Shopping Cart
Remove All
Your shopping cart is currently empty
Anti-HSD3B1 Polyclonal Antibody is a Rabbit antibody targeting HSD3B1. Anti-HSD3B1 Polyclonal Antibody can be used in IF,IHC-Fr,IHC-P.
| Pack Size | Price | USA Warehouse | Global Warehouse | Quantity |
|---|---|---|---|---|
| 50 μL | $220 | 7-10 days | 7-10 days | |
| 100 μL | $374 | 7-10 days | 7-10 days | |
| 200 μL | $529 | 7-10 days | 7-10 days |
| Description | Anti-HSD3B1 Polyclonal Antibody is a Rabbit antibody targeting HSD3B1. Anti-HSD3B1 Polyclonal Antibody can be used in IF,IHC-Fr,IHC-P. |
| Ig Type | IgG |
| Reactivity | Mouse,Rat (predicted:Human,Dog,Cow,Horse) |
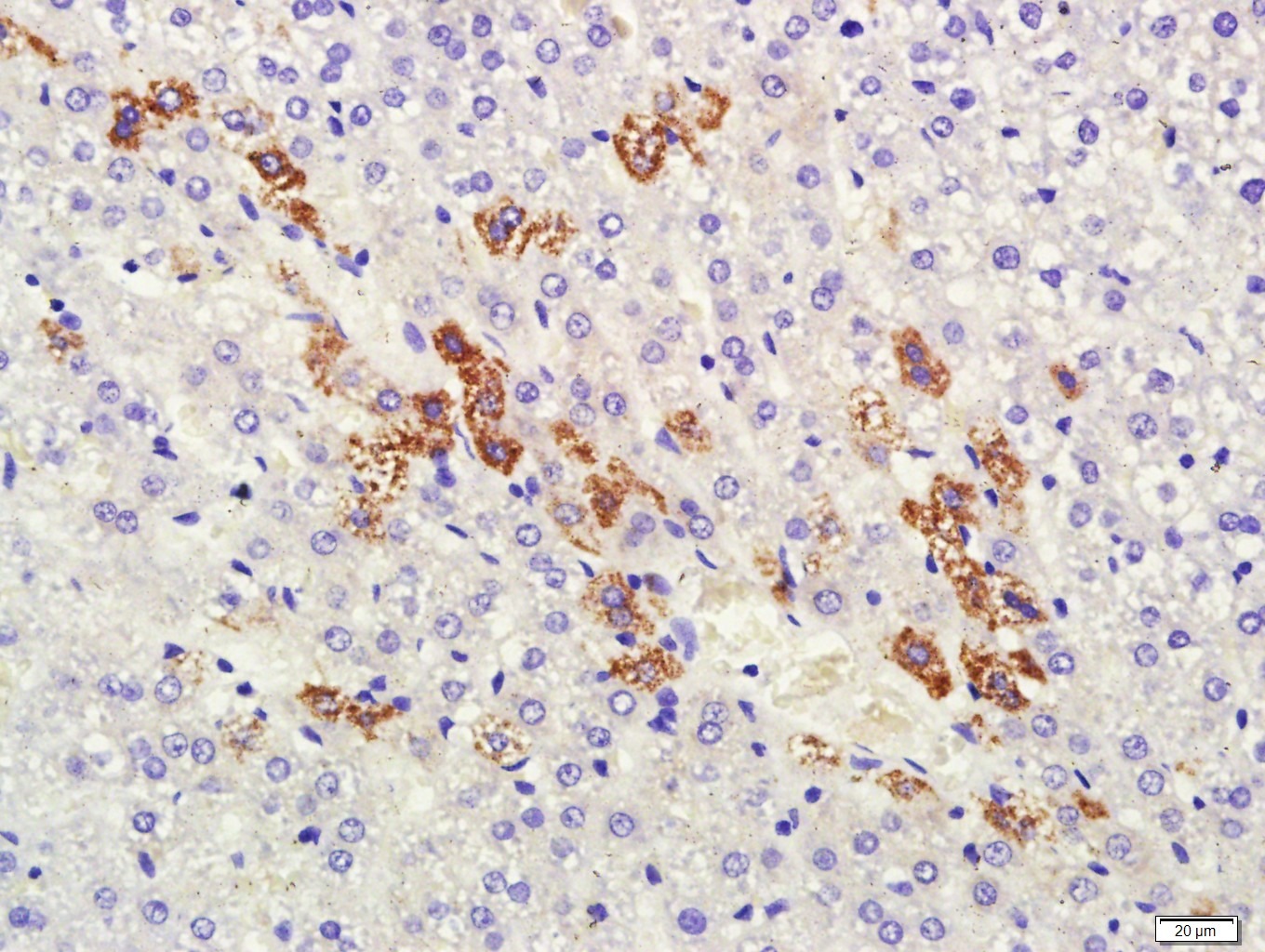
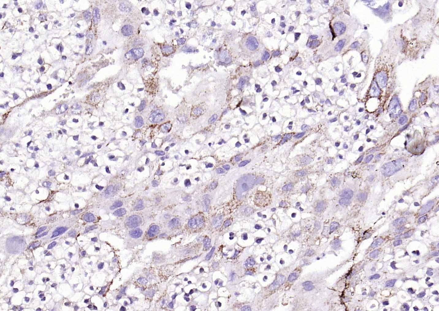
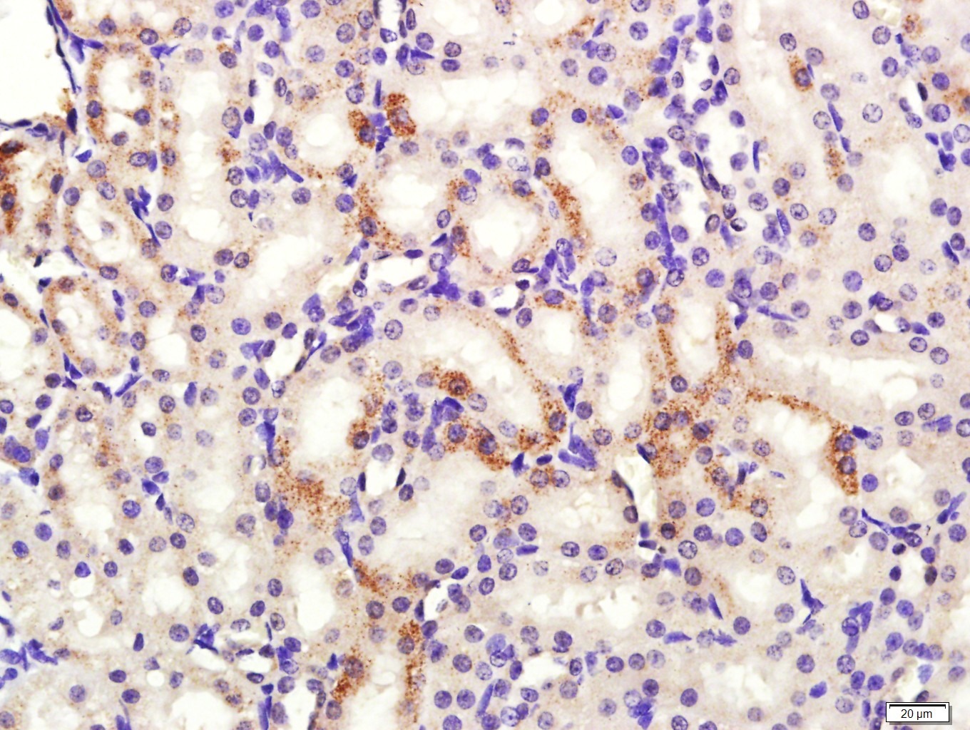
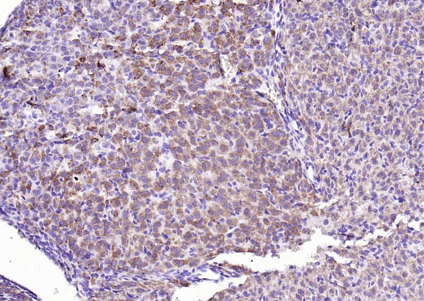
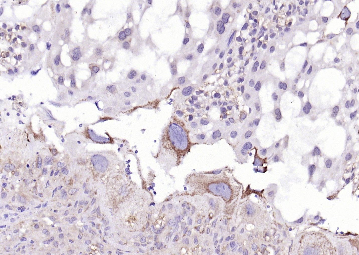
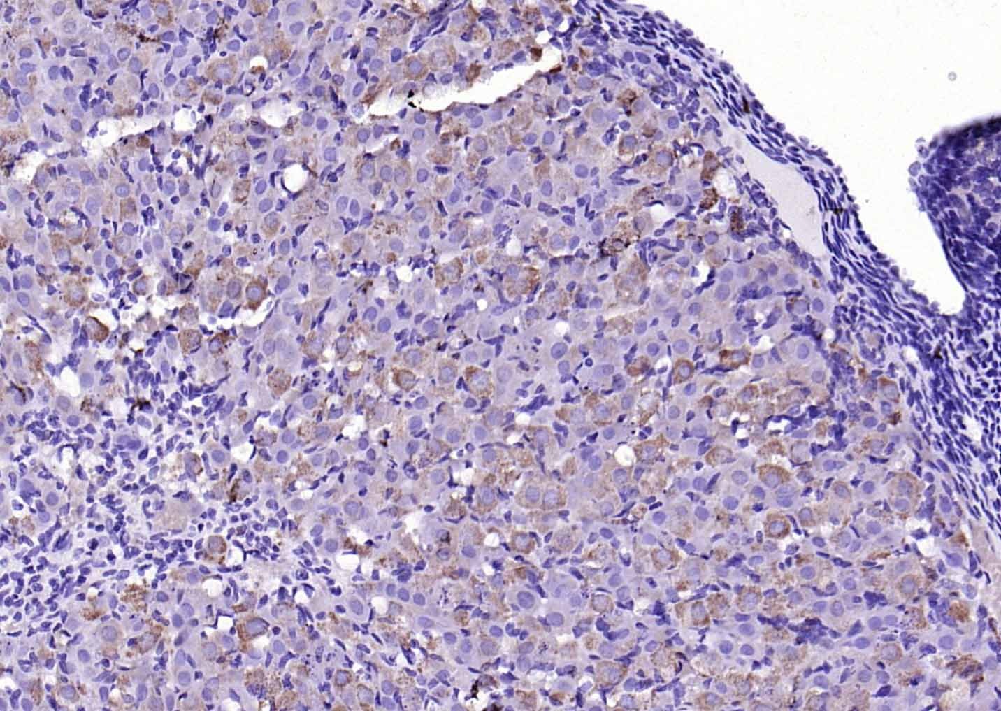
| Verified Activity | 1. Paraformaldehyde-fixed, paraffin embedded (Rat liver); Antigen retrieval by boiling in sodium citrate buffer (pH6.0) for 15 min; Block endogenous peroxidase by 3% hydrogen peroxide for 20 min; Blocking buffer (normal goat serum) at 37°C for 30 min; Antibody incubation with (HSD3B1) Polyclonal Antibody, Unconjugated (TMAB-00891) at 1:400 overnight at 4°C, followed by a conjugated secondary for 20 min and DAB staining. 2. Paraformaldehyde-fixed, paraffin embedded (Rat kidney); Antigen retrieval by boiling in sodium citrate buffer (pH6.0) for 15 min; Block endogenous peroxidase by 3% hydrogen peroxide for 20 min; Blocking buffer (normal goat serum) at 37°C for 30 min; Antibody incubation with (HSD3B1) Polyclonal Antibody, Unconjugated (TMAB-00891) at 1:400 overnight at 4°C, followed by a conjugated secondary for 20 min and DAB staining. 3. Paraformaldehyde-fixed, paraffin embedded (mouse placenta); Antigen retrieval by boiling in sodium citrate buffer (pH6.0) for 15 min; Block endogenous peroxidase by 3% hydrogen peroxide for 20 min; Blocking buffer (normal goat serum) at 37°C for 30 min; Antibody incubation with (HSD3B1) Polyclonal Antibody, Unconjugated (TMAB-00891) at 1:200 overnight at 4°C, followed by operating according to SP Kit (Rabbit) instructionsand DAB staining. 4. Paraformaldehyde-fixed, paraffin embedded (mouse ovary); Antigen retrieval by boiling in sodium citrate buffer (pH6.0) for 15 min; Block endogenous peroxidase by 3% hydrogen peroxide for 20 min; Blocking buffer (normal goat serum) at 37°C for 30 min; Antibody incubation with (HSD3B1) Polyclonal Antibody, Unconjugated (TMAB-00891) at 1:200 overnight at 4°C, followed by operating according to SP Kit (Rabbit) instructionsand DAB staining. 5. Paraformaldehyde-fixed, paraffin embedded (rat placenta); Antigen retrieval by boiling in sodium citrate buffer (pH6.0) for 15 min; Block endogenous peroxidase by 3% hydrogen peroxide for 20 min; Blocking buffer (normal goat serum) at 37°C for 30 min; Antibody incubation with (HSD3B1) Polyclonal Antibody, Unconjugated (TMAB-00891) at 1:200 overnight at 4°C, followed by operating according to SP Kit (Rabbit) instructionsand DAB staining. 6. Paraformaldehyde-fixed, paraffin embedded (rat ovary); Antigen retrieval by boiling in sodium citrate buffer (pH6.0) for 15 min; Block endogenous peroxidase by 3% hydrogen peroxide for 20 min; Blocking buffer (normal goat serum) at 37°C for 30 min; Antibody incubation with (HSD3B1) Polyclonal Antibody, Unconjugated (TMAB-00891) at 1:200 overnight at 4°C, followed by operating according to SP Kit (Rabbit) instructionsand DAB staining. ![]() ![]() ![]() ![]() ![]() ![]() |
| Application | |
| Recommended Dose | IHC-P: 1:100-500; IHC-Fr: 1:100-500; IF: 1:100-500 |
| Antibody Type | Polyclonal |
| Host Species | Rabbit |
| Subcellular Localization | Endoplasmic reticulum membrane; Single-pass membrane protein. Mitochondrion membrane; Single-pass membrane protein. |
| Tissue Specificity | Placenta and skin. Predominantly expressed in mammary gland tissue. |
| Construction | Polyclonal Antibody |
| Purification | Protein A purified |
| Appearance | Liquid |
| Formulation | 0.01M TBS (pH7.4) with 1% BSA, 0.02% Proclin300 and 50% Glycerol. |
| Concentration | 1 mg/mL |
| Research Background | The protein encoded by this gene is a bifunctional enzyme that catalyzes the oxidative conversion of delta(5)-ene-3-beta-hydroxy steroid, and the oxidative conversion of ketosteroids. It plays a crucial role in the biosynthesis of all classes of hormonal steroids. This gene is predominantly expressed in the adrenals and the gonads. Mutations in this gene are associated with 3-beta-hydroxysteroid dehydrogenase, type II, deficiency. Alternatively spliced transcript variants have been found for this gene. [provided by RefSeq, Oct 2009] |
| Immunogen | KLH conjugated synthetic peptide: human HSD3B1 |
| Antigen Species | Human |
| Gene Name | HSD3B1 |
| Gene ID | |
| Protein Name | 3 beta-hydroxysteroid dehydrogenase/delta 5-->4-isomerase type 1 |
| Uniprot ID | |
| Biology Area | Hormone biosynthesis,Metabolism of lipids and lipoproteins,Hormone biosynthesis,Lipid metabolism,Cancer,Hormones |
| Molecular Weight | Theoretical: 41 kDa. |
| Stability & Storage | Store at -20°C or -80°C for 12 months. Avoid repeated freeze-thaw cycles. |
| Transport | Shipping with blue ice. |
| Size | Quantity | Unit Price | Amount | Operation |
|---|

Copyright © 2015-2026 TargetMol Chemicals Inc. All Rights Reserved.