Shopping Cart
Remove All
Your shopping cart is currently empty
Anti-HtrA2/Omi Antibody (8L413) is a Rabbit antibody targeting HtrA2/Omi. Anti-HtrA2/Omi Antibody (8L413) can be used in IHC,IP,WB.
| Pack Size | Price | USA Warehouse | Global Warehouse | Quantity |
|---|---|---|---|---|
| 50 μL | $296 | 7-10 days | 7-10 days | |
| 100 μL | $498 | 7-10 days | 7-10 days |
| Description | Anti-HtrA2/Omi Antibody (8L413) is a Rabbit antibody targeting HtrA2/Omi. Anti-HtrA2/Omi Antibody (8L413) can be used in IHC,IP,WB. |
| Synonyms | PRSS25, PARK13, OMI, HtrA serine peptidase 2 |
| Ig Type | IgG |
| Clone | 8L413 |
| Reactivity | Human,Mouse,Rat |
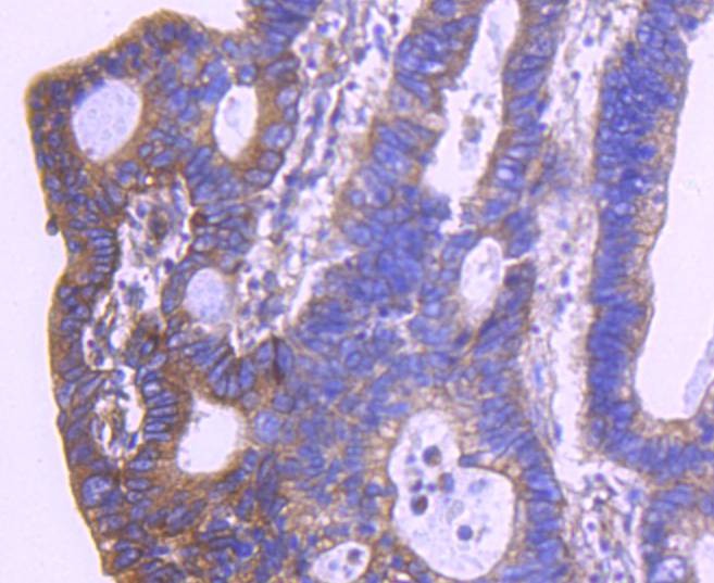
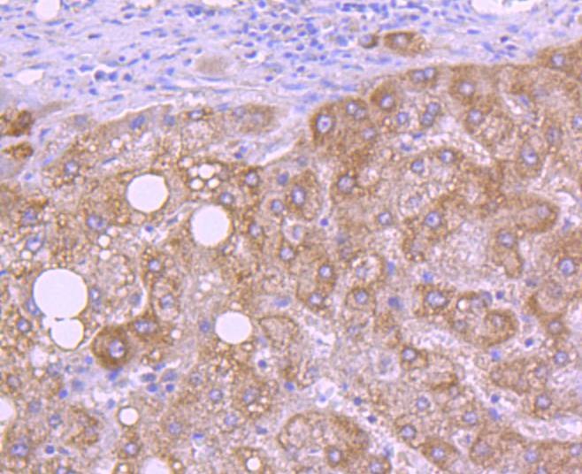
| Verified Activity | 1. Western blot analysis of HtrA2 on 293 cell lysates using anti-HtrA2 antibody at 1/1,000 dilution. 2. Immunohistochemical analysis of paraffin-embedded human liver tissue using anti-HtrA2 antibody. Counter stained with hematoxylin. 3. Immunohistochemical analysis of paraffin-embedded human colon cancer tissue using anti-HtrA2 antibody. Counter stained with hematoxylin. 4. Immunohistochemical analysis of paraffin-embedded mouse liver tissue using anti-HtrA2 antibody. Counter stained with hematoxylin. ![]() ![]() ![]() ![]() |
| Application | |
| Recommended Dose | WB: 1:1000-2000; IHC: 1:50-200 |
| Antibody Type | Monoclonal |
| Host Species | Rabbit |
| Construction | Recombinant Antibody |
| Purification | ProA affinity purified |
| Appearance | Liquid |
| Formulation | 1*TBS (pH7.4), 1%BSA, 40%Glycerol. Preservative: 0.05% Sodium Azide. |
| Research Background | The human homolog of the E. Coli htrA gene product, HtrA, is identified in osteoarthritic cartilage and is repressed in SV40-transformed fibroblast. The gene encoding HtrA protein is highly conserved among mammalian species and belongs to the serine protease family. The HtrA protein contains an IGF-binding domain and exhibits endoproteolytic activity, including autocatalytic cleavage. HtrA is a secreted protein that is expressed in heterologous systems. HtrA plays a role in the degradation of denatured proteins and cell growth regulation. Human HtrA2 (also designated Omi), a novel member of the HtrA serine protease family, is highly homologous to HtrA (also known as L56 and HtrA1). HtrA2 is a ubiquitously expressed nuclear protease that is capable of autoproteolysis. The HtrA2 protein exists as two polypeptides and as an alternatively spliced form called D-Omi, which is predominately expressed in the kidney, colon and thyroid. Due to a modified PDZ domain, D-Omi does not interact with the known partner of HtrA2, the Mxi2 protein. Like HtrA, HtrA2 is involved in the degradation aberrantly folded proteins during conditions of cellular stress, suggesting that it may possess a chaperone-like role under normal conditions. |
| Conjucates | Unconjugated |
| Immunogen | Recombinant Protein |
| Uniprot ID |
| Molecular Weight | Theoretical: 38 kDa. |
| Stability & Storage | Store at -20°C or -80°C for 12 months. Avoid repeated freeze-thaw cycles. |
| Transport | Shipping with blue ice. |
| Size | Quantity | Unit Price | Amount | Operation |
|---|

Copyright © 2015-2026 TargetMol Chemicals Inc. All Rights Reserved.