Shopping Cart
Remove All
Your shopping cart is currently empty
Synonyms: Testis-specific heat shock protein-related, OTTHUMP00000180664, MGC93458, MGC7795, MGC58299, Hst70, Hspt70, HSPA 2, HSP72_HUMAN, HSP72, HSP70A2, HSP70-3, Hsp70-2, HSP70.2, HSP70 3, HSP70 2, Heat-shock protein, 70-KD, 3, Heat-shock protein, 70-KD, 2, Heat shock-related 70 kDa protein 2, Heat shock related 70 kDa protein 2, Heat shock protein 70.2, Heat shock protein 2, Heat shock 70 kDa protein 2, Hcp70.2, 70kDa
| Pack Size | Price | USA Stock | Global Stock | Quantity |
|---|---|---|---|---|
| 50 μL | $297 | 7-10 days | 7-10 days | |
| 100 μL | $497 | 7-10 days | 7-10 days |
| Description | Anti-HSPA2 Antibody (2P492) is a Rabbit antibody targeting HSPA2. Anti-HSPA2 Antibody (2P492) can be used in IHC,WB. |
| Synonyms | Testis-specific heat shock protein-related, OTTHUMP00000180664, MGC93458, MGC7795, MGC58299, Hst70, Hspt70, HSPA 2, HSP72_HUMAN, HSP72, HSP70A2, HSP70-3, Hsp70-2, HSP70.2, HSP70 3, HSP70 2, Heat-shock protein, 70-KD, 3, Heat-shock protein, 70-KD, 2, Heat shock-related 70 kDa protein 2, Heat shock related 70 kDa protein 2, Heat shock protein 70.2, Heat shock protein 2, Heat shock 70 kDa protein 2, Hcp70.2, 70kDa |
| Ig Type | IgG |
| Clone | 2P492 |
| Reactivity | Human,Mouse,Rat |
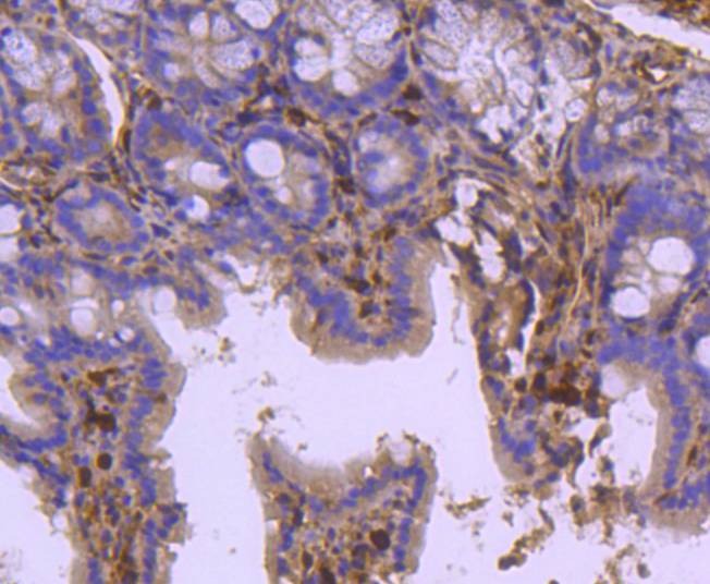
| Verified Activity | 1. Western blot analysis of HSPA2 on different lysates using anti-HSPA2 antibody at 1/1,000 dilution. Positive control: Lane 1: MCF-7, Lane 2: Hela, Lane 3: A431. 2. Immunohistochemical analysis of paraffin-embedded mouse colon tissue using anti-HSPA2 antibody. Counter stained with hematoxylin. |
| Application | |
| Recommended Dose | WB: 1:1000-2000; IHC: 1:50-200 |
| Antibody Type | Monoclonal |
| Host Species | Rabbit |
| Construction | Recombinant Antibody |
| Purification | ProA affinity purified |
| Appearance | Liquid |
| Formulation | 1*TBS (pH7.4), 1%BSA, 40%Glycerol. Preservative: 0.05% Sodium Azide. |
| Research Background | HSPA2(heat shock 70kDa protein 2) also known as HEAT-SHOCK PROTEIN, 70-KD, 2, HSP70-2, HEAT-SHOCK PROTEIN, 70-KD, 3 or HSP70-3. Analysis of the sequence indicated that HSPA2 is the human homolog of the murine Hsp70-2 gene, with 91.7% identity in the nucleotide coding sequence and 98.2% in the corresponding amino acid sequence.HSPA2 has less amino acid homology to the other members of the human HSP70 gene family. HSPA2 is constitutively expressed in most tissues, with very high levels in testis and skeletal muscle. The HSPA2 gene is located on chromosome 14q22-q24. Immunohistochemical analysis detected weak expression of HSPA2 in spermatocytes and stronger expression in spermatids and in the tail of mature sperm. HSPA2 may be critical to sperm maturation through its role as a protein chaperone. |
| Conjucates | Unconjugated |
| Immunogen | Recombinant Protein |
| Uniprot ID |
| Molecular Weight | Theoretical: 70 kDa. |
| Stability & Storage | Store at -20°C or -80°C for 12 months. Avoid repeated freeze-thaw cycles. |
| Transport | Shipping with blue ice. |
| Size | Quantity | Unit Price | Amount | Operation |
|---|

Copyright © 2015-2026 TargetMol Chemicals Inc. All Rights Reserved.