Shopping Cart
Remove All
Your shopping cart is currently empty
Anti-HSP105 Antibody (2M617) is a Rabbit antibody targeting HSP105. Anti-HSP105 Antibody (2M617) can be used in ICC/IF,IHC,IP,WB.
| Pack Size | Price | USA Warehouse | Global Warehouse | Quantity |
|---|---|---|---|---|
| 50 μL | $297 | 7-10 days | 7-10 days | |
| 100 μL | $497 | 7-10 days | 7-10 days |
| Description | Anti-HSP105 Antibody (2M617) is a Rabbit antibody targeting HSP105. Anti-HSP105 Antibody (2M617) can be used in ICC/IF,IHC,IP,WB. |
| Synonyms | NY CO 25, KIAA0201, Hsph1, HSPH 1, HSP110, HSP105B, HSP105A, HSP 105, HS105_HUMAN, Heat shock protein 105 kDa, Heat shock 110kDa protein, Heat shock 110 kDa protein, Heat shock 105kDa/110kDa protein 1, Heat shock 105kDa protein 1, Heat shock 105kDa protein, Heat shock 105kD beta, Heat shock 105kD alpha, Heat shock 105kD, DKFZp686M05240, Antigen NY-CO-25, Antigen NY CO 25 |
| Ig Type | IgG |
| Clone | 2M617 |
| Reactivity | Human,Mouse,Rat |
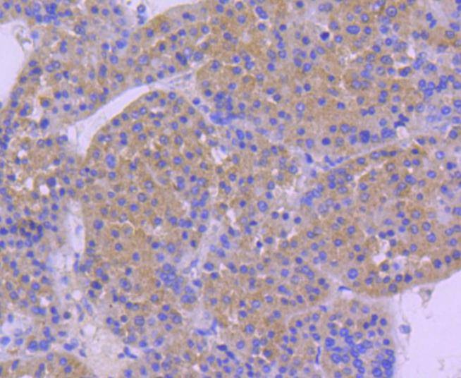
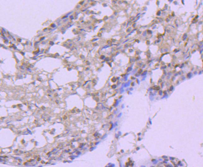
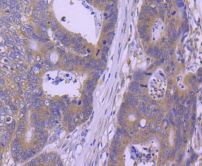
| Verified Activity | 1. Western blot analysis of Hsp105 on different lysates using anti-Hsp105 antibody at 1/1,000 dilution. Positive control: Lane 1: MCF-7, Lane 2: Hela. 2. Immunohistochemical analysis of paraffin-embedded human liver cancer tissue using anti-Hsp105 antibody. Counter stained with hematoxylin. 3. Immunohistochemical analysis of paraffin-embedded rat testis tissue using anti-Hsp105 antibody. Counter stained with hematoxylin. 4. Immunohistochemical analysis of paraffin-embedded human colon cancer tissue using anti-Hsp105 antibody. Counter stained with hematoxylin. 5. ICC staining Hsp105 in Hela cells (green). The nuclear counter stain is DAPI (blue). Cells were fixed in paraformaldehyde, permeabilised with 0.25% Triton X100/PBS. 6. ICC staining Hsp105 in HepG2 cells (green). The nuclear counter stain is DAPI (blue). Cells were fixed in paraformaldehyde, permeabilised with 0.25% Triton X100/PBS. 7. ICC staining Hsp105 in PANC-1 cells (green). The nuclear counter stain is DAPI (blue). Cells were fixed in paraformaldehyde, permeabilised with 0.25% Triton X100/PBS. ![]() ![]() ![]() ![]() ![]() ![]() ![]() |
| Application | |
| Recommended Dose | WB: 1:1000-2000; IHC: 1:50-200; ICC/IF: 1:50-200 |
| Antibody Type | Monoclonal |
| Host Species | Rabbit |
| Construction | Recombinant Antibody |
| Purification | ProA affinity purified |
| Appearance | Liquid |
| Formulation | 1*TBS (pH7.4), 1%BSA, 40%Glycerol. Preservative: 0.05% Sodium Azide. |
| Research Background | The heat shock proteins (HSPs) comprise a group of highly conserved, abundantly expressed proteins with diverse functions, including the assembly and sequestering of multiprotein complexes, transportation of nascent poly-peptide chains across cellular membranes and regulation of protein folding. Heat shock proteins (also known as molecular chaperones) fall into six general families: HSP 90, HSP 70, HSP 60, the low molecular weight HSPs, the immunophilins and the HSP 110 family. The HSP 110 family (also known as the HSP 105 family) is composed of HSP 105, Apg-1 and Apg-2. HSP 105 is a testis-specific and HSP 90-related protein. Research indicates that HSP 105 is specifically localized in the germ cells and may translocate into the nucleus after heat shock. It is suggested that HSP 105 may contribute to the stabilization of p53 proteins in the cytoplasm of the germ cells, preventing the potential induction of apoptosis by p53. |
| Conjucates | Unconjugated |
| Immunogen | Recombinant Protein |
| Uniprot ID |
| Molecular Weight | Theoretical: 105 kDa. |
| Stability & Storage | Store at -20°C or -80°C for 12 months. Avoid repeated freeze-thaw cycles. |
| Transport | Shipping with blue ice. |
| Size | Quantity | Unit Price | Amount | Operation |
|---|

Copyright © 2015-2026 TargetMol Chemicals Inc. All Rights Reserved.