Shopping Cart
Remove All
Your shopping cart is currently empty
Anti-HSPD1 Antibody (4J857) is a Rabbit antibody targeting HSPD1. Anti-HSPD1 Antibody (4J857) can be used in IHC,WB.
| Pack Size | Price | USA Warehouse | Global Warehouse | Quantity |
|---|---|---|---|---|
| 50 μL | $296 | 7-10 days | 7-10 days | |
| 100 μL | $498 | 7-10 days | 7-10 days |
| Description | Anti-HSPD1 Antibody (4J857) is a Rabbit antibody targeting HSPD1. Anti-HSPD1 Antibody (4J857) can be used in IHC,WB. |
| Synonyms | Hsp60, heat shock 60kDa protein 1 (chaperonin), 60kDa |
| Ig Type | IgG |
| Clone | 4J857 |
| Reactivity | Human,Mouse,Rat |
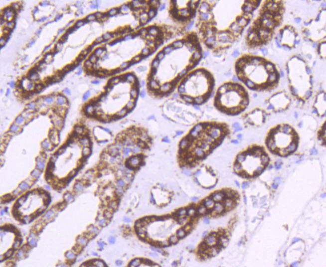
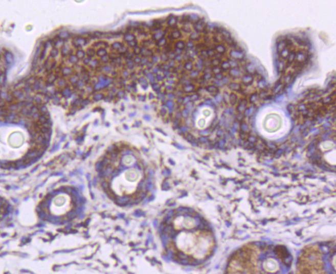
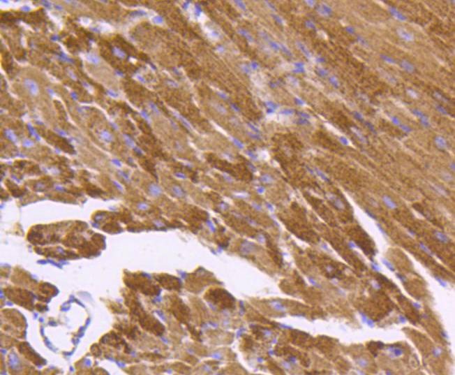
| Verified Activity | 1. Western blot analysis of Hsp60 on different lysates using anti-Hsp60 antibody at 1/1,000 dilution. Positive control: Lane 1: Hela, Lane 2: MCF-7, Lane 3: PANC-1, Lane 4: SW480. 2. Immunohistochemical analysis of paraffin-embedded human lung cancer tissue using anti-Hsp60 antibody. Counter stained with hematoxylin. 3. Immunohistochemical analysis of paraffin-embedded human kidney tissue using anti-Hsp60 antibody. Counter stained with hematoxylin. 4. Immunohistochemical analysis of paraffin-embedded mouse skin tissue using anti-Hsp60 antibody. Counter stained with hematoxylin. 5. Immunohistochemical analysis of paraffin-embedded mouse heart tissue using anti-Hsp60 antibody. Counter stained with hematoxylin. ![]() ![]() ![]() ![]() ![]() |
| Application | |
| Recommended Dose | WB: 1:1000-5000; IHC: 1:50-200 |
| Antibody Type | Monoclonal |
| Host Species | Rabbit |
| Construction | Recombinant Antibody |
| Purification | ProA affinity purified |
| Appearance | Liquid |
| Formulation | 1*TBS (pH7.4), 1%BSA, 40%Glycerol. Preservative: 0.05% Sodium Azide. |
| Research Background | The heat shock proteins (HSPs) comprise a group of highly conserved, abundantly expressed proteins with diverse functions, including the assembly and sequestering of multiprotein complexes, transportation of nascent poly-peptide chains across cellular membranes, and the regulation of protein folding. HSPs (also known as molecular chaperones) fall into six general families: HSP 90, HSP 70, HSP 60, the low molecular weight HSPs, the immunophilins, and the HSP 110 family. The constitutively expressed mitochondrial protein HSP 60 shares the ability to recognize and stabilize proteins during folding, assembly and disassembly with other HSP family members. The mitochondrial and cytosolic localization of HSP 60, combined with its binding and catalysis of folding of newly synthesized proteins destined for the mitochondrial matrix, classify this protein as a molecular chaperone. An additional role of HSP 60 is to act as a cell surface marker for T cell recognition. |
| Conjucates | Unconjugated |
| Immunogen | Recombinant Protein |
| Uniprot ID |
| Molecular Weight | Theoretical: 60 kDa. |
| Stability & Storage | Store at -20°C or -80°C for 12 months. Avoid repeated freeze-thaw cycles. |
| Transport | Shipping with blue ice. |
| Size | Quantity | Unit Price | Amount | Operation |
|---|

Copyright © 2015-2026 TargetMol Chemicals Inc. All Rights Reserved.