals Inc. All Rights Reserved.