Shopping Cart
Remove All
Your shopping cart is currently empty
Anti-HNRNPK Antibody (5Q710) is a Rabbit antibody targeting HNRNPK. Anti-HNRNPK Antibody (5Q710) can be used in ICC/IF,IHC,IP,WB.
| Pack Size | Price | USA Warehouse | Global Warehouse | Quantity |
|---|---|---|---|---|
| 50 μL | $296 | 7-10 days | 7-10 days | |
| 100 μL | $497 | 7-10 days | 7-10 days |
| Description | Anti-HNRNPK Antibody (5Q710) is a Rabbit antibody targeting HNRNPK. Anti-HNRNPK Antibody (5Q710) can be used in ICC/IF,IHC,IP,WB. |
| Synonyms | TUNP, Transformation upregulated nuclear protein, Transformation up regulated nuclear protein, HNRNPK, hnRNP K, Heterogeneous nuclear ribonucleoprotein K, FLJ41122, dC stretch binding protein, CSBP |
| Ig Type | IgG |
| Clone | 5Q710 |
| Reactivity | Human,Mouse,Rat |
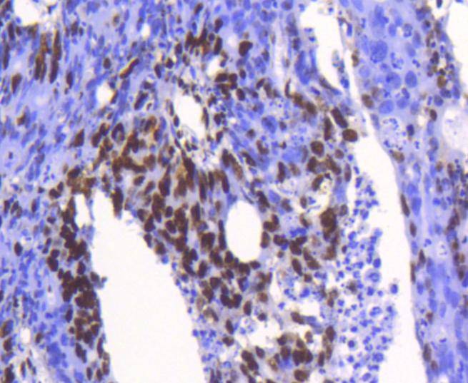
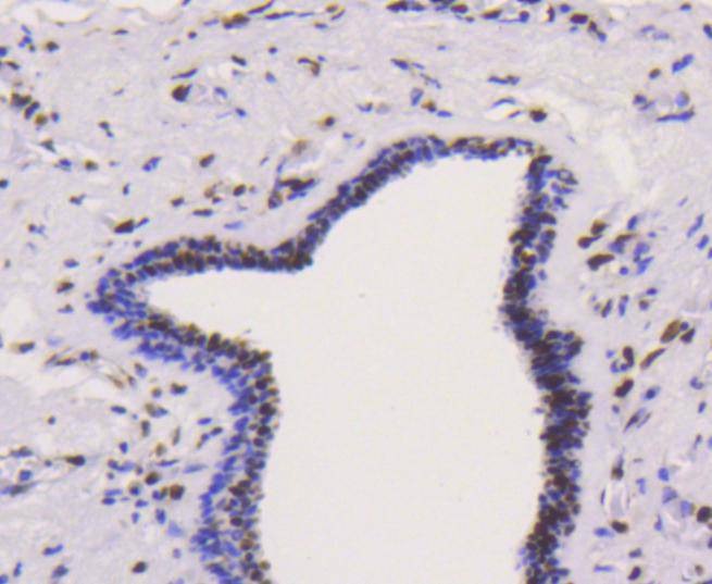
| Verified Activity | 1. Western blot analysis of hnRNP K on different lysates using anti-hnRNP K antibody at 1/1,000 dilution. Positive control: Lane 1: Jurkat, Lane 2: Hela, Lane 3: NIH/3T3. 2. Immunohistochemical analysis of paraffin-embedded human colon cancer tissue using anti-hnRNP K antibody. Counter stained with hematoxylin. 3. Immunohistochemical analysis of paraffin-embedded mouse brain tissue using anti-hnRNP K antibody. Counter stained with hematoxylin. 4. Immunohistochemical analysis of paraffin-embedded human breast carcinoma tissue using anti-hnRNP K antibody. Counter stained with hematoxylin. 5. ICC staining hnRNP K in Hela cells (green). The nuclear counter stain is DAPI (blue). Cells were fixed in paraformaldehyde, permeabilised with 0.25% Triton X100/PBS. 6. ICC staining hnRNP K in HepG2 cells (green). The nuclear counter stain is DAPI (blue). Cells were fixed in paraformaldehyde, permeabilised with 0.25% Triton X100/PBS. 7. ICC staining hnRNP K in SKOV-3 cells (green). The nuclear counter stain is DAPI (blue). Cells were fixed in paraformaldehyde, permeabilised with 0.25% Triton X100/PBS. ![]() ![]() ![]() ![]() ![]() ![]() ![]() |
| Application | |
| Recommended Dose | WB: 1:1000-5000; IHC: 1:50-200; ICC/IF: 1:50-200 |
| Antibody Type | Monoclonal |
| Host Species | Rabbit |
| Construction | Recombinant Antibody |
| Purification | ProA affinity purified |
| Appearance | Liquid |
| Formulation | 1*TBS (pH7.4), 1%BSA, 40%Glycerol. Preservative: 0.05% Sodium Azide. |
| Research Background | Heterogeneous nuclear ribonucleoproteins (hnRNPs) constitute a set of poly-peptides that contribute to mRNA transcription and pre-mRNA processing as well as mature mRNA transport to the cytoplasm and translation. They also bind heterogeneous nuclear RNA (hnRNA), which are the transcripts produced by RNA Polymerase II. There are approximately 20 known hnRNP proteins and their complexes are the major constituents of the spliceosome. The majority of hnRNP protein are localized to the nucleus, however some shuttle between the nucleus and the cytoplasm, such as hnRNP K. hnRNP K recruits a variety of molecular partners through two K homologous (KH) domains, which are required for protein-protein interactions. hnRNP K also contains several potential phosphorylation sites, including Ser 302, the major site of PKCd phosphorylation, which are thought to regulate various cellular functions, including sequence-specific DNA binding, transcription, RNA binding and nucleocytoplasmic shuttling. |
| Conjucates | Unconjugated |
| Immunogen | Recombinant Protein |
| Uniprot ID |
| Molecular Weight | Theoretical: 60 kDa. |
| Stability & Storage | Store at -20°C or -80°C for 12 months. Avoid repeated freeze-thaw cycles. |
| Transport | Shipping with blue ice. |
| Size | Quantity | Unit Price | Amount | Operation |
|---|

Copyright © 2015-2026 TargetMol Chemicals Inc. All Rights Reserved.