Shopping Cart
Remove All
Your shopping cart is currently empty
Synonyms: MGC131990, HSPA 14, HSP7E_HUMAN, HSP70-like protein 1, HSP70L1, HSP70 like protein 1, HSP70 4, HSP60, Heat shock protein hsp70 related protein, Heat shock protein HSP60, Heat shock 70kDa protein 14, Heat shock 70 kDa protein 14
| Pack Size | Price | USA Stock | Global Stock | Quantity |
|---|---|---|---|---|
| 50 μL | $297 | 7-10 days | 7-10 days | |
| 100 μL | $497 | 7-10 days | 7-10 days |
| Description | Anti-HSPA14 Antibody (8Q329) is a Rabbit antibody targeting HSPA14. Anti-HSPA14 Antibody (8Q329) can be used in ICC/IF,IHC,IP,WB. |
| Synonyms | MGC131990, HSPA 14, HSP7E_HUMAN, HSP70-like protein 1, HSP70L1, HSP70 like protein 1, HSP70 4, HSP60, Heat shock protein hsp70 related protein, Heat shock protein HSP60, Heat shock 70kDa protein 14, Heat shock 70 kDa protein 14 |
| Ig Type | IgG |
| Clone | 8Q329 |
| Reactivity | Human,Mouse,Rat |
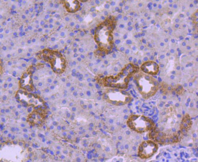
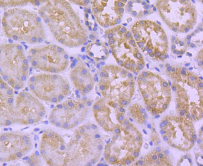
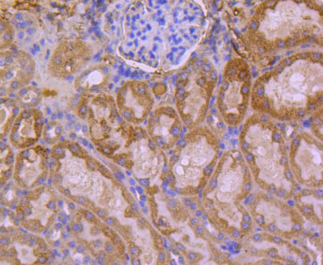
| Verified Activity | 1. Western blot analysis of HSPA14 on different lysates using anti-HSPA14 antibody at 1/1,000 dilution. Positive control: Lane 1: K562, Lane 2: COS-1. 2. Immunohistochemical analysis of paraffin-embedded human kidney tissue using anti-HSPA14 antibody. Counter stained with hematoxylin. 3. Immunohistochemical analysis of paraffin-embedded rat kidney tissue using anti-HSPA14 antibody. Counter stained with hematoxylin. 4. Immunohistochemical analysis of paraffin-embedded mouse kidney tissue using anti-HSPA14 antibody. Counter stained with hematoxylin. 5. ICC staining HSPA14 in 293 cells (green). The nuclear counter stain is DAPI (blue). Cells were fixed in paraformaldehyde, permeabilised with 0.25% Triton X100/PBS. 6. ICC staining HSPA14 in RH-35 cells (green). The nuclear counter stain is DAPI (blue). Cells were fixed in paraformaldehyde, permeabilised with 0.25% Triton X100/PBS. 7. ICC staining HSPA14 in 293T cells (green). The nuclear counter stain is DAPI (blue). Cells were fixed in paraformaldehyde, permeabilised with 0.25% Triton X100/PBS. |
| Application | |
| Recommended Dose | WB: 1:1000-2000; IHC: 1:50-200; ICC/IF: 1:50-200 |
| Antibody Type | Monoclonal |
| Host Species | Rabbit |
| Construction | Recombinant Antibody |
| Purification | ProA affinity purified |
| Appearance | Liquid |
| Formulation | 1*TBS (pH7.4), 1%BSA, 40%Glycerol. Preservative: 0.05% Sodium Azide. |
| Research Background | The heat shock proteins (HSPs) comprise a group of highly conserved, abundantly expressed proteins with diverse functions, including the assembly and sequestering of multi-protein complexes, the transportation of nascent poly-peptide chains across cellular membranes and the regulation of protein folding. HSPA14 (heat shock 70kDa protein 14), also known as HSP70-4 or HSP70L1, is a 509 amino acid novel HSP protein derived from human dendritic cells. Belonging to the heat shock protein 70 family, HSPA14 is thought to promote dendritic cell maturation. It is also suggested that HSPA14 stimulates secretion of the proinflammatory cytokines interleukin 12p70 (IL-12p70), IL-1β, TNFα, and the chemokines IP-10, MIP-1α, MIP-1β, and normal T cell expressed and secreted (RANTES). |
| Conjucates | Unconjugated |
| Immunogen | Recombinant Protein |
| Uniprot ID |
| Molecular Weight | Theoretical: 55 kDa. |
| Stability & Storage | Store at -20°C or -80°C for 12 months. Avoid repeated freeze-thaw cycles. |
| Transport | Shipping with blue ice. |
| Size | Quantity | Unit Price | Amount | Operation |
|---|

Copyright © 2015-2026 TargetMol Chemicals Inc. All Rights Reserved.