Shopping Cart
Remove All
Your shopping cart is currently empty
Anti-HNRNPA1 Antibody (4Q19) is a Rabbit antibody targeting HNRNPA1. Anti-HNRNPA1 Antibody (4Q19) can be used in FCM,ICC,IHC,WB.
| Pack Size | Price | USA Warehouse | Global Warehouse | Quantity |
|---|---|---|---|---|
| 50 μL | $297 | 7-10 days | 7-10 days | |
| 100 μL | $497 | 7-10 days | 7-10 days |
| Description | Anti-HNRNPA1 Antibody (4Q19) is a Rabbit antibody targeting HNRNPA1. Anti-HNRNPA1 Antibody (4Q19) can be used in FCM,ICC,IHC,WB. |
| Synonyms | Single-strand RNA-binding protein, HNRPA1, HNRNPA1, hnRNP core protein A1, hnRNP A1, Heterogeneous nuclear ribonucleoprotein A1, Helix-destabilizing protein |
| Ig Type | IgG |
| Clone | 4Q19 |
| Reactivity | Human,Mouse,Rat |
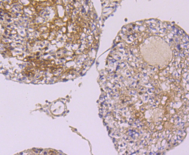
| Verified Activity | 1. Western blot analysis of hnRNP A1 on HepG2 (1) and PC-12 (2) cell using anti-hnRNP A1 antibody at 1/1,000 dilution. 2. Immunohistochemical analysis of paraffin-embedded rat testis tissue using anti-hnRNP A1 antibody. Counter stained with hematoxylin. 3. ICC staining hnRNP A1 in MCF-7 cells (green). The nuclear counter stain is DAPI (blue). Cells were fixed in paraformaldehyde, permeabilised with 0.25% Triton X100/PBS. 4. ICC staining hnRNP A1 in Hela cells (green). The nuclear counter stain is DAPI (blue). Cells were fixed in paraformaldehyde, permeabilised with 0.25% Triton X100/PBS. 5. ICC staining hnRNP A1 in HepG2 cells (green). The nuclear counter stain is DAPI (blue). Cells were fixed in paraformaldehyde, permeabilised with 0.25% Triton X100/PBS. 6. Flow cytometric analysis of Jurkat cells with hnRNP A1 antibody at 1/100 dilution (red) compared with an unlabelled control (cells without incubation with primary antibody; black). ![]() ![]() ![]() ![]() ![]() ![]() |
| Application | |
| Recommended Dose | WB: 1:500-2000; ICC: 1:50-200 |
| Antibody Type | Monoclonal |
| Host Species | Rabbit |
| Construction | Recombinant Antibody |
| Purification | ProA affinity purified |
| Appearance | Liquid |
| Formulation | 1*TBS (pH7.4), 1%BSA, 40%Glycerol. Preservative: 0.05% Sodium Azide. |
| Research Background | Heterogeneous nuclear ribonucleoproteins (hnRNPs) constitute a set of poly-peptides that contribute to mRNA transcription and pre-mRNA processing as well as mature mRNA transport to the cytoplasm and translation. They also bind heterogeneous nuclear RNA (hnRNA), which are the transcripts produced by RNA polymerase II. There are approximately 20 known hnRNP proteins, and their complexes are the major constituents of the spliceosome. The majority of hnRNP protein components are localized to the nucleus; however some shuttle between the nucleus and the cytoplasm. The A/B subfamily of hnRNPs include A1, A2/B1, A3 and A0, and in Xenopus, hnRNP A1, A2 and A3 are ubiquitously expressed throughout development as well as in adult tissues. hnRNP A1 and A2/B1 regulate the processing of pre-mRNA by directly antagonizing the association of various splicing factors and by influencing the splice site selection on pre-mRNA. The hnRNP A0 gene is distinct from the other A/B family members, and it encodes a low-abundance protein, which is implicated in mRNA stability. |
| Conjucates | Unconjugated |
| Immunogen | Recombinant Protein |
| Uniprot ID |
| Molecular Weight | Theoretical: 33 kDa. |
| Stability & Storage | Store at -20°C or -80°C for 12 months. Avoid repeated freeze-thaw cycles. |
| Transport | Shipping with blue ice. |
| Size | Quantity | Unit Price | Amount | Operation |
|---|

Copyright © 2015-2026 TargetMol Chemicals Inc. All Rights Reserved.