Shopping Cart
Remove All
Your shopping cart is currently empty
Anti-HSPA5 Polyclonal Antibody is a Rabbit antibody targeting SCD1. Anti-HSPA5 Polyclonal Antibody can be used in IF,IHC-Fr,IHC-P,WB.
| Pack Size | Price | USA Stock | Global Stock | Quantity |
|---|---|---|---|---|
| 50 μL | $220 | 7-10 days | 7-10 days | |
| 100 μL | $374 | 7-10 days | 7-10 days | |
| 200 μL | $527 | 7-10 days | 7-10 days |
| Description | Anti-HSPA5 Polyclonal Antibody is a Rabbit antibody targeting SCD1. Anti-HSPA5 Polyclonal Antibody can be used in IF,IHC-Fr,IHC-P,WB. |
| Synonyms | Immunoglobulin heavy chain-binding protein, HSPA 5, HSP70 family protein 5, Heat shock protein family A member 5, Heat shock protein 70 family protein 5, GRP-78, GRP78, Endoplasmic reticulum chaperone BiP, EC 3.6.4.10, BiP, Binding-immunoglobulin protein, 78 kDa glucose-regulated protein |
| Ig Type | IgG |
| Reactivity | Human,Rat(predicted:Mouse,Pig,Rabbit) |
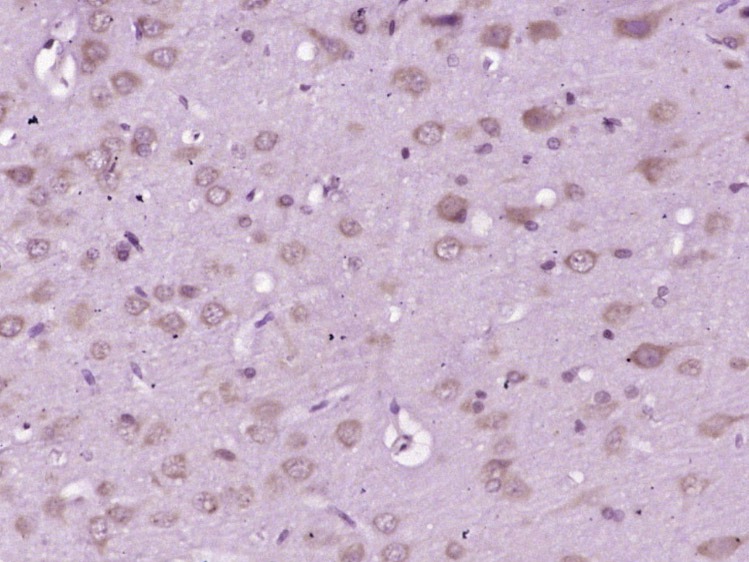
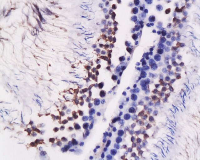
| Verified Activity | 1. Tissue/cell: rat testis tissue; 4% Paraformaldehyde-fixed and paraffin-embedded; Antigen retrieval: citrate buffer (0.01M, pH6.0), Boiling bathing for 15 min; Block endogenous peroxidase by 3% Hydrogen peroxide for 30 min; Blocking buffer (normal goat serum) at 37°C for 20 min; Incubation: Anti-GRP78 Polyclonal Antibody, Unconjugated (TMAB-00898) 1:200, overnight at 4°C, followed by conjugation to the secondary antibody and DAb staining. 2. Sample: Lane 1: Spleen (Rat) Lysate at 40 μg Lane 2: Cerebrum (Rat) Lysate at 40 μg Lane 3: U-87MG (Human) Cell Lysate at 30 μg Lane 4: Hela (Human) Cell Lysate at 30 μg Lane 5: HepG2 (Human) Cell Lysate at 30 μg Lane 6: MDA-MB-231 (Human) Cell Lysate at 30 μg Lane 7: A431 (Human) Cell Lysate at 30 μg Primary: Anti-GRP78 (TMAB-00898) at 1/1000 dilution Secondary: IRDye800CW Goat Anti-Rabbit IgG at 1/20000 dilution Predicted band size: 78 kDa Observed band size: 74 kDa 3. Paraformaldehyde-fixed, paraffin embedded (rat brain tissue); Antigen retrieval by boiling in sodium citrate buffer (pH6.0) for 15 min; Block endogenous peroxidase by 3% hydrogen peroxide for 20 min; Blocking buffer (normal goat serum) at 37°C for 30 min; Antibody incubation with (GRP78) Polyclonal Antibody, Unconjugated (TMAB-00898) at 1:400 overnight at 4°C, followed by operating according to SP Kit (Rabbit) instructionsand DAB staining. ![]() ![]() ![]() |
| Application | |
| Recommended Dose | WB: 1:500-2000; IHC-P: 1:100-500; IHC-Fr: 1:100-500; IF: 1:100-500 |
| Antibody Type | Polyclonal |
| Host Species | Rabbit |
| Subcellular Localization | Endoplasmic reticulum lumen. Melanosome. Identified by mass spectrometry in melanosome fractions from stage I to stage IV. |
| Construction | Polyclonal Antibody |
| Purification | Protein A purified |
| Appearance | Liquid |
| Formulation | 0.01M TBS (pH7.4) with 1% BSA, 0.02% Proclin300 and 50% Glycerol. |
| Concentration | 1 mg/mL |
| Research Background | The 78 kDa glucose regulated protein/BiP (GRP78) belongs to the family of ~70 kDa heat shock proteins (HSP 70). GRP78 is a resident protein of the endoplasmic reticulum (ER) and may associate transiently with a variety of newly synthesized secretory and membrane proteins or permanently with mutant or defective proteins that are incorrectly folded, thus preventing their export from the ER lumen. GRP78 is a highly conserved protein that is essential for cell viability. The highly conserved sequence Lys-Asp-Glu-Leu (KDEL) is present at the C terminus of GRP78 and other resident ER proteins including glucose regulated protein 94 (GRP 94) and protein disulfide isomerase (PDI). The presence of carboxy terminal KDEL appears to be necessary for retention and appears to be sufficient to reduce the secretion of proteins from the ER. This retention is reported to be mediated by a KDEL receptor. |
| Immunogen | KLH conjugated synthetic peptide: human GRP78 |
| Antigen Species | Human |
| Gene Name | HSPA5 |
| Gene ID | |
| Protein Name | Endoplasmic reticulum chaperone BiP |
| Uniprot ID | |
| Biology Area | ER |
| Function | Probably plays a role in facilitating the assembly of multimeric protein complexes inside the ER. |
| Molecular Weight | Theoretical: 78 kDa. Actual: 74 kDa. |
| Stability & Storage | Store at -20°C or -80°C for 12 months. Avoid repeated freeze-thaw cycles. |
| Transport | Shipping with blue ice. |
| Size | Quantity | Unit Price | Amount | Operation |
|---|

Copyright © 2015-2026 TargetMol Chemicals Inc. All Rights Reserved.