Shopping Cart
Remove All
Your shopping cart is currently empty
Anti-HSP60 Polyclonal Antibody is a Rabbit antibody targeting HSP60. Anti-HSP60 Polyclonal Antibody can be used in ICC/IF, IF, IHC-Fr, IHC-P, WB.
| Pack Size | Price | USA Stock | Global Stock | Quantity |
|---|---|---|---|---|
| 50 μL | $221 | 7-10 days | 7-10 days | |
| 100 μL | $374 | 7-10 days | 7-10 days | |
| 200 μL | $527 | 7-10 days | 7-10 days |
| Description | Anti-HSP60 Polyclonal Antibody is a Rabbit antibody targeting HSP60. Anti-HSP60 Polyclonal Antibody can be used in ICC/IF, IF, IHC-Fr, IHC-P, WB. |
| Synonyms | Hsp60, heat shock 60kDa protein 1 (chaperonin), 60kDa |
| Ig Type | IgG |
| Reactivity | Human,Mouse,Rat (predicted:Dog,Cow,Horse,Rabbit) |
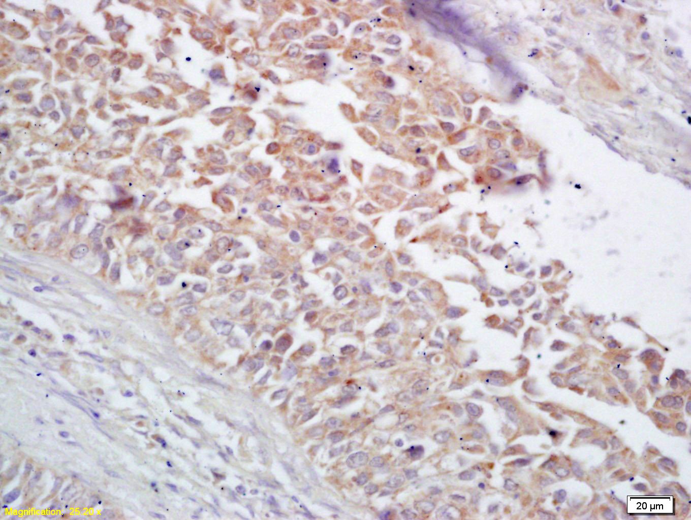
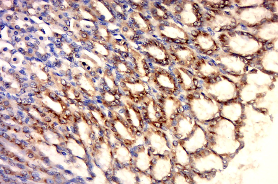
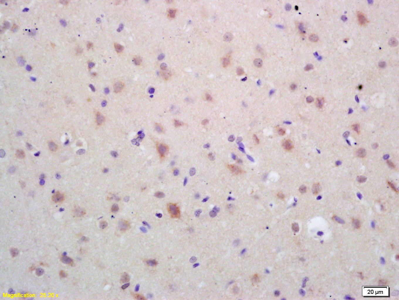
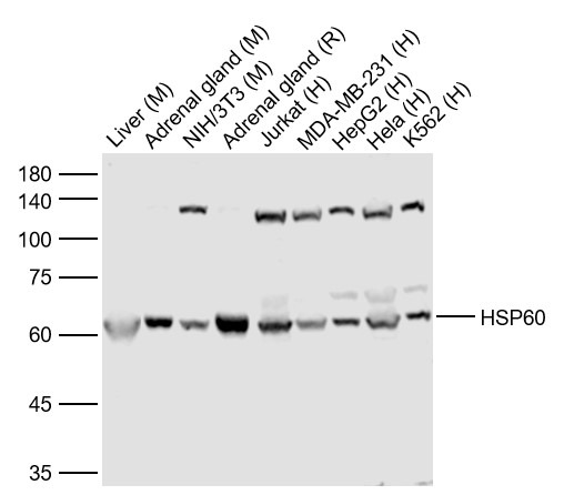
| Verified Activity | 1. Tissue/cell: human lung carcinoma; 4% Paraformaldehyde-fixed and paraffin-embedded; Antigen retrieval: citrate buffer (0.01M, pH6.0), Boiling bathing for 15 min; Block endogenous peroxidase by 3% Hydrogen peroxide for 30 min; Blocking buffer (normal goat serum) at 37°C for 20 min; Incubation: Anti-HSP60 Polyclonal Antibody, Unconjugated (TMAB-00892) 1:200, overnight at 4°C, followed by conjugation to the secondary antibody and DAb staining. 2. Tissue/cell: rat brain tissue; 4% Paraformaldehyde-fixed and paraffin-embedded; Antigen retrieval: citrate buffer (0.01M, pH6.0), Boiling bathing for 15 min; Block endogenous peroxidase by 3% Hydrogen peroxide for 30 min; Blocking buffer (normal goat serum) at 37°C for 20 min; Incubation: Anti-HSP60 Polyclonal Antibody, Unconjugated (TMAB-00892) 1:200, overnight at 4°C, followed by conjugation to the secondary antibody and DAb staining. 3. Paraformaldehyde-fixed, paraffin embedded (rat stomach); Antigen retrieval by boiling in sodium citrate buffer (pH6.0) for 15 min; Block endogenous peroxidase by 3% hydrogen peroxide for 20 min; Blocking buffer (normal goat serum) at 37°C for 30 min; Antibody incubation with (HSP60) Polyclonal Antibody, Unconjugated (TMAB-00892) at 1:500 overnight at 4°C, followed by a conjugated secondary for 20 min and DAB staining. 4. Sample: Lane 1: Liver (Mouse) Lysate at 40 μg Lane 2: Adrenal gland (Mouse) Lysate at 40 μg Lane 3: NIH/3T3 (Mouse) Cell Lysate at 30 μg Lane 4: Adrenal gland (Rat) Lysate at 40 μg Lane 5: Jurkat (Human) Cell Lysate at 30 μg Lane 6: MDA-MB-231 (Human) Cell Lysate at 30 μg Lane 7: HepG2 (Human) Cell Lysate at 30 μg Lane 8: Hela (Human) Cell Lysate at 30 μg Lane 9: K562 (Human) Cell Lysate at 30 μg Primary: Anti-HSP60 (TMAB-00892) at 1/1000 dilution Secondary: IRDye800CW Goat Anti-Rabbit IgG at 1/20000 dilution Predicted band size: 62 kDa Observed band size: 62 kDa 5. HepG2 cell; 4% Paraformaldehyde-fixed; Triton X-100 at room temperature for 20 min; Blocking buffer (normal goat serum) at 37°C for 20 min; Antibody incubation with (HSP60) polyclonal Antibody, Unconjugated (TMAB-00892) 1:100, 90 minutes at 37°C; followed by a conjugated Goat Anti-Rabbit IgG antibody at 37°C for 90 minutes, DAPI (blue) was used to stain the cell nucleus. ![]() ![]() ![]() ![]() ![]() |
| Application | |
| Recommended Dose | ICC/IF=1:100-500; IF=1:100-500; IHC-Fr=1:100-500; IHC-P=1:100-500; WB=1:500-2000 |
| Antibody Type | Polyclonal |
| Host Species | Rabbit |
| Subcellular Localization | Mitochondrion matrix. |
| Construction | Polyclonal Antibody |
| Purification | Protein A purified |
| Appearance | Liquid |
| Formulation | 0.01M TBS (pH7.4) with 1% BSA, 0.02% Proclin300 and 50% Glycerol. |
| Concentration | 1 mg/mL |
| Research Background | This gene encodes a member of the chaperonin family. The encoded mitochondrial protein may function as a signaling molecule in the innate immune system. This protein is essential for the folding and assembly of newly imported proteins in the mitochondria. This gene is adjacent to a related family member and the region between the 2 genes functions as a bidirectional promoter. Two pseudogenes, both located on chromosome 8, have been associated with this gene. Two transcript variants encoding the same protein have been identified for this gene. Mutations associated with this gene cause autosomal recessive spastic paraplegia 13. |
| Immunogen | KLH conjugated synthetic peptide: human HSP60 |
| Antigen Species | Human |
| Gene Name | HSPD1 |
| Gene ID | |
| Protein Name | 60 kDa heat shock protein, mitochondrial |
| Uniprot ID | |
| Biology Area | Signal transduction proteins ELISA kits,Heat Shock Proteins,Mitochondria |
| Function | Implicated in mitochondrial protein import and macromolecular assembly. May facilitate the correct folding of imported proteins. May also prevent misfolding and promote the refolding and proper assembly of unfolded polypeptides generated under stress conditions in the mitochondrial matrix. |
| Molecular Weight | Theoretical: 58 kDa. Actual: 62 kDa. |
| Stability & Storage | Store at -20°C or -80°C for 12 months. Avoid repeated freeze-thaw cycles. |
| Transport | Shipping with blue ice. |
| Size | Quantity | Unit Price | Amount | Operation |
|---|

Copyright © 2015-2026 TargetMol Chemicals Inc. All Rights Reserved.