Shopping Cart
Remove All
Your shopping cart is currently empty
Anti-HNRNPA2B1 Polyclonal Antibody is a Rabbit antibody targeting HNRNPA2B1. Anti-HNRNPA2B1 Polyclonal Antibody can be used in IF,IHC-Fr,IHC-P,WB.
| Pack Size | Price | USA Stock | Global Stock | Quantity |
|---|---|---|---|---|
| 50 μL | $222 | 7-10 days | 7-10 days | |
| 100 μL | $374 | 7-10 days | 7-10 days | |
| 200 μL | $529 | 7-10 days | 7-10 days |
| Description | Anti-HNRNPA2B1 Polyclonal Antibody is a Rabbit antibody targeting HNRNPA2B1. Anti-HNRNPA2B1 Polyclonal Antibody can be used in IF,IHC-Fr,IHC-P,WB. |
| Synonyms | HNRPA2B1, HNRNPA2B1, hnRNP A2/B1, Heterogeneous nuclear ribonucleoproteins A2/B1 |
| Ig Type | IgG |
| Reactivity | Human,Mouse,Rat (predicted:Chicken,Dog,Pig,Cow,Rabbit) |
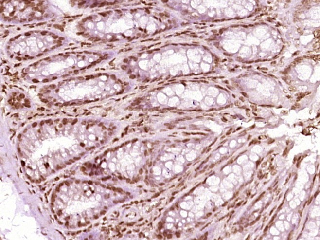
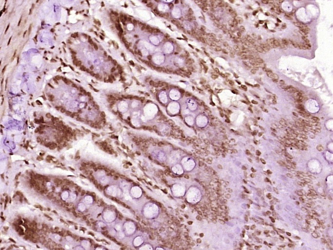
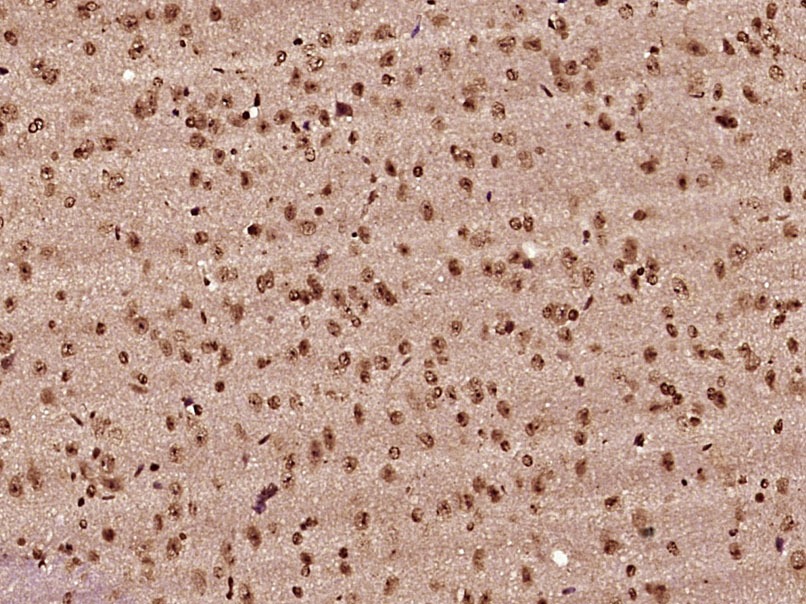
| Verified Activity | 1. Paraformaldehyde-fixed, paraffin embedded (rat intestine tissue); Antigen retrieval by boiling in sodium citrate buffer (pH6.0) for 15 min; Block endogenous peroxidase by 3% hydrogen peroxide for 20 min; Blocking buffer (normal goat serum) at 37°C for 30 min; Antibody incubation with (hnRNP A2B1) Polyclonal Antibody, Unconjugated (TMAB-00878) at 1:400 overnight at 4°C, followed by operating according to SP Kit (Rabbit) instructionsand DAB staining. 2. Paraformaldehyde-fixed, paraffin embedded (mouse colon tissue); Antigen retrieval by boiling in sodium citrate buffer (pH6.0) for 15 min; Block endogenous peroxidase by 3% hydrogen peroxide for 20 min; Blocking buffer (normal goat serum) at 37°C for 30 min; Antibody incubation with (hnRNP A2B1) Polyclonal Antibody, Unconjugated (TMAB-00878) at 1:400 overnight at 4°C, followed by operating according to SP Kit (Rabbit) instructionsand DAB staining. 3. Sample: A549 (Human) Cell Lysate at 30 μg Primary: Anti-hnRNP A2B1 (TMAB-00878) at 1/300 dilution Secondary: IRDye800CW Goat Anti-Rabbit IgG at 1/20000 dilution Predicted band size: 39 kDa Observed band size: 39 kDa 4. Paraformaldehyde-fixed, paraffin embedded (Mouse brain); Antigen retrieval by boiling in sodium citrate buffer (pH6.0) for 15 min; Block endogenous peroxidase by 3% hydrogen peroxide for 20 min; Blocking buffer (normal goat serum) at 37°C for 30 min; Antibody incubation with (hnRNP A2B1) Polyclonal Antibody, Unconjugated (TMAB-00878) at 1:400 overnight at 4°C, followed by operating according to SP Kit (Rabbit) instructionsand DAB staining. ![]() ![]() ![]() ![]() |
| Application | |
| Recommended Dose | WB: 1:500-2000; IHC-P: 1:100-500; IHC-Fr: 1:100-500; IF: 1:100-500 |
| Antibody Type | Polyclonal |
| Host Species | Rabbit |
| Subcellular Localization | Cytoplasm. Localized in cytoplasmic mRNP granules containing untranslated mRNAs. Component of ribonucleosomes. Predominantly nucleoplasmic, however isoform A2 is also found in the cytoplasm of cells in some tissues |
| Construction | Polyclonal Antibody |
| Purification | Protein A purified |
| Appearance | Liquid |
| Formulation | 0.01M TBS (pH7.4) with 1% BSA, 0.02% Proclin300 and 50% Glycerol. |
| Concentration | 1 mg/mL |
| Research Background | Involved with pre-mRNA processing. Forms complexes (ribonucleosomes) with at least 20 other different hnRNP and heterogeneous nuclear RNA in the nucleous. |
| Immunogen | KLH conjugated synthetic peptide: human hnRNP A2B1 |
| Antigen Species | Human |
| Gene Name | HNRNPA2B1 |
| Gene ID | |
| Protein Name | Heterogeneous nuclear ribonucleoproteins A2/B1 |
| Uniprot ID | |
| Biology Area | RNA Processing |
| Function | Involved with pre-mRNA processing. Forms complexes (ribonucleosomes) with at least 20 other different hnRNP and heterogeneous nuclear RNA in the nucleus. |
| Molecular Weight | Theoretical: 39 kDa. Actual: 39 kDa. |
| Stability & Storage | Store at -20°C or -80°C for 12 months. Avoid repeated freeze-thaw cycles. |
| Transport | Shipping with blue ice. |
| Size | Quantity | Unit Price | Amount | Operation |
|---|

Copyright © 2015-2026 TargetMol Chemicals Inc. All Rights Reserved.