Shopping Cart
Remove All
Your shopping cart is currently empty
Anti-HPV16 E6 Polyclonal Antibody is a Rabbit antibody targeting HPV16 E6. Anti-HPV16 E6 Polyclonal Antibody can be used in FCM,IF,IHC-Fr,IHC-P.
| Pack Size | Price | USA Warehouse | Global Warehouse | Quantity |
|---|---|---|---|---|
| 50 μL | $222 | 7-10 days | 7-10 days | |
| 100 μL | $373 | 7-10 days | 7-10 days | |
| 200 μL | $529 | 7-10 days | 7-10 days |
| Description | Anti-HPV16 E6 Polyclonal Antibody is a Rabbit antibody targeting HPV16 E6. Anti-HPV16 E6 Polyclonal Antibody can be used in FCM,IF,IHC-Fr,IHC-P. |
| Synonyms | VE6_HPV16, Protein E6, Human papillomavirus type 16 E6, Human papillomavirus type 16, Human Papilloma Virus, HPV16-E6, HPV16 E6, E6 protein, E6 |
| Ig Type | IgG |
| Reactivity | Human (predicted:HPV16) |
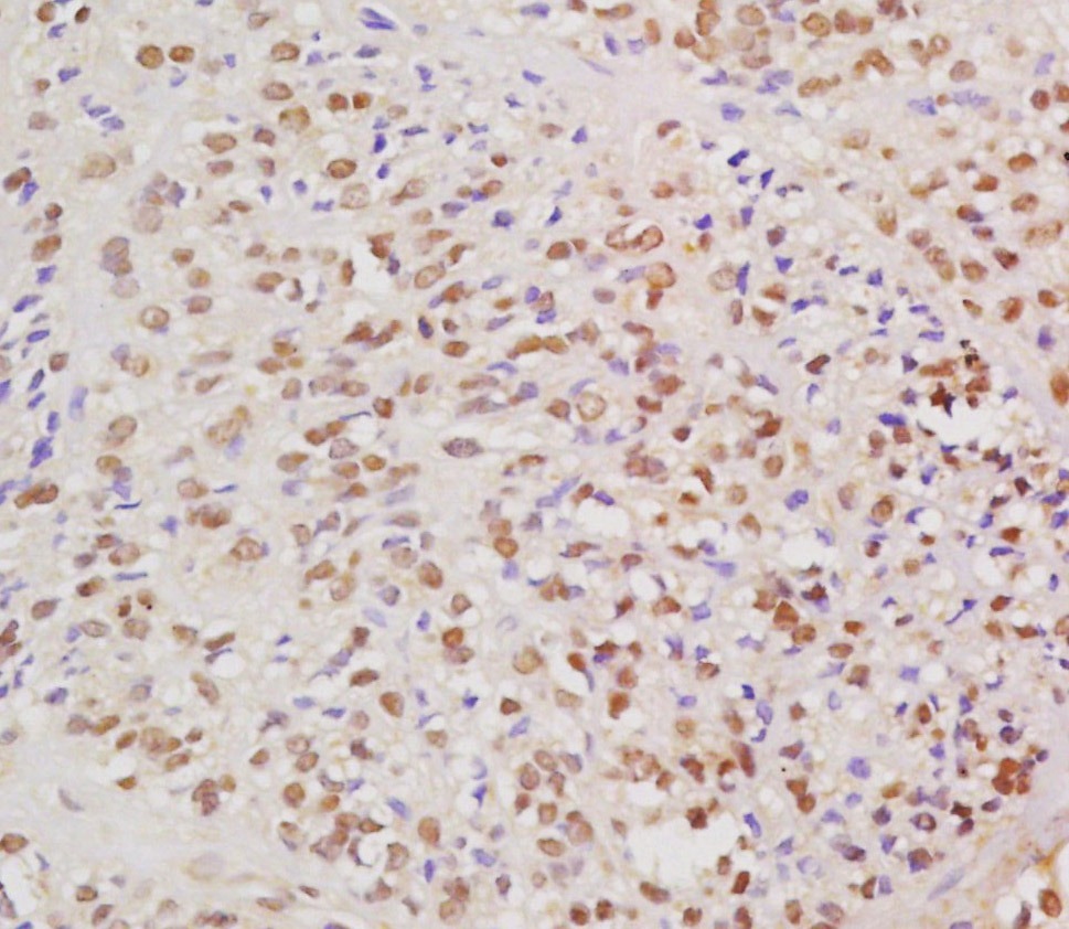
| Verified Activity | 1. Tissue/cell: human cervical carcinoma; 4% Paraformaldehyde-fixed and paraffin-embedded; Antigen retrieval: citrate buffer (0.01M, pH6.0), Boiling bathing for 15 min; Block endogenous peroxidase by 3% Hydrogen peroxide for 30 min; Blocking buffer (normal goat serum) at 37°C for 20 min; Incubation: Anti-HPV16-E6 Polyclonal Antibody, Unconjugated (TMAB-00882) 1:200, overnight at 4°C, followed by conjugation to the secondary antibody and DAb staining. 2. Blank control (black line): Hela. Primary Antibody (green line): Rabbit Anti-HPV16 E6 antibody (TMAB-00882) Dilution: 1 μg/Test; Secondary Antibody (white blue line): Goat anti-rabbit IgG-AF488 Dilution: 0.5 μg/Test. Isotype control (orange line): Normal Rabbit IgG Protocol The cells were fixed with 4% PFA (10 min at room temperature) and then permeabilized with 90% ice-cold methanol for 20 min at-20°C, The cells were then incubated in 5% BSA to block non-specific protein-protein interactions for 30 min at room temperature. Cells stained with Primary Antibody for 30 min at room temperature. The secondary antibody used for 40 min at room temperature. ![]() ![]() |
| Application | |
| Recommended Dose | IHC-P: 1:100-500; IHC-Fr: 1:100-500; IF: 1:100-500; FCM: 1ug/Test |
| Antibody Type | Polyclonal |
| Host Species | Rabbit |
| Construction | Polyclonal Antibody |
| Purification | Protein A purified |
| Appearance | Liquid |
| Formulation | 0.01M TBS (pH7.4) with 1% BSA, 0.02% Proclin300 and 50% Glycerol. |
| Concentration | 1 mg/mL |
| Immunogen | KLH conjugated synthetic peptide: human HPV16 E6 |
| Antigen Species | Human |
| Gene Name | L2 |
| Protein Name | Minor capsid protein L2 |
| Molecular Weight | Theoretical: 11 kDa. |
| Stability & Storage | Store at -20°C or -80°C for 12 months. Avoid repeated freeze-thaw cycles. |
| Transport | Shipping with blue ice. |
| Size | Quantity | Unit Price | Amount | Operation |
|---|

Copyright © 2015-2025 TargetMol Chemicals Inc. All Rights Reserved.