Shopping Cart
Remove All
Your shopping cart is currently empty
Synonyms: RY, MGC131852, HSPH2, HSPA 4, HSP74_HUMAN, hsp70RY, Hsp70 RY, hsp70, HS24/P52, HEL S 5a, Heat shock protein, 110 kDa, Heat shock 70-related protein APG-2, Heat shock 70 related protein APG 2, Heat shock 70 kDa protein 4, Epididymis secretory sperm binding protein Li 5a, APG 2
| Pack Size | Price | USA Stock | Global Stock | Quantity |
|---|---|---|---|---|
| 50 μL | $297 | 7-10 days | 7-10 days | |
| 100 μL | $498 | 7-10 days | 7-10 days |
| Description | Anti-HSPA4 Antibody (7T809) is a Rabbit antibody targeting HSPA4. Anti-HSPA4 Antibody (7T809) can be used in FCM,ICC/IF,IHC,WB. |
| Synonyms | RY, MGC131852, HSPH2, HSPA 4, HSP74_HUMAN, hsp70RY, Hsp70 RY, hsp70, HS24/P52, HEL S 5a, Heat shock protein, 110 kDa, Heat shock 70-related protein APG-2, Heat shock 70 related protein APG 2, Heat shock 70 kDa protein 4, Epididymis secretory sperm binding protein Li 5a, APG 2 |
| Ig Type | IgG |
| Clone | 7T809 |
| Reactivity | Human,Mouse,Rat |
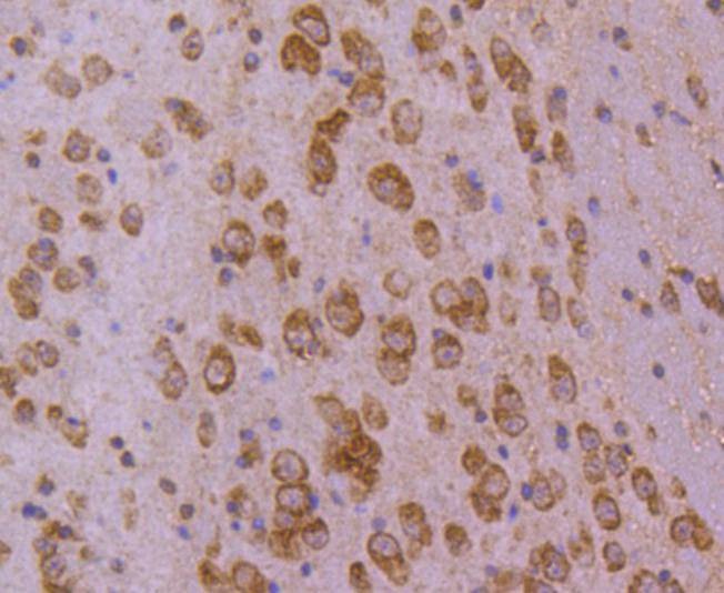
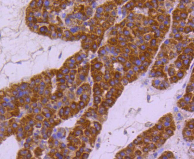
| Verified Activity | 1. Western blot analysis of HSPA4 on Hela cells lysates using anti-HSPA4 antibody at 1/1,000 dilution. 2. Immunohistochemical analysis of paraffin-embedded rat brain tissue using anti-HSPA4 antibody. Counter stained with hematoxylin. 3. Immunohistochemical analysis of paraffin-embedded human liver cancer tissue using anti-HSPA4 antibody. Counter stained with hematoxylin. 4. Immunohistochemical analysis of paraffin-embedded mouse brain tissue using anti-HSPA4 antibody. Counter stained with hematoxylin. 5. ICC staining HSPA4 in Hela cells (green). The nuclear counter stain is DAPI (blue). Cells were fixed in paraformaldehyde, permeabilised with 0.25% Triton X100/PBS. 6. ICC staining HSPA4 in HepG2 cells (green). The nuclear counter stain is DAPI (blue). Cells were fixed in paraformaldehyde, permeabilised with 0.25% Triton X100/PBS. 7. Flow cytometric analysis of Hela cells with HSPA4 antibody at 1/50 dilution (red) compared with an unlabelled control (cells without incubation with primary antibody; black). Alexa Fluor 488-conjugated goat anti rabbit IgG was used as the secondary antibody. |
| Application | |
| Recommended Dose | WB: 1:1000-5000; IHC: 1:50-200; ICC/IF: 1:100-500; FCM: 1:50-100 |
| Antibody Type | Monoclonal |
| Host Species | Rabbit |
| Construction | Recombinant Antibody |
| Purification | ProA affinity purified |
| Appearance | Liquid |
| Formulation | 1*TBS (pH7.4), 1%BSA, 40%Glycerol. Preservative: 0.05% Sodium Azide. |
| Research Background | The heat shock proteins (HSPs) comprise a group of highly conserved, abundantly expressed proteins with diverse functions, which include the assembly and sequestering of multiprotein complexes, transportation of nascent polypeptide chains across cellular membranes and regulation of protein folding. Heat shock proteins (also known as molecular chaperones) fall into six general families: HSP 90, HSP 70, HSP 60, the low molecular weight HSPs, the immunophilins and the HSP 110 family. The HSP 110 family (also known as the HSP 105 family) is composed of HSP 105, Apg-1 and Apg-2. |
| Conjucates | Unconjugated |
| Immunogen | Recombinant Protein |
| Uniprot ID |
| Molecular Weight | Theoretical: 94 kDa. |
| Stability & Storage | Store at -20°C or -80°C for 12 months. Avoid repeated freeze-thaw cycles. |
| Transport | Shipping with blue ice. |
| Size | Quantity | Unit Price | Amount | Operation |
|---|

Copyright © 2015-2026 TargetMol Chemicals Inc. All Rights Reserved.