Shopping Cart
Remove All
Your shopping cart is currently empty
Anti-HSPA5 Antibody (2Y907) is a Mouse antibody targeting HSPA5. Anti-HSPA5 Antibody (2Y907) can be used in IHC,WB.

| Pack Size | Price | USA Stock | Global Stock | Quantity |
|---|---|---|---|---|
| 50 μL | $218 | 7-10 days | 7-10 days | |
| 100 μL | $317 | 7-10 days | 7-10 days |
| Description | Anti-HSPA5 Antibody (2Y907) is a Mouse antibody targeting HSPA5. Anti-HSPA5 Antibody (2Y907) can be used in IHC,WB. |
| Synonyms | Immunoglobulin heavy chain-binding protein, HSPA 5, HSP70 family protein 5, Heat shock protein family A member 5, Heat shock protein 70 family protein 5, GRP-78, GRP78, Endoplasmic reticulum chaperone BiP, EC 3.6.4.10, BiP, Binding-immunoglobulin protein, 78 kDa glucose-regulated protein |
| Ig Type | IgG1 |
| Clone | 2Y907 |
| Reactivity | Human,Rat |
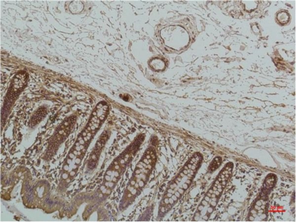
| Verified Activity | 1. Western blot analysis of 1)Hela, 2) Rat LiverTissue with GRP78/Bip Mouse mAb diluted at 1:2,000. 2. Immunohistochemical analysis of paraffin-embedded Human Colon Caricnoma using GRP78/BipMouse mAb diluted at 1:200. 3. Immunohistochemical analysis of paraffin-embedded Human Breast Caricnoma using GRP78/BipMouse mAb diluted at 1:200. ![]() ![]() ![]() |
| Application | |
| Recommended Dose | WB: 1:1000-2000; IHC: 1:100-200 |
| Antibody Type | Monoclonal |
| Host Species | Mouse |
| Construction | Hybridoma Monoclonal Antibody |
| Appearance | Liquid |
| Formulation | Liquid in PBS containing 50% glycerol, 0.5% BSA and 0.02% sodium azide. |
| Conjucates | Unconjugated |
| Immunogen | A synthesized peptide |
| Uniprot ID |
| Molecular Weight | Theoretical: 78 kDa. |
| Stability & Storage | Store at -20°C or -80°C for 12 months. Avoid repeated freeze-thaw cycles. |
| Transport | Shipping with blue ice. |
| Size | Quantity | Unit Price | Amount | Operation |
|---|

Copyright © 2015-2026 TargetMol Chemicals Inc. All Rights Reserved.