Shopping Cart
Remove All
Your shopping cart is currently empty
Synonyms: LPS-associated protein 2), Lipopolysaccharide-associated protein 2 (LAP-2, HSPCA, HSPC1, HSPC 1, HSP90A, HSP86), HSP86, Heat shock protein HSP 90-α, Heat shock protein HSP 90-alpha, Heat shock 86 kDa (HSP 86
| Pack Size | Price | USA Stock | Global Stock | Quantity |
|---|---|---|---|---|
| 50 μL | $296 | 7-10 days | 7-10 days | |
| 100 μL | $497 | 7-10 days | 7-10 days |
| Description | Anti-HSP90AA1 Antibody (7X71) is a Rabbit antibody targeting HSP90AA1. Anti-HSP90AA1 Antibody (7X71) can be used in ICC/IF,IHC,WB. |
| Synonyms | LPS-associated protein 2), Lipopolysaccharide-associated protein 2 (LAP-2, HSPCA, HSPC1, HSPC 1, HSP90A, HSP86), HSP86, Heat shock protein HSP 90-α, Heat shock protein HSP 90-alpha, Heat shock 86 kDa (HSP 86 |
| Ig Type | IgG |
| Clone | 7X71 |
| Reactivity | Human,Mouse,Rat |
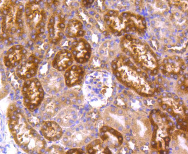
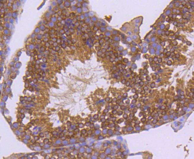
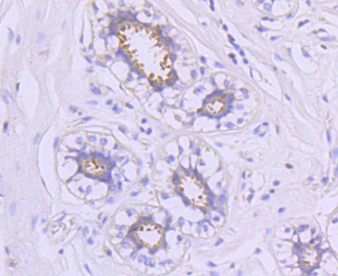
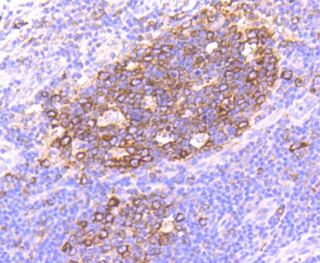
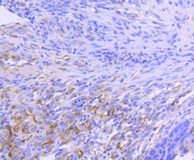
| Verified Activity | 1. Western blot analysis of Hsp90 alpha on COS-1 cell lysates using anti-Hsp90 alpha antibody at 1/1,000 dilution. 2. Immunohistochemical analysis of paraffin-embedded human tonsil tissue using anti-Hsp90 alpha antibody. Counter stained with hematoxylin. 3. Immunohistochemical analysis of paraffin-embedded human colon cancer tissue using anti-Hsp90 alpha antibody. Counter stained with hematoxylin. 4. Immunohistochemical analysis of paraffin-embedded human breast tissue using anti-Hsp90 alpha antibody. Counter stained with hematoxylin. 5. Immunohistochemical analysis of paraffin-embedded mouse testis tissue using anti-Hsp90 alpha antibody. Counter stained with hematoxylin. 6. Immunohistochemical analysis of paraffin-embedded human kidney tissue using anti-Hsp90 alpha antibody. Counter stained with hematoxylin. 7. ICC staining Hsp90 alpha in Hela cells (green). The nuclear counter stain is DAPI (blue). Cells were fixed in paraformaldehyde, permeabilised with 0.25% Triton X100/PBS. 8. ICC staining Hsp90 alpha in Ags cells (green). The nuclear counter stain is DAPI (blue). Cells were fixed in paraformaldehyde, permeabilised with 0.25% Triton X100/PBS. 9. ICC staining Hsp90 alpha in NIH/3T3 cells (green). The nuclear counter stain is DAPI (blue). Cells were fixed in paraformaldehyde, permeabilised with 0.25% Triton X100/PBS. |
| Application | |
| Recommended Dose | WB: 1:1000-2000; IHC: 1:50-200; ICC/IF: 1:50-200 |
| Antibody Type | Monoclonal |
| Host Species | Rabbit |
| Construction | Recombinant Antibody |
| Purification | ProA affinity purified |
| Appearance | Liquid |
| Formulation | 1*TBS (pH7.4), 1%BSA, 40%Glycerol. Preservative: 0.05% Sodium Azide. |
| Research Background | The heat shock response was first described for Drosophila salivary gland cells and morphologically consists of a change in their polytene chromosome puffing patterns that involves de novo synthesis of a few proteins. Similar heat shock proteins were later discovered in bacterial chicken and mammalian cells, and have been subsequently studied in other organisms. A series of proteins including HSP 90, HSP 70, HSP 20-30 and ubiquitin are induced by insults such as temperature shock, chemicals and other environmental stress. A major function of HSP 90 and other HSPs is to act as molecular chaperones. HSP 90 forms a complex with glucocorticoid receptor (GR), rendering the non ligand-bound receptor transcriptionally inactive. HSP 90 binds the GR as a heterocomplex composed of either HSP 56 or Cyclophilin D, forming an aporeceptor comiplex. HSP 90 also exists as a dimer with other proteins such as p60/sti1 and p23, forming an apo-receptor complex with estrogen and androgen receptors. |
| Conjucates | Unconjugated |
| Immunogen | Recombinant Protein |
| Uniprot ID |
| Molecular Weight | Theoretical: 90 kDa. |
| Stability & Storage | Store at -20°C or -80°C for 12 months. Avoid repeated freeze-thaw cycles. |
| Transport | Shipping with blue ice. |
| Size | Quantity | Unit Price | Amount | Operation |
|---|

Copyright © 2015-2026 TargetMol Chemicals Inc. All Rights Reserved.